Cuando se hace el diagnóstico diferencial etiológico de los pacientes inmunocomprometidos con diarrea crónica, muy pocas veces o nunca se piensa en espiroquetosis intestinal humana (EIH). Esta, además de ser una causa rara, resulta en un desafío inquietante para el médico, dada la ausencia de variables clínicas y paraclínicas patognomónicas, lo que hace que la probabilidad previa a la interpretación de biopsias intestinales sea baja y no se busque de forma activa. Presentamos a modo de caso clínico una descripción de esta patología, en donde, a diferencia de los pocos reportes identificados en bases de datos existentes en la literatura, se logra un acercamiento endoscópico e histopatológico.
La EIH es una enfermedad definida morfológicamente por la presencia de espiroquetas adheridas a la membrana apical de las células epiteliales del colon y del recto1. Es una causa frecuente de brotes de diarrea en aves de corral, caninos y bovinos; sin embargo, en humanos, especies como Brachyspira aalborgi y Brachyspira pilosicoli pueden ser patógenas. Se ha estimado una incidencia y una prevalencia de diarrea por estos patógenos entre el 0,4 y el 12%2, siendo más frecuente en hombres, particularmente homosexuales con prácticas sexuales inseguras, infectados por VIH, independientemente de su orientación sexual o del grado de inmunodeficiencia, y en zonas de bajos recursos y precariedad3-4. Clínicamente se presenta con diarrea crónica acuosa, dolor abdominal y/o hematoquecia; sin embargo, algunos pacientes son asintomáticos, siendo el diagnóstico incidental al evaluar biopsias de colon obtenidas por razones distintas5. Lo anterior ha generado debate acerca de la implicación de la espiroquetosis intestinal como patógeno o habitante comensal6. La apariencia endoscópica del colon es de carácter inespecífico, describiéndose desde mucosa de características normales hasta lesiones «polipoides» y con parches de eritema irregular que en la mayoría de los casos ha sido la indicación de la biopsia. El compromiso descrito puede ser desde el colon proximal hasta el distal, incluyendo el recto y, en casos anecdóticos, el apéndice cecal7. A nivel histopatológico resulta tradicional encontrar una franja azul difusa a la tinción con hematoxilina-eosina a lo largo del borde de la capa epitelial intercriptal, hallazgo conocido como «borde en cepillo falso»8. Una vez sospechada la infección, las tinciones de plata de Warthin-Starry o Dieterle se pueden usar para resaltar las espiroquetas en muestras de tejido fijadas1. Muy poco se ha descrito en la literatura acerca del manejo antimicrobiano de estos pacientes. Mientras que algunos pacientes pueden tener remisión completa de la diarrea y normalización de la mucosa colorrectal, otros continúan sintomáticos, con o sin persistencia del «borde en cepillo falso». En general, se justifica un ensayo de terapia con antibióticos, más frecuentemente con metronidazol, por un curso variable entre 7 y 10días9. Otros reportes de caso han mostrado resolución de síntomas con el uso de clindamicina y algunos macrólidos4,10. Presentamos el caso de un paciente de 47años con antecedente de VIH positivo estado OMS A2 y hepatitis autoinmune en superposición a colangitis biliar primaria (CBP) en terapia antirretroviral (TAR) con cuadro clínico de 4meses de evolución consistente en diarrea crónica acuosa asociado a dolor abdominal generalizado tipo cólico y episodios intermitentes de hematoquecia. Durante el estudio de colonoscopia total, con hallazgo de colitis segmentaria ulcerada de colon izquierdo y transverso y una lesión pediculada París 0-1s de 11mm, NICE 2 en colon izquierdo (fig. 1), se tomaron biopsias de lesión ulcerada y polipoide, las cuales fueron enviadas al laboratorio de patología con hallazgo de espiroquetosis intestinal (fig. 2). Se le dio tratamiento al paciente con metronidazol 500mg vía oral cada 12horas por 10días con resolución de los síntomas en su totalidad.
Colonoscopia total con hallazgo de colitis segmentaria ulcerada de colon transverso e izquierdo asociado a lesiones polipoides en colon izquierdo. A)Colon transverso: erosiones difusas con pérdida del patrón vascular, con algunas ulceraciones de 2mm dispersas, cubiertas con fibrina. B-D)Colon izquierdo: desde la porción más distal se observan erosiones difusas con pérdida del patrón vascular, con algunas ulceraciones de 2mm dispersas, cubiertas con fibrina. Se observa lesión polipoide sésil de 11mm, a la cromoendoscopia, NBI hipercrómico, patrón superficial trabecular y patrón vascular regular.
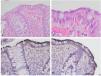
Biopsia de mucosa colónica tomada en estudio endoscópico. A)Mucosa colónica con infiltrado linfocítico inespecífico en la lámina propia, en la superficie borrosa o difuminada (10×,H&E). B)Superficie mucosa con aspecto de borde en cepillo (100×, H&E), tinción de hematoxilina y eosina. C,D)La tinción de inmunohistoquímica para treponema resalta las espiroquetas sobre la superficie epitelial (40×).
Se debe hacer búsqueda activa de EIH en pacientes con diarrea crónica, en especial cuando se encuentran en condición de inmunosupresión. Hemos encontrado muy pocos reportes de caso al respecto, la mayoría de ellos como hallazgo incidental. Este reporte reúne elementos importantes en el aprendizaje de esta patología, ya que hace la descripción completa de un síndrome diarreico en inmunosuprimido con hallazgos inespecíficos en colonoscopia, pero con búsqueda activa a la histopatología de espiroquetas una vez se descartaron patologías más frecuentes. De acuerdo con la secuencia temporal de eventos, una vez tratado con antimicrobianos el paciente tuvo resolución de la sintomatología, hallazgos concordantes con lo publicado en reportes previos. Nos llamó la atención el hallazgo de lesiones polipoides en colon, ya que, en algunos reportes de la literatura, este ha sido un hallazgo recurrente, careciendo de explicación hasta el momento. Valdría la pena estudiar si hay causalidad y plausibilidad biológica. Como limitante encontramos el no haber tenido un seguimiento más a largo plazo del paciente para evaluar directamente el efecto del manejo a nivel histopatológico, ya que perdimos su seguimiento.
La EIH es una rara causa de diarrea crónica en pacientes inmunocomprometidos. Carece de variables clínicas y paraclínicas patognomónicas, por lo que considerarla dentro del diagnóstico diferencial y contar con un equipo de patología experimentado que busque espiroquetas en las muestras obtenidas por endoscopia son la clave para el diagnóstico.
Consideraciones éticasPara la elaboración del presente trabajo se firmó el consentimiento informado por parte del paciente. No fue requerida la aprobación del Comité de Bioética de la Pontificia Universidad Javeriana, ya que, de acuerdo con las pautas éticas internacionales para la investigación relacionada con la salud con seres humanos (CIOMS, versión 2016), la publicación presentada se considera como investigación sin riesgo. Declaramos que este artículo no contiene información personal que permita identificar al paciente.
FinanciaciónPara la elaboración del presente artículo no se recibió financiamiento directo o indirecto de ninguna institución o persona natural.
Conflicto de interesesLos autores declaran no tener conflicto de intereses.




