¿ Introducción
El situs inversus es una anomalía embriológica rara en la existe transposición especular de la anatomía habitual de los órganos; su causa se atribuye a una predisposición genética de transmisión autosómica recesiva. La incidencia de esta condición varía entre 1:5000 a 1:20 mil personas.1-7 Presentamos el caso de un paciente de 60 años, el cual se desconocía como portador de situs inversus con cuadro de colecistitis aguda e ictericia obstructiva resuelto mediante laparoscopia. La revisión bibliográfica en PubMed desde 1989, en inglés y español, sólo recuperamos dos informes de casos con colecistectomía y exploración de vías biliares por vía laparoscópica, en pacientes con situs inversus, lo que motivó la importancia de informar sobre un caso más en nuestro país.
¿ Presentación del caso
Hombre de 60 años de edad, con padecimiento de un mes de evolución caracterizado por náusea, vómito, diarrea y malestar general que no respondieron al tratamiento médico, asociados a pérdida de peso no significativa (2.5 kg), sin dolor abdominal ni fiebre. Tres semanas después se agregó dolor abdominal postprandial intenso, generalizado en todo el abdomen, el cual tampoco tuvo respuesta favorable con antiespasmódicos. El dolor se localizó finalmente en el cuadrante superior izquierdo del abdomen. Dos días antes de su ingreso al hospital, se agregó fiebre de 38.5ºC, acolia, ictericia y coluria por lo cual acudió al servicio de urgencias.
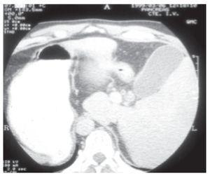
A la exploración física, se encontró con tensión arterial de 130/80 mmHg, frecuencia cardiaca de 85 latidos por minuto, frecuencia respiratoria 18 por min, temperatura de 37.8 ºC. Se apreciaba deshidratación de mucosas, ictericia de piel y escleras, así como estertores en la base pulmonar derecha. El abdomen era blando y depresible, doloroso en epigastrio y cuadrante superior izquierdo, con peristalsis presente. No se palparon masas. El resto del examen físico fue normal. Los exámenes de laboratorio mostraron hemoglobina de 18.2 g/dL, hematócrito de 53%, leucocitos: 7.3 mil células/ mm3, glucosa: 121 mg/dL, BUN: 9 mg/dL, creatinina: 1.0 mg/dL, bilirrubina total de 5.8 mg/dL, bilirrubina directa: 4.4 mg/dL e indirecta: 1.38 mg/ dL, fosfatasa alcalina: 174 UI/L, aspartato amino-transferasa: 151 UI/L y alanina aminotransferasa: 259 UI/L. El ultrasonido abdominal informó hígado situado en cuadrante superior izquierdo del abdomen, con vesícula biliar distendida, pared de 4.5 mm de espesor, con ecos en su interior sugestivos de lodo biliar y el colédoco medía 7 mm. La tomografía computarizada abdominal confirmó el situs inversus y edema importante de la pared vesicular (Figura 1). Se inició hidratación intravenosa y ciprofloxacino. Se comentaron las diferentes alternativas de tratamiento con el paciente y se decidió su intervención quirúrgica por vía laparoscópica para resolver el cuadro de colecistitis aguda y la ictericia obstructiva.
¿ Figura 1. TC de abdomen mostrando el situs inversus y la pared vesicular con edema.
Se utilizaron para la intervención cuatro trócares colocados en espejo con respecto a la técnica que utilizamos habitualmente (uno de 10 mm y tres de 5 mm) (Figura 2). La colocación del equipo quirúrgico también fue a la inversa del modo convencional, utilizando la posición americana. Se confirmó la colecistitis aguda y se realizó colangiografía transcística encontrando tres litos en el interior del colédoco. Se intentó hacer la extracción sin éxito, por lo cual se procedió a realizar coledocotomía con extracción de los litos con catéter de Fogarty biliar, suturando el colédoco con tres puntos de Vycril 3-0 y dejando una sonda en T extraída a través del trócar subxifoideo, todo por vía laparoscópica (Figura 3).
¿ Figura 2. Colocación de trócares en 'espejo'
¿ Figura 3. Colangiografía con sonda en T, donde se observa la litiasis resuelta.
El paciente no tuvo complicaciones posoperatorias; su evolución fue la habitual de la intervención mini-invasiva. Se reinstaló la vía oral al día siguiente, la ictericia disminuyó hasta su resolución total y su egreso se produjo a las 72 horas de la operación. El informe de histopatología fue 'colecistitis crónica y aguda, hemorrágica focal con peritonitis crónica leve y un ganglio cístico con hemorragia'. Su evolución fue favorable, regresando a sus actividades normales una semana después de la intervención. Un mes después de la cirugía, la sonda en T se retiró, previa colangiografía a través de la misma.
¿ Discusión
El situs inversus es una entidad rara en la cual existe una transposición especular de la anatomía habitual de los órganos. No se conoce la causa de esta variación, pero se atribuye a una predisposición genética de transmisión autosómica recesiva.
La incidencia del situs inversus varía de uno entre cinco mil a 20 mil personas en los diferentes fuentes, incluyendo uno nacional.1-8 En casos sin otras patologías asociadas, la anatomía es usualmente normal pero invertida con relación a lo habitual y puede existir con y sin dextrocardia, siendo esta presentación la más frecuente9 como en el caso de este paciente. Puede presentarse asociada a otras anomalías congénitas como la displasia renal, la fibrosis pancreática y la disgenesia biliar intrahepática, entre otras. La incidencia de anomalías arteriales, venosas y de la vía biliar no es diferente a la encontrada en la población general. La relevancia clínica de esta condición, está relacionada con las dificultades que puede ocasionar para el diagnóstico y tratamiento quirúrgico de pacientes especialmente con patología abdominal, ya que la localización del dolor no concuerda con los datos clínicos de una determinada entidad como en el caso de la patología vesicular, por lo cual es importante que el médico recuerde esta posibilidad, se apoye en los estudios de imagen para corroborarlo y planee de ser necesario, el abordaje quirúrgico más adecuado.1,4,7 Usualmente tanto en cirugía convencional como laparoscópica, el situs inversus no plantea grandes dificultades, con excepción de enfrentarse a una disposición anatómica con la cual el cirujano no está familiarizado, por lo cual tiene que poner especial cuidado durante la disección y la realización del procedimiento.
La cirugía laparoscópica se ha utilizado con seguridad y eficacia en estos casos con situs inversus. Los reportes de colecistectomía laparoscópica en situs inversus resaltan la dificultad técnica; sin embargo, son muy raros los casos en los que se ha realizado además una exploración laparoscópica de la vía biliar. Como ya se mencionó, la exploración del repositorio PubMed en inglés y español de 1989 a la fecha, nos permitió recuperar dos publicaciones sobre casos de situs inversus con el procedimiento de colecistectomía laparoscópica y exploración de vías biliares, en ambos casos exitosos.
La incidencia de coledocolitiasis en pacientes con colelitiasis sintomática se presenta en aproximadamente en 10% a 15% de los casos.10 Se ha descrito en múltiples artículos la conveniencia de realizar colangiografía intraoperatoria, la que ayuda a definir la anatomía, evitar lesiones inadvertidas de la vía biliar en el periodo transoperatorio, identificar coledocolitiasis y explorar la vía biliar cuando es necesario. En más de 60% de los casos es posible resolver la litiasis de la vía biliar extrahepática a través del conducto cístico;5 sin embargo, en ocasiones es necesario hacer una exploración formal del colédoco para resolver el problema en un mismo tiempo quirúrgico, evitando otros procedimientos como la colangio-pancreatografía retrógrada endoscópica (CPRE) o cirugías posteriores con el consiguiente aumento en morbilidad, mortalidad y costos.11,12 Sin embargo, es importante seleccionar en cada paciente el abordaje más apropiado, ya que el manejo multidisciplinario conjuntando técnicas endoscópicas y quirúrgicas puede ser más seguro y conveniente en algunos casos, con efectividad similar.5,13,14 En este paciente, intentamos la resolución de la coledocolitiasis de primera instancia por vía trans-cística, como lo llevamos a cabo en la mayor parte de nuestros casos. Al no tener éxito, decidimos realizar la coledocotomía laparoscópica extraer los litos con cierre del conducto, dejando una sonda de Kehr con la técnica habitual, sin más dificultades técnicas que la sensación diferente de enfrentarse a la anatomía inversa.
La exploración del colédoco por laparoscopia es igual de efectiva que por la vía abierta convencional.15 Dorman y colaboradores11 señalaron 94.6% de éxito en exploraciones laparoscópicas de la vía biliar con 2.0% de litiasis residual los cuales fueron resueltos por CPRE y 3.6% de conversiones a cirugía convencional, lo cual es similar a lo informado por muchos otros grupos.12 La CPRE es otra alternativa efectiva tanto en el periodo pre como posoperatorio para el manejo de la coledocolitiasis; sin embargo, los informes de CPRE en situs inversus son escasos y prácticamente todos concluyen que existe dificultad técnica que requiere de especial atención por la imagen en espejo y al hecho de que los endoscopios están diseñados para visualizar la papila en su posición anatómica habitual.5 En el caso de este paciente, tomando en cuenta estas consideraciones, decidimos resolver el problema por la vía laparoscópica, para ofrecerle las bondades de este abordaje, aunque previamente se había comentado con el enfermo la posibilidad de realizar conversión o un procedimiento endoscópico complementario.
El reto anatómico del situs inversus en la colecistitis hace conveniente el uso de la colangiografía transoperatoria, ya que el riesgo de lesión de la vía biliar puede aumentar, siendo ésta una situación muy poco frecuente, con la que ningún cirujano está familiarizado, no sólo considerando la diferencia anatómica sino también por las variaciones técnicas en relación al cambio de manos para la disección.1,7 Oms, comparó la facilidad técnica que percibieron un cirujano diestro y otro zurdo, al operar cada uno a un paciente con litiasis vesicular y situs inversus por laparoscopia, encontrando que el cirujano diestro percibió mayor dificultad e incomodidad que el zurdo. Aunque esta comparación es muy subjetiva, es de atenderse.16 En el caso del presente reporte, el cirujano es zurdo y no encontró dificultad ni incomodidad durante el procedimiento.
Los aspectos técnicos de estos procedimientos han sido descritos por varios autores. La colocación de los trócares es similar a la de una colecistectomía laparoscópica estándar pero invertidos en forma especular.5-7 En las dos publicaciones encontradas de exploración laparoscópica del colédoco con situs inversus totalis, se afirma que el procedimiento es factible y seguro; sin embargo, ambos autores refieren que es fundamental que el cirujano tenga amplia experiencia en colecistectomía laparoscópica y exploración de la vía biliar para enfrentarse a esta patología del lado contralateral del paciente.9,17
Algunos autores refieren que la colocación de un trócar extra puede facilitar la tracción de la vesícula durante la colecistectomía.16 Nuestro grupo tiene experiencia en la exploración mini-invasiva de la vía biliar y en el caso que reportamos se pudo llevar a cabo tanto la colecistectomía como la extracción de los litos a través de coledocotomía sin que fuera necesario utilizar otro trocar adicional. Sin embargo, no dudamos en usar otro puerto o los que se consideren necesarios en ésta o cualquier otra situación para facilitar el procedimiento y llevarlo a cabo con más seguridad.
¿ Conclusión
La colecistectomía laparoscópica con exploración de la vía biliar es un procedimiento quirúrgico efectivo y seguro cuando es practicado por un cirujano con experiencia y puede ser aplicado en casos de situs inversus. Sin embargo, es importante adoptar todas las medidas para que la seguridad del paciente no se vea afectada y considerar las alternativas que puedan brindar la mejor opción.
Correspondencia: Carlos Bravo Torreblanca.
Vialidad de la Barranca s/n C-410, Valle de las Palmas, Huixquilucan, Estado de México, CP 52763, Estado de México. Teléfono: 5246 9527.
Correo electrónico: carlosb240@yahoo.com.
Recibido el 26 de octubre de 2010;
aceptado el 30 de noviembre de 2010.





