Algunos pacientes con enfermedad hepática autoinmune poseen características tanto de colestasis como de hepatitis autoinmune. A pesar de que es un escenario clínico relativamente frecuente en unidades de referencia para la atención de enfermedades hepáticas, debido a su baja prevalencia, la falta de estandarización en definiciones y en criterios diagnósticos, existe poca evidencia acerca de su manejo clínico, el cual es relevante ya que, de acuerdo a lo descrito, su respuesta terapéutica es menor y su pronóstico es peor que los de la hepatitis autoinmune aislada.
En la actualidad, aún existe controversia acerca de si los síndromes de sobreposición son entidades diferentes o la presencia de 2 enfermedades coexistentes. Deben ser buscados en los pacientes con hepatitis autoinmune que tienen datos de colestasis ya que sabemos que su comportamiento tiende a ser más agresivo con mayores tasas de cirrosis y necesidad de trasplante hepático así como pobre respuesta al tratamiento, el cual debe ser dirigido al fenotipo principal. Hacen falta definiciones estandarizadas que permitan su estudio en ensayos clínicos controlados.
Some patients with autoimmune liver disease have characteristics of cholestasis, as well as of autoimmune hepatitis. Despite the fact that this is a relatively frequent clinical condition seen in referral centers for liver diseases, there is little evidence as regards the clinical management of these syndromes due to their low prevalence and the lack of standardized definitions and diagnostic criteria. This is relevant, given that published studies report that there is a lower therapeutic response and poorer outcome in patients with overlap syndrome than in those presenting solely with autoimmune hepatitis.
Whether overlap syndromes are distinct entities or the presence of 2 concurrent diseases is still a subject of debate. They should be suspected in autoimmune hepatitis patients that present with signs of cholestasis, as it is known that overlap behavior tends to be more aggressive, with higher rates of cirrhosis and the need for liver transplantation. Treatment response is also poorer and should be directed at the predominant component. Standardized definitions are necessary so that these syndromes can be studied in controlled clinical trials.
Las enfermedades hepáticas autoinmunes son un grupo de enfermedades caracterizadas por una respuesta inmune anómala dirigida a los hepatocitos o conductos biliares. Su importancia radica en que pueden tener como desenlace daño hepático crónico con fibrosis y cirrosis1. Para su clasificación, se utilizan los hallazgos clínicos, bioquímicos, serológicos, histológicos y radiológicos.
Las enfermedades hepáticas autoinmunes se dividen en 2 grupos: el primero se caracteriza por daño predominantemente hepatocelular y su prototipo es la hepatitis autoinmune (HAI). El segundo se caracteriza por colestasis e incluye la cirrosis biliar primaria (CBP) y la colangitis esclerosante primaria (CEP)2–4.
Estas enfermedades han sido identificadas como síndromes clínicos con sus propios criterios diagnósticos y presentaciones fenotípicas clásicas, sin embargo, no existe un agente etiológico o una vía patogénica característica que con su medición nos permita realizar un diagnóstico preciso5. La evidencia indica que la HAI, la CBP y la CEP comparten mecanismos fisiopatológicos que, a pesar de que aún no han sido completamente dilucidados, se sabe que se basan en la interacción entre predisposición genética y factores ambientales desencadenantes, que asociados a defectos en la autorregulación inmunológica ocasionan disrupción de la inmunotolerancia e inducen daño tisular mediado por anticuerpos y células T6–8. En la HAI, el daño histológico se observa predominantemente en los hepatocitos portales y periportales, mientras que en la CBP y en la CEP, la lesión histológica afecta a las células del epitelio biliar, cada una con sus características distintivas9.
Los síndromes de sobreposición engloban a un pequeño subgrupo de pacientes del espectro de las enfermedades hepáticas autoinmunes que pueden poseer características de colestasis (CBP o CEP) en combinación con HAI10. En los síndromes de sobreposición, las características de las enfermedades coexistentes pueden presentarse, ya sea de forma simultánea, ya de manera consecutiva, por lo que aún existe debate sobre si dichos síndromes deben considerarse entidades distintas o variantes de las enfermedades primarias11. Los síndromes de sobreposición al parecer afectan con mayor frecuencia a pacientes jóvenes con HAI, y sus síntomas, que son muy inespecíficos, incluyen fatiga, artralgias y prurito12.
Debido a la presentación heterogénea de los síndromes de sobreposición, a la ausencia de criterios y definiciones estandarizadas, así como a la carencia de ensayos clínicos controlados, su tratamiento es en gran medida empírico y extrapolado de las enfermedades primarias.
Tipos y diagnóstico de los síndromes de sobreposiciónCada una de las enfermedades hepáticas autoinmunes posee características específicas clásicas (tabla 1), sin embargo, no son por completo homogéneas y dentro de cada enfermedad los pacientes pueden presentar un espectro de características clínicas, bioquímicas, serológicas y radiológicas diferentes. Por otro lado, hay que tomar en cuenta que existe variabilidad en la validación y reproducibilidad de los criterios y pruebas diagnósticas, lo que añade complejidad a su clasificación y diagnóstico diferencial12.
Características de los pacientes con enfermedades hepáticas autoinmunes
| Característica | HAI | CBP | CEP |
|---|---|---|---|
| Edad de inicio | Todas las edades (pico bimodal), 10-20 años y 40-50 años | Edad media 40 años | Todas las edades (usualmente ≈ 40 años) |
| Género | Mujer>hombre (4:1) | Mujer>hombre (9:1) | Hombre 7:3 mujer |
| Serología | |||
| ANA | Títulos>1:40 (70-80%) | Presente en ≈ 30-40% de los casos | No específica de CEP. Presente en 70%-80% |
| ASMA | Títulos>1:40 (70-80%) | Puede estar presente | Mayor del 83% |
| Anti-LKM-1 | 3-4% (clasifica la HAI en tipo 2) | ||
| Anti-SLA/LP | 10-30% | Puede estar presente | Puede estar presente |
| pANCA | Mayor del 92% | 26-94% | |
| AMA | En títulos bajos en ≈ 5-10% | 95% de los casos (altamente específico) | Si esta presente es coincidental |
| Inmunoglobulinas | IgG elevada (>1.2 X arriba del LSN) | IgM elevada en la mayoría | IgG elevada en el 61%IgM elevada en el 45% |
| Radiología | |||
| Colangiografía | Usualmente normal. ≈ 10% de los casos pueden existir cambios en los conductos intrahepáticos | Normal | Estenosis multifocal (patrón arrosariado) en todo el árbol biliar. Puede estar normal en CEP de pequeños conductos |
| Histología | |||
| Hepatitis de interfase | Hallazgo característico | Presente de forma variable | Presente de forma variable |
| Inflamación portal | Infiltrado linfoplasmocitario | Infiltrado linfocítico | Infiltrado linfocítico |
| Cambios biliares | ≈ 10% de los casos | Lesión inflamatoria del conducto | Fibrosis periductal (lesión en «piel de cebolla») |
| Granulomas | No | Lesión característica, presente solo en algunos casos | Atípico (<10%) |
AMA: anticuerpos mitocondriales; ANA: anticuerpos antinucleares; ASMA: anticuerpos antimúsculo liso; CBP cirrosis biliar primaria; CEP: colangitis esclerosante primaria; HAI: hepatitis autoinmune; LKM-1: live kidney microsomal antibodies; LSN: límite superior normal; pANCA: perinuclear antineutrophil cytoplasmic antibodies; SLA/LP: soluble liver antigen/liver pancreas.
Aproximadamente un 18% de los pacientes con hepatopatía autoinmune se presenta con características distintivas de una segunda enfermedad hepática autoinmune. El término síndrome de sobreposición se refiere a la coexistencia de 2 enfermedades hepáticas autoinmunes en un mismo paciente10,13. De esta forma, la HAI, puede presentarse con 3 fenotipos colestásicos que pueden estar entremezclados con sus características «hepatíticas» clásicas8 (tabla 2).
Características diagnósticas de los síndromes de sobreposición
| Síndrome de sobreposición | Características de laboratorio | Características serológicas | Características histológicas | Colangiografía |
|---|---|---|---|---|
| HAI/CBP | Criterios de París*Formas leves FA<2LSN | AMA positivo | Hepatitis de interfaseColangitis destructiva | Normal |
| HAI/CEP | AST/ALT>LSNγ-globulinas e IgG>LSNFA o GGT>LSN | AMA negativo | Hepatitis de interfaseDuctopeniaEdema portal o fibrosisColangitis fibroobliterante | Estenosis/dilataciones (patrón arrosariado) |
| HAI/síndrome colestásico | AST/ALT>LSNγ-globulinas e IgG>LSNFA o GGT>LSN | AMA negativo | Hepatitis de interfaseColangitis destructiva o pérdida de conductos biliares | Normal |
AMA: anticuerpos mitocondriales; ALT: alanina-amino-transferasa; AST: aspartato-amino-transferasa; CBP cirrosis biliar primaria; CEP: colangitis esclerosante primaria; FA: fosfatasa alcalina; GGT: gammaglutamiltransferasa; HAI: hepatitis autoinmune; LSN: límite superior normal.
Fuente: Coss-Adame et al.24.
En la práctica, debe sospecharse la presencia de un síndrome de sobreposición cuando en el escenario de una hepatopatía autoinmune exista una desviación de su evolución natural, los patrones bioquímicos y serológicos no sean los clásicos o la respuesta terapéutica no sea la esperada14.
La nomenclatura de los síndromes de sobreposición se ha transformado con el tiempo, ya que antes se utilizaban términos específicos para definir algunos de ellos (p. ej., colangitis esclerosante autoinmune para la sobreposición HAI/CEP en niños o colangitis autoinmune para la sobreposición HAI/colestasis indeterminada); sin embargo, con el fin de evitar confusiones y homogeneizar si clasificación, se aconseja utilizar en primer lugar el fenotipo dominante y en segundo el fenotipo secundario (p. ej., HAI/CBP o HAI/CEP).
A diferencia de las enfermedades hepáticas autoinmunes como entidades aisladas, los síndromes de sobreposición carecen de criterios diagnósticos específicos. Debido a esto, han surgido propuestas que serán discutidas. Por otro lado, se recomienda definir cada una de las hepatopatías autoinmunes primarias acorde a los criterios ya validados de las diferentes asociaciones y grupos internacionales (International Autoimmune Hepatitis Group [IAIHG];American Association for the Study of Liver Diseases [AASLD]; European Association for Study of the Liver [EASL])15.
Sobreposición hepatitis autoinmune/cirrosis biliar primariaEpidemiología/diagnósticoDebido a su baja frecuencia y a la ausencia de criterios estandarizados, la prevalencia del síndrome de sobreposición HAI/CBP es difícil de establecer, sin embargo, se estima en el 2-20% de los pacientes con HAI y el 4.3-9.2% en aquellos con CBP16,17. Es importante mencionar que cerca del 10% de los pacientes con todas las características de HAI pueden tener persistentemente anticuerpos antimitocondriales positivos (AMA), sin embargo, esto último no es sinónimo de CBP; O¿Brien et al. estudiaron a 15 pacientes con HAI y AMA positivos los cuales en el estudio histopatológico no presentaron cambios compatibles con CBP18. En otro estudio de 130 pacientes con hepatitis autoinmune, 24 (18%) tuvieron AMA positivos. En dicho estudio, el tener AMA positivos no estuvo asociado con lesión biliar histológica, con desarrollo ulterior de CBP ni con tasas distintas de remisión o falla al tratamiento por lo que la presencia de AMA es insuficiente para diagnosticar sobreposición HAI/CBP o predecir fenotipos colestásicos19. Asimismo, la positividad para AMA parece ser transitoria ya que en el mismo estudio, al darles seguimiento a los pacientes, el 54% persistieron positivos, el 16% negativizaron y el 30% restante no tenía AMA positivos en un inicio y positivizaron durante el período de seguimiento19.
El diagnóstico de sobreposición HAI/CBP continúa siendo un reto y no existe un estándar de oro. Los criterios más utilizados para su diagnóstico provienen de 2 grupos de investigación: los llamados «criterios de París» propuestos por Chazouillères et al. en 199816 y el Grupo internacional de Hepatitis Autoinmune (IAIHG)10. Un estudio reciente demostró que los «criterios de París» tienen una alta sensibilidad (92%) y especificidad (97%) para el diagnóstico de sobreposición HAI/CBP, por lo que son los más utilizados actualmente20.
Al utilizar los criterios de París para establecer el diagnóstico de síndrome de sobreposición HAI/CBP, se requieren al menos 2 de 3 criterios por entidad con las siguientes definiciones11:
Para CBP:
- 1.
Fosfatasa alcalina (FA)≥2 veces el límite superior normal o gammaglumamiltransferasa≥5 veces el límite superior normal.
- 2.
AMA (≥1:40)
- 3.
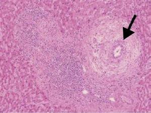
Biopsia hepática con lesión florida del conducto biliar (degeneración del epitelio ductal biliar con obliteración ductal focal y formación de granulomas) (fig. 1).
Figura 1.a. Se observa un granuloma epitelioide en un tracto portal, rodeado de infiltrado linfoplasmocitario (los granulomas no son típicos de HAI clásica). b. Destrucción de ductos biliares interlobulillares. c. Colangitis no supurativa crónica destructiva (flecha) e infiltrado de interfase y lobulillar (asterisco).
Para HAI:
- 1.
Alanina-amino-transferasa (ALT)≥5 veces límite superior normal.
- 2.
IgG≥2 de lo normal o anticuerpos antimúsculo liso positivos.
- 3.
Biopsia hepática con necrosis linfocítica periseptal o periportal.
Por otra parte, el IAIHG sugiere aplicar el puntaje diagnóstico para HAI a los pacientes con CBP para identificar los casos con características de HAI. Desde 1993 los criterios diagnósticos del IAIHG se han revisado y en el 2008 fueron simplificados, estableciendo un puntaje≥7 puntos como HAI definitiva y≥6 HAI probable. Al no otorgar un puntaje negativo a los AMA, ni a la lesión histológica del conducto biliar, el puntaje simplificado parece identificar mejor a los pacientes con sobreposición que su contraparte en extenso21.
En cuanto al perfil serológico del síndrome de sobreposición HAI/CBP, Muratori et al. compararon a 240 pacientes (120 con CBP y 120 con HAI puras) con 15 pacientes con sobreposición HAI/CBP de acuerdo a los criterios de Paris, y encontraron que la presencia concomitante de AMA y anticuerpos antinucleares representan un patrón altamente específico para sobreposición HAI/CBP22.
Por otro lado, a pesar de que en la actualidad aún se desconoce la etiología de las enfermedades hepáticas autoinmunes, se sabe que varios factores ambientales actúan en combinación con la susceptibilidad genética del individuo para alterar la respuesta inmune. Respecto a este tema, se ha asociado la presencia de HAI con el complejo mayor de histocompatibilidad en particular con los loci HLA-DR3/DR4 y HLA-B823. Sin embargo los datos en síndrome de sobreposición HAI/CBP son limitados; en 2011 un estudio en este grupo de pacientes encontró diferencias entre los alelos HLA-DR, siendo más frecuente la presencia de HLA-DR7 en pacientes con sobreposición que en aquellos con HAI, lo que podría ayudar a distinguir a aquellos pacientes con HAI propensos a presentar síndrome de sobreposición HAI/CBP24. En otro estudio realizado en pacientes mexicanos, se encontró que los pacientes con CBP tuvieron mayor frecuencia de los alelos HLA-DR4 y DR1 en comparación con controles sanos y pacientes con síndromes de sobreposición. Por otro lado, los controles sanos tuvieron con mayor frecuencia el alelo HLA-DR5 lo que hace pensar que este último podría tener un papel protector para el desarrollo de autoinmunidad hepática25. Existe poca información al respecto por lo que se necesitan más estudios para confirmar dichos hallazgos.
Tratamiento/pronósticoEstá bien establecido que para pacientes con CBP el ácido ursodesoxicólico (AUDC) a dosis de 13-15mg/kg/d enlentece la progresión de la fibrosis y la instauración de enfermedad hepática terminal, principalmente en aquellos con mejoría bioquímica. Por otro lado, en HAI la piedra angular del tratamiento son los inmunosupresores, cuyo objetivo es lograr remisión completa de la enfermedad, con el fin de prevenir y/o revertir la progresión de la fibrosis hepática26,27.
Por desgracia, la ausencia de criterios validados y la escasez de ensayos clínicos obligan a que el tratamiento de HAI/CBP sea empírico, basado en datos extrapolados de los padecimientos hepáticos autoinmunes primarios y sustentados en ensayos retrospectivos y series de casos5,28. Con dichas limitaciones, las guías de la EASL y del IAIHG recomiendan como primera opción terapéutica la combinación de fármacos inmunosupresores (corticosteroides/azatioprina) con AUDC a dosis de 13-15mg/kg/d. En aquellos pacientes con actividad de HAI leve, de forma alternativa puede utilizarse AUDC en monoterapia y añadir tratamiento inmunosupresor a los 3 meses en caso de no lograr respuesta bioquímica.
La información acerca del pronóstico de los pacientes con sobreposición HAI/CBP es variable; algunos estudios han documentado peor pronóstico en comparación con CBP aislada con mayor progresión a cirrosis y complicaciones por hipertensión portal29,30. Por otra parte, otros reportes describen mejor pronóstico en lo que respecta a progresión a fibrosis, supervivencia global y supervivencia libre de trasplante principalmente cuando se utiliza tratamiento combinado y existe buena respuesta bioquímica5,31.
En conclusión, el diagnóstico de HAI/CBP continúa siendo un reto, los criterios de París son una buena herramienta diagnóstica en la actualidad y mientras no existan ensayos clínicos aleatorizados y prospectivos a gran escala se recomienda el tratamiento combinado (inmunosupresores y AUDC). Aquellos pacientes que no cumplan los criterios de París para sobreposición, deben recibir tratamiento acorde al fenotipo predominante.
Sobreposición hepatitis autoinmune colangitis esclerosante primariaDefiniciónLa sobreposición HAI/CEP es otro de los fenotipos colestásicos de HAI y se caracteriza por tener AMA negativos y alteraciones colangiográficas en colangio-RMN o colangiografía retrógrada endoscópica8. En los pacientes con sobreposición HAI/CEP, existe una entidad llamada colangitis esclerosante autoinmune que se presenta en niños, y se define de la misma forma que la HAI/CEP de adultos solo que, en comparación con esta última, su respuesta a tratamiento es mejor; de hecho, aproximadamente un 50% de los niños con HAI tienen alteraciones colangiográficas32.
Los pacientes con CEP pueden tener alteraciones de las aminotransferasas, hiperglobulinemia, anticuerpos positivos, así como hepatitis de interfase en la biopsia, esto último hasta en un 30%10.
Un síndrome que solo merece mención por su rareza es la sobreposición CBP/CEP, cuya frecuencia se ha estimado en un 0.7% en una cohorte de 261 pacientes con enfermedad hepática autoinmune seguida durante 20 años15,33.
EpidemiologíaExiste variabilidad en las frecuencias, lo que probablemente refleja la naturaleza de las cohortes y el método diagnóstico34.
La frecuencia aproximada de criterios CEP en pacientes con HAI va del 6-11%8 y la prevalencia de hepatitis autoinmune en los pacientes con CEP como fenotipo dominante es del 2-33%13. Al aplicar los criterios revisados del IAIHG a pacientes con CEP, la prevalencia de criterios de HAI es del 7-14%.
Por otro lado, la prevalencia de alteraciones colangiográficas en pacientes con HAI es variable dependiendo de la población estudiada y es del 2-10% en adultos con HAI clásica, del 41% de adultos con HAI y CUCI, y del 50% de niños con HAI15.
En un estudio de 79 pacientes con HAI, se encontraron alteraciones colangiográficas por colangio-RMN consistentes con CEP en un 10% de los pacientes. Los pacientes con alteraciones colangiográficas tuvieron una menor edad al diagnóstico, así como mayores cifras de bilirrubina y fosfatasa alcalina que los pacientes sin alteraciones colangiográficas35.
No todas las alteraciones colangiográficas en colangio-RMN indican la presencia de sobreposición HAI/CEP. Esto se ilustra en un estudio donde se compararon 24 pacientes con HAI y alteraciones colangiográficas por colangio-RMN con 27 controles con cirrosis hepática no autoinmune. En dicho estudio se encontró que el único predictor de alteraciones colangiográficas fue la presencia de fibrosis hepática, ya que la proporción de pacientes con alteraciones colangiográficas en los conductos biliares intrahepáticos fue similar en los pacientes con HAI y fibrosis significativa (46%) que en los controles con cirrosis no autoinmune (59%). Estos hallazgos muestran que en buena parte de los pacientes con HAI las alteraciones colangiográficas parecen relacionarse más con la presencia de fibrosis que con un verdadero diagnóstico de HAI/CEP36.
De forma consistente, se ha descrito que la HAI y la CBP son más frecuentes en mujeres y la CEP en hombres. De forma interesante, en la sobreposición HAI/CEP se mantiene dicha tendencia con aproximadamente un 62% de pacientes hombres13.
PatogénesisLa HAI y la CEP comparten trasfondo genético. Se ha observado una alta prevalencia de HLA-B8 y DR3 en ambas enfermedades, mientras que la presencia de HLA-DR4 parece predisponer a HAI y proteger de CEP, el alelo HLA-DR52 parece asociarse a CEP. En el síndrome de sobreposición HAI/CEP, la información publicada indica que la frecuencia de DR3 es similar a los pacientes que solo tienen CEP o HAI13.
La evidencia sugiere que con frecuencia las enfermedades se desarrollan de forma secuencial, lo cual queda ilustrado en un estudio de 238 pacientes con HAI donde 16 (6%), cumplían criterios de sobreposición HAI/CEP37. En dicho estudio se encontró que aproximadamente en el 50% de los pacientes con HAI/CEP el diagnóstico inicial fue HAI con desarrollo ulterior de cambios colangiográficos de CEP, y en el otro 50% las 2 enfermedades se manifestaron de manera inicial37. En otro estudio de 16 pacientes con HAI/CEP, el 62% habían sido diagnosticados de forma inicial con HAI con desarrollo ulterior de características de CEP, el 18% CEP con desarrollo ulterior de características de HAI y el 18% poseían criterios de ambas enfermedades desde el inicio. Destaca en este último estudio que se revisaron los casos de forma retrospectiva y se encontraron características bioquímicas e histológicas de ambas enfermedades en un 100% de los pacientes desde el comienzo independientemente del diagnóstico inicial, lo que sugiere que desde un inicio el fenotipo bioquímico es diferente de las enfermedades aisladas38. Por otro lado, es poco frecuente que pacientes con CEP tengan desarrollo posterior de características de HAI10,15.
DiagnósticoLos puntajes de HAI no son útiles para definir sus fenotipos colestásicos, y la biopsia hepática en conjunto con el juicio clínico son en este momento las mejores herramientas34.
En cuanto a los parámetros bioquímicos, la HAI clásica tiende a tener valores mayores de transaminasas en comparación con HAI/CBP y HAI/CEP, y la HAI/CEP valores mayores de FA que HAI clásica y HAI CBP aunque existe superposición importante de dichos valores por lo que el uso de estos parámetros no parece ser útil para su diferenciación37.
En la histología, pueden observarse hepatitis de interfase, edema o fibrosis portal, ductopenia, proliferación ductular, o colangitis fibroobliterante8 (fig. 2).
El perfil de autoanticuerpos es variable; en un estudio de 16 pacientes con sobreposición HAI/CEP, se encontró que un 81% de los pacientes tenían positividad para pANCA, un 62.5% para anticuerpos antinucleares y un 50% para AML38.
En presencia de criterios diagnósticos de HAI, los estudios de imagen con presencia de nódulos de regeneración>3cm, atrofia periférica del parénquima hepático y patrón colangiográfico arrosariado (fig. 3) tienen un 100% de especificidad para el síndrome de sobreposición HAI/CEP39. Dichos hallazgos parecen atribuirse al componente de CEP ya que también han sido observados en CEP aislada. Es importante mencionar que la presencia de cirrosis puede alterar la arquitectura de los conductos hepáticos y, por tanto, los patrones de imagen39.
Parece ser que los cambios colangiográficos se expresan de forma tardía, lo cual queda ilustrado en un estudio de 16 pacientes con HAI/CEP donde a pesar de tener cambios histológicos de CEP y colestasis bioquímica desde el inicio de la enfermedad, ninguno de los pacientes a los que se les realizó imagen tuvo cambios colangiográficos, los cuales se desarrollaron con el seguimiento en 87% de los pacientes38. En otro estudio prospectivo de 5 años, se siguió a 41 pacientes con CEP, de los cuales 7 tuvieron sobreposición HAI/CEP (17%). En todos los pacientes, el diagnóstico inicial fue HAI que fue resistente a la inmunosupresión por lo que se les realizó colangiografía endoscópica, encontrando cambios colangiográficos en una mediana de 17 meses después del diagnóstico de HAI40.
En los pacientes con HAI/CEP es frecuente la presencia de enfermedad inflamatoria intestinal (aproximadamente un 25%)38. Se sabe que el 41% de los pacientes que tienen HAI y CUCI tienen lesiones colangiográficas, lo que justifica la realización de colangiografía en este subgrupo de pacientes, a diferencia de los pacientes con HAI sin enfermedad inflamatoria intestinal cuya prevalencia de lesiones colangiográficas es del 10%8.
En los adultos diagnosticados con HAI que tienen mala respuesta terapéutica a esteroides, colestasis, lesión biliar histológica, ausencia de AMA y enfermedad inflamatoria intestinal coexistente, debe sospecharse sobreposición HAI/CEP por lo que es razonable solicitar una colangio-RMN en caso de identificar cualquiera de dichas características.
TratamientoNo existe un tratamiento uniforme y debe ser individualizado32. No hay ensayos clínicos controlados en pacientes con sobreposición HAI/CEP y los tratamientos médicos investigados en CEP clásica no han tenido buenos resultados ya que ninguno ha demostrado beneficio en supervivencia cruda o libre de trasplante15.
El consenso de la EASL10 y la guía de CEP de la AASLD4 recomiendan que los pacientes con sobreposición HAI/CEP sean tratados además de con el uso de terapia endoscópica cuando esté indicado, con la combinación de azatioprina y prednisona, a dosis de 1-2mg/kg y 0.5mg/kg respectivamente. La dosis de prednisona debe reducirse paulatinamente hasta llegar a 10-15mg/d. Se recomienda también el uso de AUDC 13-15mg/kg/d, destacando que las respuestas son inconsistentes y la evidencia no es sólida. En un ensayo clínico de 150 pacientes con CEP, se realizó aleatorización en 2 brazos terapéuticos: el primero recibió AUDC a dosis de 28-30mg/kg y el segundo placebo. Después de 6 años el estudio se suspendió por futilidad terapéutica y se evaluaron desenlaces. Los pacientes del grupo de AUDC, a pesar de tener mayores tasas de mejoría en las cifras de AST y fosfatasa alcalina, tuvieron mayor riesgo de cirrosis, várices, trasplante hepático o muerte, así como mayores tasas de efectos adversos graves que los pacientes con placebo, por lo que a pesar de que esto no ha sido estudiado en sobreposición HAI/CEP41, no se recomienda el uso de dosis altas de AUDC (28-30mg/kg)8,10,15.
El tratamiento con esteroides usualmente es ineficaz en los pacientes adultos con sobreposición HAI/CEP de grandes y de pequeños conductos, tanto en el grupo de pacientes que tienen enfermedad inflamatoria intestinal como en los que no la padecen. En comparación con los pacientes que tienen HAI clásica, aquellos con sobreposición HAI/CEP tienen menor tasa de remisión bioquímica e histológica (22 vs. 64%), mayor tasa de empeoramiento durante el tratamiento (33 vs. 10%) y muerte o necesidad de trasplante hepático (33 vs. 8%). Además, la respuesta al tratamiento parece ser lenta, ya que en un estudio de 16 pacientes con HAI/CEP38, la normalización de los niveles de ALT tardó aproximadamente 26 meses.
El único subgrupo de pacientes con sobreposición HAI/CEP con tasas aceptables de respuesta a esteroides (aproximadamente un 89%) y tasas bajas de progresión a cirrosis son los niños, en quienes de hecho podría considerarse similar a la respuesta observada en HAI pura10,32.
Finalmente, una terapia poco utilizada y poco estudiada en síndromes de sobreposición de HAI es el mofetil micofenolato42. En un estudio holandés de 45 pacientes con HAI, 15 de ellos tenían sobreposición HAI/CEP y 11 HAI/CBP, encontrando una tasa de remisión del 57% en los pacientes no respondedores a azatioprina y del 63% en los pacientes con intolerancia a azatioprina42.
PronósticoEn general la respuesta terapéutica y el pronóstico son mejores en los pacientes con HAI/CBP que con HAI/CEP32.
En un estudio de 238 pacientes con HAI donde 16 (6%) tenían sobreposición HAI/CEP, la supervivencia de los pacientes con HAI/CEP fue significativamente menor que la de los pacientes con HAI o HAI/CBP37. Por otro lado, los pacientes con HAI/CEP parecen tener mejor pronóstico que en CEP aislada10. Esto último se ejemplifica en un estudio donde los pacientes con HAI/CEP tratados con inmunosupresión parecen tener mejor supervivencia que los pacientes con CEP clásica en tratamiento con AUDC10,37,43.
El comportamiento clínico de la sobreposición HAI/CEP parece ser distinto que el de la HAI o la CEP de forma aislada ya que, por un lado, la respuesta al tratamiento es menor y el desarrollo de fibrosis es mayor en comparación con HAI clásica, y por otro lado, la prevalencia de enfermedad inflamatoria intestinal y el desarrollo de colangiocarcinoma parecen ser menores que en CEP aislada. En un estudio prospectivo de 7 pacientes con HAI/CEP ninguno demostró desarrollo de colangiocarcinoma en un seguimiento de 88 meses15,38,40. En dicho estudio los pacientes con CEP clásica mostraron mayor progresión de la enfermedad, mayor tasa de trasplante hepático, mayor tasa de desarrollo de neoplasias tanto intra- como extrahepáticas y mayor mortalidad en comparación con los pacientes con sobreposición HAI/CEP40.
La disminución de los niveles de aminotransferasas no parece predecir de forma adecuada el pronóstico ya que en un estudio de 16 pacientes con HAI/CEP, a pesar de que se logró normalización de los niveles de ALT en un 87%, un 56% de ellos tenían cirrosis en biopsias hepáticas de seguimiento y al término del estudio, después de un seguimiento de 12 años, un 75% de los pacientes tenía cirrosis15,32,38. Por otro lado, en el caso de CEP se ha observado que la FA tiene valor pronóstico ya que los valores normales o su disminución a<40% del valor inicial, se asocia a mejor supervivencia34.
La enfermedad en etapas tempranas y la ausencia de alteraciones colangiográficas en grandes conductos en comparación con pequeños conductos aislados parecen factores pronósticos favorables32.
Sobreposición hepatitis autoinmune/colestasis indeterminadaDefiniciónLa sobreposición HAI/síndrome colestásico también ha recibido el nombre de colangitis autoinmune y consiste en lesión histológica o pérdida de conductos biliares, AMA negativos y colangiografía normal. Este síndrome puede incluir CBP seronegativa y CEP de pequeños conductos8,15.
EpidemiologíaLa frecuencia aproximada de un fenotipo colestásico indeterminado en pacientes con HAI va del 5-11%8.
DiagnósticoEl diagnóstico de sobreposición HAI/colestasis indeterminada se realiza ante la presencia de HAI con datos de colestasis y daño biliar histológico, AMA negativos y colangiografía normal15.
Los cambios histológicos en la sobreposición HAI/síndrome colestásico pueden ser fibrosis portal, edema portal y ductopenia característicos de CEP, o infiltrado linfoplasmocitario con hepatitis de interfase y lesión biliar sugerentes de CBP8,15,44.
En los pacientes con HAI/colestasis indeterminada, al realizar evaluaciones serológicas amplias que utilizan inmunoanálisis enzimáticos basados en los antígenos gp210, sp100 y componentes mitocondriales, se ha encontrado positividad de dichos anticuerpos en un 35% de los pacientes con AMA negativos lo que apoyaría el diagnóstico de CBP seronegativa34.
Tratamiento y pronósticoEl tratamiento con inmunosupresores o AUDC usualmente no es efectivo en pacientes con sobreposición HAI/colestasis indeterminada con una tasa de falla terapéutica del 88-100% y necesidad de trasplante en el 33% de los pacientes15,17,44,45. Esta pobre respuesta es peor que en HAI clásica y sobreposición HAI/CEP de grandes conductos.
Diagnósticos diferencialesSe ha descrito infiltración por células plasmáticas IgG4+(>5 por campo de alto poder) en el 3-35% de los pacientes con HAI y esto podría ser parte de un espectro que incluye HAI, pancreatitis autoinmune y colangitis esclerosante. El fenotipo usual en este grupo de pacientes es hepatitis autoinmune IgG4 como dominante y CEP como un subcomponente clínico32. La colangitis por IgG4 es una enfermedad sistémica que causa tanto hepatitis como colangitis esclerosante y puede confundirse con un síndrome de sobreposición. Se caracteriza por elevación de IgG4 e infiltración de células plasmáticas IgG4 positivas en los conductos biliares y parénquima hepático. Además puede asociarse a pancreatitis autoinmune y enfermedad sistémica por IgG4 que involucra glándulas salivales, retroperitoneo, tracto gastrointestinal, ganglios linfáticos, riñones y pulmones15.
Debe sospecharse colangitis por IgG4 en los pacientes hombres, adultos mayores sin enfermedad inflamatoria intestinal, con estenosis predominantes en colédoco distal, anormalidades en imagen de páncreas o involucro multiorgánico que tienen datos de hepatitis/colangitis esclerosante. Aproximadamente un 9-22% de pacientes con CEP clásica tienen elevaciones modestas de IgG4 (>140mg/dL) pero un valor de IgG4>2LSN es altamente específico para colangitis por IgG4. Es importante mencionar que no todos los pacientes con colangitis por IgG4 tienen elevaciones séricas de dicho biomarcador por lo que también debe buscarse en el tejido para análisis histopatológico11,15,46–50.
Varios fármacos y remedios herbolarios también pueden ocasionar hallazgos bioquímicos e histológicos de hepatitis/colestasis e incluso la presencia de autoanticuerpos10,15.
Los fármacos asociados a hepatitis crónica con presencia de autoanticuerpos son minociclina, nitrofurantoína, hidralazina, metildopa, halotano, diclofenaco, isoniazida e infliximab. Por otro lado, los fármacos que se asocian a datos mixtos de colestasis y daño hepatocelular son varios antibióticos (amoxicilina/clavulanato, trimetoprim/sulfametoxazol, eritromicina, fluoroquinolonas y tetraciclinas), antifúngicos (ketoconazol e itraconazol), antivirales (estavudina, didanosina y nevirapina), AINE (piroxicam, diclofenaco), inmunomoduladores (azatioprina), psicotrópicos (clorpromazina, risperidona, imipramina, amitriptilina), y otros como captopril, glibenclamida, fenitoína15.
Las hierbas y suplementos dietéticos que se han asociado a hepatitis aislada o hepatitis colestásica son varias hierbas chinas (Jin Bu Huan, Dai-saiko-to), cohosh negro, té verde, hierba de la golondrina, chaparral y algunos productos Herbalife15.
A pesar de suspender dichos fármacos algunos pacientes pueden progresar a una entidad poco frecuente de colestasis intrahepática crónica que simula a la CBP, también llamada síndrome de conductos biliares evanescentes, que se caracteriza por lesión biliar crónica, ductopenia y progresión a cirrosis15,51.
Finalmente, existen otras trastornos dentro del diagnóstico deferencial de alteraciones bioquímicas compatibles con hepatitis y/o colestasis como son las variedades colestásicas de hepatitis virales, esteatohepatitis (tanto alcohólica como no alcohólica), trastornos infiltrativos, síndromes paraneoplásicos, cualquier causa de cirrosis hepática, ductopenia idiopática del adulto y cualquier causa de colangitis esclerosante secundaria11.
Trasplante hepático y síndromes de sobreposiciónExisten pocos estudios que documenten el pronóstico de los pacientes con síndromes de sobreposición que se trasplantan8,15,52.
Aproximadamente un 25% de los trasplantes hepáticos se llevan a cabo en pacientes con enfermedades hepáticas autoinmunes y la prevalencia de enfermedad recurrente se incrementa con el tiempo. La recurrencia a los 5 años es del 17-42% para HAI, del 12-13% para CBP y del 12-60% para CEP52.
En un estudio con 231 pacientes en los que se llevó a cabo trasplante hepático por enfermedad hepática autoinmune, el 5% tenían síndrome de sobreposición (el 58% HAI/CBP y el 42% HAI/CEP)52. En estos se encontró que el tener síndrome de sobreposición es un factor de riesgo independiente para recurrencia en el injerto. Aproximadamente un 69% de los pacientes con síndromes de sobreposición tuvieron recurrencia en el injerto en comparación con aproximadamente un 30% de recurrencia en los pacientes con una enfermedad hepática autoinmune aislada. Además, el tiempo de recurrencia fue menor (67 meses en síndromes de sobreposición vs.>135meses en los pacientes con una sola enfermedad). Destaca que en un 70% de los pacientes con diagnóstico pretrasplante de síndrome de sobreposición la recurrencia se desarrolló como una enfermedad aislada en un 70% y solo en un 30% como sobreposición. Se desconoce si con el paso del tiempo estos pacientes desarrollarán características de sobreposición. Dichas tasas mayores de recaída en el injerto en los síndromes de sobreposición no parecen traducirse en mayor pérdida del injerto o menor supervivencia52. Por otro lado, un estudio de Japón reportó que las tasas de supervivencia tanto para HAI como para CBP/HAI fueron excelentes y no hubo evidencia de recurrencia en los siguientes 6 años de seguimiento15,53.
ConclusionesLos síndromes de sobreposición en las enfermedades hepáticas autoinmunes son poco y faltan definiciones estandarizadas para su diagnóstico. Hasta el momento no se sabe si son entidades separadas o forman parte de las enfermedades clásicas, sin embargo es importante su reconocimiento ya que su curso clínico es más agresivo y su respuesta terapéutica es menor. La evidencia terapéutica es escasa en síndromes de sobreposición y los tratamientos recomendados se basan en estudios retrospectivos y son extrapolados de la experiencia en pacientes con las enfermedades clásicas. Faltan ensayos clínicos aleatorizados y se espera que en los próximos años se genere evidencia de mejor calidad en este tema.
Responsabilidades éticasProtección de personas y animalesLos autores declaran que para esta investigación no se han realizado experimentos en seres humanos ni en animales.
Confidencialidad de los datosLos autores declaran que en este artículo no aparecen datos de pacientes.
Derecho a la privacidad y consentimiento informadoLos autores declaran que en este artículo no aparecen datos de pacientes.
FinanciamientoNo se recibió patrocinio de ningún tipo para llevar a cabo este estudio/artículo.
Conflicto de interesesLos autores declaran no tener ningún conflicto de intereses.
A Francisco Daniel Briseño García. Residente de Gastroenterología, Instituto Nacional de Ciencias Médicas y Nutrición Salvador Zubirán, SSA, México, D.F.







