La gastritis flemonosa es un tipo de gastritis aguda endógena, rara1, con un alto índice de mortalidad (aproximadamente el 50%)2,3. Usualmente es causada por una bacteria piógena. Una de las complicaciones más frecuentes es la gastritis enfisematosa. Algunos de los factores de riesgo para padecer gastritis flemonosa son: inmunodeficiencias, carcinoma gástrico, procedimiento endoscópico terapéutico previo, enfermedades oncológicas, desnutrición y uso crónico de glucocorticoides4. Sin embargo, se describe en la literatura que aproximadamente el 50% de los pacientes que desarrollan gastritis flemonosa son sujetos sanos3. El mecanismo de contagio puede ser por vía hematógena, linfática o por diseminación directa de otra zona contaminada5. El diagnóstico se realiza mediante endoscopia o ultrasonido endoscópico. El cuadro clínico se presenta con dolor abdominal severo, intolerancia a la vía oral, fiebre y escalofríos4,6. El tratamiento hasta el momento es controvertido, desde antibioticoterapia hasta resección gástrica3,4.
Presentamos el caso de un paciente varón de 35 años de edad, con antecedente de gastritis no atrófica por endoscopia asociada a Helicobacter pylori, recibiendo tratamiento de erradicación hace un año. Acude a nuestra institución por dolor epigástrico intenso de 5 días de evolución acompañado de intolerancia a la vía oral, agregándose en las últimas 24h vómitos con restos hemáticos y melena, motivo por el cual acude al servicio de urgencias. Al interrogatorio refiere haber ingerido alimentos en descomposición 8 días antes al inicio de la sintomatología.
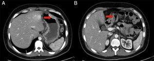
A la exploración física con diaforesis, taquicardia, febrícula y presión arterial sin alteraciones. Dolor epigástrico a la palpación superficial sin organomegalias. Las pruebas de laboratorio con leucocitos de 23,6×103μl, neutrófilos 21×103μl, linfocitos 0,9%, Hb 12,7g/dl, VCM 78,5fl, proteína C reactiva 21,61mg/dl; resto de pruebas del laboratorio dentro de los parámetros normales. Se le realiza tomografía axial computarizada (TAC) de abdomen (fig. 1) la cual reporta: «Importante engrosamiento en la pared gástrica y duodenal de etiología por determinar. Ganglios mesentéricos y retroperitoneales de morfología reactiva y atrofia pancreática».
Se realizó endoscopia de tubo digestivo alto (fig. 2) encontrando esófago normal, abundante material hemático y mucopurulento en cámara gástrica, aspirándose 200cc. Mucosa y pliegues gástricos con edema y eritema generalizado, múltiples erosiones cubiertas de exudado mucopurulento con sangrado espontáneo en capa. Duodeno hasta la tercera porción con mucosa y pliegues edematosos, friables, con erosiones cubiertas de exudado mucopurulento y restos hemáticos. Se tomó aspirado de exudado gástrico y biopsias gástricas y duodenales para cultivo y estudio histopatológico. El cultivo con crecimiento de cocos Gram positivos compatible con estreptococos beta-hemolíticos. El estudio histopatológico reportó: «Inflamación aguda, intensa, activa con formación de micro abscesos e infiltrado inflamatorio difuso con predominio de polimorfonucleares, ulceración multifocal del epitelio e hiperplasia foveolar compatible con gastritis flemonosa aguda». Se realizó inmunohistoquímica encontrando negativo para: citomegalovirus, Helicobacter pylori, microorganismos micóticos y micobacterias (fig. 3).
A) Mucosa gástrica con edema, eritema y exudado mucopurulento. B) Retrovisión gástrica mostrando sangrado espontáneo en capa. C) Píloro abierto, edematoso con sangrado en capa. D) Duodeno con mucosa y pliegues edematosos, friables, con erosiones cubiertas de exudado mucopurulento y restos hemáticos.
El paciente cursó con 13 días de estancia intrahospitalaria, con evolución tórpida. Se manejó con antibioticoterapia IV, nutrición parenteral y, posteriormente, enteral mediante sonda nasoyeyunal. Es dado de alta a domicilio con tratamiento ambulatorio. Se realizó control endoscópico a los 2 meses con los siguientes hallazgos: «Cámara gástrica con distensibilidad alterada debido a efecto cicatricial; mucosa con un patrón empedrado y polipoideo de predominio en cara posterior, y curva menor de cuerpo gástrico con múltiples cicatrizaciones y formación de seudodivertículos. El bulbo duodenal con eritema en parches» resto sin datos patológicos (fig. 4).
Nuestro paciente era un sujeto previamente sano, en el cual no conseguimos identificar ningún factor de riesgo excepto la ingesta previa de alimentos en descomposición. La presentación del cuadro clínico del paciente es clásica según lo informado en la literatura, sin embargo, el diagnóstico diferencial es extenso. En nuestro caso, la TAC permitió sospechar la enfermedad, excluyendo diagnósticos diferenciales. El estudio endoscópico temprano con la realización de la tinción de Gram y cultivos directos de la mucosa gástrica nos permitieron confirmar el diagnóstico6. Aunque el tratamiento es controvertido, el manejo conservador con antibioticoterapia parenteral y soporte nutricional es efectivo cuando se realiza un diagnóstico oportuno, reservando el tratamiento quirúrgico cuando se presentan complicaciones2.
FinanciamientoNo se recibió patrocinio de ningún tipo para llevar a cabo este estudio/artículo.
Conflicto de interesesLos autores declaran no tener conflicto de intereses.
A la Dra. Mónica García Gutiérrez del Departamento de Patología del Centro Médico ABC, por facilitar las imágenes.






