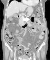
Mujer de 88 años de edad que consulta por dolor mesogástrico de 2 días de evolución, asociado a vómitos y fiebre. Al examen físico presenta dolor a la palpación, con defensa y descompresión positiva; analíticamente: leucocitosis y neutrofilia, la tomografía computada abdominal informa de divertículos yeyunales, cambios inflamatorios en el mesenterio y neumoperitoneo (fig. 1); se realiza laparotomía media, identificando múltiples divertículos en yeyuno proximal, a 40cm del ángulo de Treitz, uno de ellos mostraba una perforación en el borde anti-mesentérico (fig. 2), se realiza resección del área comprometida con anastomosis latero-lateral mecánica; curso postoperatorio favorable, alta al 8.° día. El informe histopatológico fue diverticulitis yeyunal perforada. A diferencia de la enfermedad diverticular colónica, la diverticulitis en intestino delgado es una enfermedad infrecuente; tiene una incidencia alrededor del 1%, permaneciendo asintomáticos en el 70% de los casos, suelen requerir intervención quirúrgica urgente entre el 10-20%. Este proceso inflamatorio puede ser de tipo primario o secundario a la acción de un cuerpo extraño, o por un traumatismo abdominal cerrado. El tratamiento consiste en resección del área de intestino afectada y anastomosis.
Los autores declaran que para esta investigación no se han realizado experimentos en seres humanos ni en animales.
Confidencialidad de los datosLos autores declaran que han seguido los protocolos de su centro de trabajo sobre la publicación de datos de pacientes y que se ha preservado en todo momento su anonimato.
Derecho a la privacidad y consentimiento informadoLos autores han obtenido el consentimiento informado del paciente referido en el artículo. Este documento obra en poder del autor de correspondencia.
FinanciaciónLos autores no recibieron financiación para este trabajo.
Conflicto de interesesLos autores declaran no tener ningún conflicto de intereses para la realización de este trabajo.




