B-cell non-Hodgkin's lymphoma (NHL) is one of the most frequently observed neoplasias in patients with HIV infection. This association has been observed since the beginning of the HIV epidemic and is considered an AIDS-defining condition.1
NHL presents in extranodal form more frequently in HIV-positive than in HIV-negative patients. The most commonly affected extranodal site is the gastrointestinal tract.2 According to histologic subtype, diffuse large B-cell lymphoma (DLBCL) and Burkitt's lymphoma are the most common forms of NHL. It is estimated that the incidence of NHL in patients with HIV infection is 100 times greater than in the general population.3
On the other hand, gastric MALT lymphomas are often associated with Helicobacter pylori (H. pylori) infection. Gastric MALT lymphoma is etiopathologically related to chronic H. pylori infection. Complete remission after H. pylori eradication has been described in low-grade MALT lymphomas as well as in high-grade MALT lymphomas in both immune-competent and AIDS patients, without the use of anti-cancer chemotherapeutic agents.4 Only a few reports have described the complete remission of H. pylori-positive DLBCL in an HIV+ patient treated with HAART and H. pylori eradication, alone.5
We present herein an HIV+ patient with H. pylori-positive DLBCL.
A 47-year-old man presented with a 3-month history of heartburn, epigastric pain, and weight loss of 5kg. The patient was afebrile with normal findings on physical examination. Laboratory tests reported the patient to be HIV-positive with a viral load of 1,240,000 copies/mL, a total lymphocyte count of 2,137/mm3, and CD4 of 725/mm3.
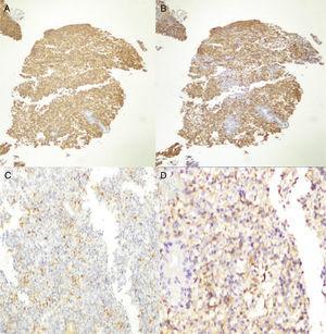
Upper gastrointestinal endoscopy revealed an 8cm ulcerated gastric tumor on the greater curvature. Multiple biopsies were taken for pathologic and immunohistochemical analysis. Analysis confirmed a hypercellular neoplastic lesion of lymphoid origin that almost entirely replaced the mucosa with apoptotic cells and isolated polymorphonuclear cells. Giemsa staining revealed bacilli morphologically compatible with H. pylori (fig. 1). Immunohistochemical results were CD3−, CD5−, CD10−, CD20+, CD45+, BCL6+, Kappa +, and Lambda- (fig. 2).
Immunohistochemical analysis. A) Positive immunoreaction to CD45 in neoplastic lymphocytes and in reactive B and T lymphocytes. B) Positive immunoreaction to CD20 in neoplastic lymphocytes. C) Focally positive Bcl-6 immunoreaction in neoplastic cells. D) Focally positive immunoreaction for Kappa in neoplastic cells.
The diagnoses reached were diffuse large B-cell gastric lymphoma, HIV infection, and H. pylori-associated gastritis.
An abdominal CT scan showed a gastric mass without apparent adenomegaly or metastasis.
The patient was prescribed highly active antiretroviral therapy (HAART) (Efavirenz 600mg/ Emtricitabine 200mg/ Tenofovir 300mg q.d.) and H. pylori eradication therapy (Omeprazole 20mg/Clarithromycin 500mg Amoxicillin 1000mg q.12h 10 days). No antineoplastic chemotherapy was given.
At one-year follow up, the patient is asymptomatic with no evidence of tumor activity on endoscopy or biopsy, with an undetectable viral load, and a CD4 count of 543/mm3.
One year after the initiation of treatment with HAART and H. pylori eradication and no use of anticancer agents, the patient remains in complete remission. Ribiero et al. report a similar case in which a patient achieved complete remission without the use of antineoplastic agents (in MALT lymphoma)4 and Okame et al. reported a case of stage IE AIDS-related gastric DLBCL that responded to H. pylori eradication therapy and HAART.5
HIV patients with gastric NHL treated only with HAART and H. pylori eradication therapy have a relatively good prognosis. A French study described 8 patients with MALT lymphoma, 6 of which had gastric involvement. Of these, 5 had concurrent H. pylori infection. Through the use of HAART and H. pylori eradication, complete remission was achieved in 100% of the patients with H. pylori-associated gastric lymphoma.6 In another study, 11 out of 16 patients (68.8%) with pure (de novo) DLBCL achieved complete remission after H. pylori eradication therapy.7
There are complete remission rates of approximately 80% with antibiotic therapy. This is mainly due to the fact that lymphoma growth in the initial stages of lymphomagenesis is stimulated by contact between neoplastic B cells and intratumoral H. pylori-specific T cells. It then follows that H. pylori eradication treatment eliminates this stimulus.8 In addition, certain protein expression is related to good prognosis. CD-10 and BCL-6 are regarded as important markers in diagnosing germinal center B cell DLBCL and many studies have suggested that CD10 and BCL-6 expression in DLBCL predicts better overall survival rates.9
The treatment of DLBCL has evolved from routine gastrectomy to more conservative therapies such as radiotherapy in little more than a decade. The outcome of our case supports the suggestion in recent trials that excellent results can be obtained by treating limited-stage H. pylori-positive gastric DLBCL with antibiotics alone, reserving chemo-radiotherapy as an option for unresponsive patients and those with poor-prognosis.10
Financial disclosureNone.
Conflict of interestThe authors declare that they have no conflict of interests.
Please cite this article as: Verduzco-Rodríguez L, Ramírez-Pérez F, Clendenin RM, Cruz Lara LA. Linfoma gástrico asociado a H. pylori: remisión completa con tratamiento de TARAA y erradicación de H. pylori en un paciente VIH-positivo. Revista de Gastroenterología de México. 2017;82:92–94.




