La severidad de la gastritis crónica asociada con la infección por Helicobacter pylori (GCAHpI) juega un papel importante en la evaluación del riesgo potencial de desarrollar cáncer gástrico. Nuestro objetivo fue estimar el riesgo de cáncer gástrico de acuerdo con criterios histopatológicos y mediante la aplicación del índice de riesgo de cáncer gástrico (GCRI).
MétodosSe realizó análisis histopatológico de biopsias gástricas (cuerpo y antro) de pacientes adultos consecutivos que fueron sometidos a panendoscopia y el GCRI se aplicó en pacientes que presentaban evidencia de GCAHpI.
ResultadosSe incluyeron 111 pacientes (77% mujeres) con una edad media de 38.6 ± 13.1. La infección activa por Helicobacter pylori (AHPI) se diagnosticó en 77 casos (69.40%). Del 45% de los casos con AHPI, 23% tuvieron pangastritis y 22% gastritis predominante en el cuerpo gástrico. Nueve casos fueron diagnosticados con metaplasia intestinal (8%), 7 de los cuales (77.70%) fueron del grupo AHPI. Veintiún por ciento de los pacientes con AHPI tenía un GCRI de 2 (18.10%) o 3 (2.50%) puntos (índice de riesgo alto), mientras que el 79.10% restante tuvieron un GCRI de 0 o 1 puntos (riesgo bajo índice). De los pacientes sin AHPI, ninguno de ellos tenía 3 puntos (p = 0.001). De los 18 pacientes que acumularon 2 o 3 puntos, 6 (33.30%) presentaron metaplasia intestinal (todos con pangastritis y gastritis en cuerpo), de los cuales 4 casos (66.60%) tenían AHPI.
ConclusionesEl riesgo estimado de cáncer gástrico en pacientes con GCAHpI en el entorno clínico estudiado fue relativamente bajo y 5% de los pacientes tenían un fenotipo histopatológico asociado con un riesgo elevado de desarrollar cáncer gástrico.
Severity of chronic gastritis associated with Helicobacter pylori infection (CGAHpI) could play a role in evaluating the potential risk to develop gastric cancer. Our aim was to estimate the risk for gastric cancer in a clinical setting, according to histopathologic criteria, by applying the gastric cancer risk index (GCRI)
MethodsHistopathologic study of the gastric biopsies (corpus-antrum) from consecutive adult patients that underwent gastroesophageal duodenoscopy was carried out, and the GCRI was applied in patients presenting with CGAHpI.
ResultsOne hundred eleven patients (77% female) with a mean age of 38.6±13.1 years were included. Active Helicobacter pylori infection (aHpi) was diagnosed in 77 cases (69.40%). In 45% of the cases with aHpi, pangastritis (23%) or corpus-predominant gastritis (22%) was diagnosed. Nine cases were diagnosed with intestinal metaplasia (8%), 7 of which (77.70%) were in the aHpi group. Twenty one percent of the patients with aHpi had a GCRI of 2 (18.10%) or 3 (2.50%) points (high risk index), while 79.10% accumulated a GCRI of 0 or 1 points (low risk index). Of the patients with no aHpi, none of them had 3 points (p=0.001). Of the 18 patients that accumulated 2 or 3 points, 6 (33.30%) presented with intestinal metaplasia (all with pangastritis and corpus-predominant gastritis), of which 4 cases (66.60%) had aHpi.
ConclusionsThe estimated gastric cancer risk in patients with CGAHpI in the clinical setting studied was relatively low and 5% of the patients had a histopathologic phenotype associated with an elevated risk for developing gastric cancer.
La bacteria Helicobacter pylori (H. pylori) es el principal agente etiológico asociado con gastritis, enfermedad úlcero-péptica, cáncer gástrico y linfoma gástrico primario. Se estima que la infección por H. pylori afecta aproximadamente al 50% de la población mundial1, originando elevadas cifras de morbilidad y mortalidad. En 1994, la Organización Mundial de la Salud y la Agencia Internacional para la Investigación del Cáncer clasificaron este microorganismo como un carcinógeno humano clase i2. La infección por H. pylori se adquiere usualmente durante la infancia y persiste como gastritis crónica, si la bacteria no es erradicada3. De acuerdo con el modelo de carcinogénesis descrito por Correa para el adenocarcinoma gástrico tipo intestinal4, este se inicia con un proceso de gastritis crónica, seguido de atrofia glandular, metaplasia intestinal, displasia y finalmente el adenocarcinoma. Sin embargo, este modelo no puede aplicarse en todos los casos de manera rutinaria5. Por otro lado, la progresión propuesta difiere entre los países e incluso entre diferentes regiones de un mismo país5,6.
El estudio patológico de las biopsias gástricas endoscópicas constituye un recurso excelente para el diagnóstico de la gastritis y la visualización del H. pylori7,8. Los hallazgos derivados de su estudio se consideran esenciales en el manejo clínico de los pacientes. Recientemente, la combinación de ciertas características histopatológicas ha emergido como una herramienta prometedora para estimar el riesgo de desarrollar cáncer gástrico12–19, en el escenario clínico, de modo que el grado de severidad de la gastritis asociada a infección por H. pylori (GAIHp), tanto en el antro como en el cuerpo gástrico, parece constituir un buen marcador de tal riesgo en los pacientes con gastritis crónica asociada a infección por H. pylori (GCAIHp)9–13.
ObjetivoEstimar el riesgo de cáncer gástrico en un escenario clínico, de acuerdo con criterios histopatológicos, en pacientes con GCAIHp, aplicando el índice de riesgo de cáncer gástrico (IRCG) en pacientes infectados con H. pylori, descrito por Meining et al.10.
Población y muestraLa población estuvo constituida por los pacientes que acudieron a la consulta de Gastroenterología del Hospital Universitario de Maracaibo, en el Estado Zulia, Venezuela, entre junio del 2007 y diciembre del 2009, a quienes se les indicó la realización de una endoscopia del tracto digestivo superior (esófago-gastro-duodenoscopia) por cualquier causa. Se incluyó a pacientes consecutivos de cualquier género, grupo étnico y edad, siempre y cuando hubieran manifestado su aceptación para participar en el estudio, mediante la firma del consentimiento informado. Fueron excluidos los pacientes con enfermedades sistémicas severas, hemorragia digestiva activa o sangre presente en la cavidad gástrica, tratamiento con antibióticos anti-H. pylori en los últimos 3 meses y tratamiento con inhibidores H2 y/o inhibidores de la bomba de protones en los últimos 15 días.
A todos los pacientes se les realizó una historia clínica tabulada completa y esófago-gastro-duodenoscopia con toma de biopsias de la mucosa del cuerpo y el antro gástrico para estudio histopatológico, cultivo microbiológico para H. pylori y prueba de ureasa.
Endoscopia del tracto digestivo superiorEste estudio se practicó en pacientes con un mínimo de 10 h de ayuno absoluto, previa anestesia tópica de la región faríngea e hipofaríngea, y sedación por vía intravenosa con midazolan (3 a 5mg por vía intravenosa)14. Con monitoreo permanente de signos vitales, se introdujo un endoscopio flexible por vía oral, siguiendo la técnica previamente descrita15. Al llegar a la cavidad gástrica, se revisaron sistemáticamente el fundus, el cuerpo y antro. Se utilizó la pinza endoscópica para tomar 3 biopsias del antro y una biopsia del cuerpo (de aproximadamente 3mm de diámetro cada una), dando preferencia a las zonas con lesión aparente, cuidando que las muestras para el cultivo microbiológico y la prueba rápida de ureasa no estuvieran impregnadas de sangre. Las muestras fueron colocadas en viales separados, previamente identificados, conteniendo el medio apropiado para cada prueba.
Prueba de ureasaLa primera biopsia de antro gástrico se colocó en un tubo de Eppendorf conteniendo 1.5ml de agar urea, preparado según el procedimiento previamente descrito y estandarizado para la población estudiada16. La muestra se incubó a 35°C durante un máximo de 2 h, verificando periódicamente la aparición de cambios de color en el agar. La prueba se consideró positiva cuando, durante el lapso de incubación, ocurrió el cambio de color del indicador rojo de fenol contenido en el medio, de anaranjado suave a rosado o fucsia intenso. La ausencia de cambios en el color o los cambios ocurridos después de las 2 primeras horas se consideraron como un resultado negativo.
Cultivo para Helicobacter pyloriEl cultivo para este microorganismo se realizó a partir de una biopsia de la mucosa gástrica antral obtenida endoscópicamente, siguiendo el procedimiento antes descrito17. En resumen, la biopsia se retiró de la pinza del endoscopio utilizando una aguja estéril y se colocó en un tubo de Eppendorf conteniendo 0.5ml de solución salina estéril, como medio de transporte. Esta se procesó en un lapso no mayor de 4 h luego de la recolección. En primer lugar, el tejido se fraccionó finamente utilizando una hojilla de bisturí sobre un vidrio de reloj estéril. Este preparado se sembró en 2 medios de cultivo enriquecidos para aislamiento primario, uno selectivo y uno no selectivo, utilizando como base agar Brucella suplementado con sangre de carnero al 5%. Al medio selectivo se le adicionaron 3 agentes antimicrobianos: vancomicina, trimetroprima y anfotericina B. Ambos medios se incubaron en atmósfera microaerofílica húmeda (5% de O2, 10% de CO2 y 85% de N2), utilizando jarras de anaerobiosis y sobres generadores de gases Anaerocult C® (Merck, Darmstadt, Alemania), a una temperatura de 35°C. Los cultivos se inspeccionaron a los 3, 5 y 7 días. La identificación de los aislamientos se basó en la morfología colonial y celular característica de H. pylori, así como mediante pruebas de oxidasa, catalasa y ureasa positivas.
Estudio histopatológicoUna biopsia del cuerpo y otra del antro gástrico fueron fijadas en solución de formaldehído al 10%. Seguidamente, los fragmentos de mucosa gástrica fueron procesados siguiendo los pasos habituales de deshidratación e inclusión en parafina, para luego proceder a realizar cortes seriados de un máximo de 5μm, los cuales se fijaron en láminas portaobjeto y se tiñeron con hematoxilina-eosina.
Evaluación histopatológicaEn todos los casos, las preparaciones fueron observadas al microscopio de luz con aumentos de 10×, 40× y 100×. Cuando se identificó la presencia de H. pylori, esta fue valorada como escasa, moderada o abundante. El patólogo, al momento de hacer la evaluación histopatológica, desconocía tanto las características clínicas como el resultado de las pruebas de ureasa y cultivo microbiológico correspondientes a cada caso.
Todas las biopsias se examinaron de modo semicuantitativo para establecer el grado de inflamación mononuclear (células plasmáticas, linfocitos e histiocitos) y activa (polimorfonucleares tipo neutrófilos), y la presencia o ausencia de metaplasia intestinal, de acuerdo con el sistema de Sídney3.
Criterios para diagnosticar la infección activa por Helicobacter pyloriSe diagnosticó la infección activa por H. pylori (iaHp) cuando al menos una de las 3 pruebas realizadas resultó positiva. La ausencia de H. pylori en los 3 estudios se consideró como un caso sin infección activa.
Clasificación de la gastritisLa gastritis se clasificó en 4 categorías, de acuerdo con las siguientes características histopatológicas:
- 1.
No Gastritis: mucosa antral y del cuerpo histológicamente normales.
- 2.
Gastritis predominantemente antral: mayor grado de inflamación en el antro comparado con el cuerpo.
- 3.
Pangastritis: similar grado de inflamación en el antro y el cuerpo.
- 4.
Gastritis predominantemente corporal: mayor grado de inflamación en el cuerpo, comparado con el antro.
Se aplicó el IRCG gástrico en pacientes con GCAIHp, propuesto por Meining et al.10, el cual establece los siguientes criterios:
- 1.
La infiltración mononuclear con células plasmáticas/linfocitos es más pronunciada en la mucosa del cuerpo que en la mucosa antral, o al menos son similares: 1 punto.
- 2.
La infiltración con polimorfonucleares tipo neutrófilos es más pronunciada en la mucosa del cuerpo que en la mucosa antral, o al menos son similares: 1 punto.
- 3.
Presencia de metaplasia intestinal en la mucosa de antro o de cuerpo: 1 punto.
Los índices de 0 y 1 se asocian a un bajo valor predictivo positivo para cáncer gástrico, mientras que los índices 2 y 3 se asocian a un alto valor predictivo positivo10.
Análisis estadísticoLa significación estadística de las diferencias cualitativas se calculó mediante la prueba de la chi al cuadrado y la prueba de la t de Student no pareado. Se aplicó el test de correlación de Spearman para establecer la relación entre los fenotipos de gastritis y el IRGC. Se consideró significativo un valor de p<0.05.
ResultadosSe estudió a 111 pacientes, 85 del género femenino (76.6%) y 26 del masculino (23.4%), con edades comprendidas entre los 16 y los 76 años (media±desviación estándar: 38,6±13,1 años), sin variaciones significativas en la media de edad entre géneros. La iaHp se diagnosticó en 77 casos (69.4%); en los 34 casos restantes (30.6%), las 3 pruebas diagnósticas resultaron negativas (H. pylori negativo). La iaHp se diagnosticó en el 68.2% de los pacientes femeninos y en el 63.3% de los pacientes masculinos, sin diferencias significativas entre ellos.
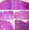
Clasificación de la gastritisEn la tabla 1 se observan los fenotipos histopatológicos de la gastritis diagnosticada en los pacientes con iaHp y sin iaHp. En el 45% de los casos con iaHp, se diagnosticó pangastritis (23%) o gastritis predominantemente corporal (22%), mientras que el 32% de los casos sin iaHp desarrolló pangastritis (15%) o gastritis predominantemente corporal (17%). En la figura 1 se ilustran los aspectos histopatológicos de un caso de gastritis predominantemente antral, de la pangastritis y de la gastritis predominantemente corporal. En la figura 2 se muestran la presencia de H. pylori, metaplasia intestinal y la infiltración por polimorfonucleares tipo neutrófilos.
Fenotipo histopatológico de la gastritis asociada a infección por Helicobacter pylori
| Fenotipo | iaHp+ (n = 77) | iaHp– (n = 34) |
| N.° (%) | N.° (%) | |
| GCPA | 42 (55) | 23 (68) |
| GCPC | 17 (22) | 6 (17) |
| Pangastritis | 18 (23) | 5 (15) |
GCPA: gastritis predominantemente antral; GCPC: Gastritis predominantemente corporal; iaHp+: con infección por Helicobacter pylori; iaHp–: sin infección por Helicobacter pylori.
A) Izquierda: gastritis crónica antral con presencia de Helicobacter pylori en una luz glandular señalada con un cuadro (izquierda). Tinción: hematoxilina eosina (100×). Derecha: mayor aumento del área del cuadro en la que se observan algunos bacilos Helicobacter pylori (flechas) (inmersión). B) Metaplasia intestinal. Presencia de células caliciformes (flechas) (40×/100×; izquierda y derecha, respectivamente). C) Presencia de células inflamatorias polimorfonucleares tipo neutrófilos que infiltran la lámina propia, el epitelio de revestimiento y la luz glandular (flechas y círculos) (40×/400×/inmersión; de izquierda a derecha, respectivamente).
Se diagnosticaron 9 casos con metaplasia intestinal (8%), 7 de los cuales (77,7%) se observaron en el grupo con iaHp. De estos últimos, 3 correspondieron a metaplasia intestinal en la mucosa antral y 4 en la mucosa del cuerpo. Se evidenció diferencia estadísticamente significante entre los pacientes con y sin iaHp (p=0.04; χ2: 8.196). Ningún paciente con metaplasia intestinal presentó úlcera duodenal o gástrica. No se evidenció relación entre la presencia de metaplasia intestinal y los aspectos demográficos o clínicos.
Índice de riesgo de cáncer gástricoEn la tabla 2 se presentan los datos relacionados con el IRCG en los pacientes con y sin iaHp. El 20.6% de los pacientes con iaHp obtuvo un IRCG de 2 puntos (18.1%) o 3 puntos (2.5%) (índice de alto riesgo según Meining et al.10), mientras que el 79.1% acumuló un IRCG de 0 o 1 punto (índice de bajo riesgo según Meining et al.10). El 5.8% de los pacientes sin iaHp obtuvo 2 puntos, mientras que ninguno presentó 3 puntos. Por su parte, el 94% presentó 0 o 1 punto. Se evidenció la existencia de diferencias estadísticamente significantes entre ambos grupos (p=0.001; χ2: 22.951). Los pacientes con iaHp obtuvieron un IRCG medio de 1.83±0.8 puntos, mientras que en los pacientes sin iaHp el IRCG medio fue de 1.38±0.6 puntos, siendo la diferencia estadísticamente significativa (p<0.05).
Gastritis asociada a la infección por Helicobacter pylori e índice de riesgo de cáncer gástrico
| Puntos | iaHp+ (n = 77) | iaHp– (n = 34) | VP | Gastritis |
| N.° (%) | N.° (%) | |||
| 0 | 31 (40.2) | 23 (67.6) | 0.166 | Bajo riesgo |
| 1 | 30 (38.9) | 9 (26.4) | 0.464 | |
| 2 | 14 (18.1) | 2 (5.8) | 0.791 | Alto riesgo |
| 3 | 2 (2.5) | 0 (0) | 0.943 |
iaHp+: con infección por Helicobacter pylori; iaHp–: sin infección por Helicobacter pylori.
IRCG: Índice de riesgo de cáncer gástrico.
VP: valor predictivo para desarrollar cáncer gástrico según Meining et al.
Fuente: Meining et al10.
En la tabla 3 se muestra la relación entre la topografía de la GAIHp y el IRCG, la presencia de metaplasia intestinal y la presencia de úlcera gástrica. De los 18 pacientes que acumularon 2 o 3 puntos, 6 (33.3%) presentaron metaplasia intestinal (todos con pangastritis y gastritis crónica predominantemente corporal), de los cuales 4 (66.6%) casos correspondieron al grupo con iaHp.
Topografía de la gastritis asociada a infección por Helicobacter pylori e índice de riesgo de cáncer gástrico
| Topografía de la gastritis | Hp+ | Hp– | ||||||||||||
| IRCG | Met | UG | IRCG | Met | UG | |||||||||
| 0 | 1 | 2 | 3 | Total | 0 | 1 | 2 | 3 | Total | |||||
| GCPA | 31 | 10 | 1 | – | 42 | 3 | 4 | 23 | – | – | – | 23 | – | 4 |
| Pangastritis | – | 12 | 4 | 2 | 18 | 2 | 1 | – | 4 | 2 | – | 6 | 1 | – |
| GCPC | – | 8 | 9 | – | 17 | 2 | 1 | – | 5 | – | – | 5 | 1 | 1 |
| Total | 31 | 30 | 14 | 2 | 77 | 7 | 6 | – | 9 | 2 | 0 | 36 | 2 | 5 |
0 y 1: bajo riesgo; 2 y 3: alto riesgo.
GCPA: gastritis predominantemente antral; GCPC: gastritis predominantemente corporal; Hp+: con infección por Helicobacter pylori; Hp–: sin infección por Helicobacter pylori; IRCG: índice de riesgo de cáncer gástrico. Met: metaplasia intestinal; UG: úlcera gástrica.
En el grupo de pacientes con iaHp (77 pacientes), todos los que desarrollaron pangastritis y gastritis predominantemente corporal (n=35) acumularon 1 o más puntos, 15 (43%) de estos alcanzaron 2 o 3 puntos y 4 con metaplasia intestinal (11,4%). De los pacientes que presentaron gastritis predominantemente antral, uno obtuvo 2 puntos (2.3%). Cuatro casos de gastritis predominantemente antral presentaron úlcera gástrica (9.5%), mientras que 2 (6%) de los pacientes con pangastritis o con gastritis predominantemente corporal evidenciaron úlcera gástrica.
En el grupo de pacientes sin iaHp, ninguno presentó un IRCG de 3 puntos y 2 (6%) de quienes tuvieron diagnóstico de pangastritis tuvieron un IRCG de 2 puntos, uno de los cuales presentó metaplasia intestinal. Todos los pacientes que desarrollaron gastritis predominantemente antral tuvieron un IRCG de 0 puntos. Cuatro pacientes con diagnóstico de gastritis predominantemente antral presentaron úlcera gástrica (17%), mientras que esta se evidenció en uno (9%) de los pacientes con diagnóstico de pangastritis.
La correlación de Spearman entre el fenotipo de la gastritis y el IRCG evidenció un valor de 0.715 (correlación alta, y estadísticamente significativa, con valor de p=0.01).
DiscusiónLa GCAIHp se presentó con alta frecuencia, afectando a un poco más de 2 tercios de la población estudiada (69.4%), de los cuales un poco menos de la mitad (45%) presenta pangastritis (23%) y/o gastritis crónica predominantemente corporal (22%). En Japón, Uemura et al.11 reportaron resultados similares en 1,246 pacientes con GCAIHp, 27% de ellos con pangastritis y 17% con gastritis crónica predominantemente corporal. Este mismo grupo de trabajo reportó un riesgo relativo de desarrollar cáncer gástrico de 15.6 para los pacientes con pangastritis y 34.5 para los pacientes con gastritis crónica predominantemente corporal.
Varios autores9,11,12 han observado que los pacientes con GCAIHp, que presentan pangastritis, gastritis crónica predominantemente corporal, atrofia severa y/o metaplasia intestinal tienen alto riesgo de desarrollar carcinoma gástrico de tipo intestinal. En este estudio, de los 35 pacientes con GCAIHp que presentaron el fenotipo de pangastritis y/o gastritis predominantemente corporal, 15 (43%) obtuvieron 2 o 3 puntos en el IRCG aquí aplicado, de los cuales 4 (11.4%) presentaron metaplasia intestinal, es decir, pangastritis atrófica-metaplásica y/o gastritis predominantemente corporal atrófica-metaplásica.
De lo precedente, se deriva que existe un grupo de pacientes con GCAIHp que desarrollaron pangastritis o gastritis predominantemente corporal con elevado IRCG sin metaplasia intestinal y otro grupo con IRCG con metaplasia intestinal. En este estudio, el primero de los grupos alcanzó el 19% (15/77) y el segundo el 5% (4/77). Por otra parte, en el grupo de pacientes sin infección por H. pylori, se evidenció que solo el 5.8% (2/34) presentó pangastritis o gastritis predominantemente corporal con elevado IRCG sin metaplasia intestinal, y el 3% (1/34) pangastritis atrófica-metaplásica.
Por lo tanto, el análisis de los datos indica que el grupo de pacientes con el fenotipo histopatológico asociado a mayor riesgo de desarrollar cáncer gástrico, decrece progresivamente al considerar su combinación con el puntaje del IRCG y la presencia de metaplasia intestinal, respectivamente.
En este estudio, solo 2 pacientes con GCAIHp (2.5%) obtuvieron puntuación de 3 en el IRCG y en 7 (9%) se evidenció la presencia de metaplasia intestinal. Destaca que tanto la puntuación de 3 en el IRCG y la presencia de metaplasia intestinal se observaron en pacientes con pangastritis o gastritis crónica predominantemente corporal. Varios autores han evidenciado que estas 3 características se consideran de modo individual como factores vinculados con un mayor riesgo de desarrollar cáncer gástrico. En un estudio de 2,000 pacientes, Meining y Stolte18 observaron una fuerte correlación entre el grado de actividad de la gastritis del cuerpo asociada a la infección por H. pylori y la presencia de metaplasia intestinal. Así mismo, observaron que la gastritis severa del cuerpo y la metaplasia intestinal predominaron en los pacientes con cáncer gástrico y úlceras pépticas gástricas, por lo que concluyeron que la gastritis severa del cuerpo pudiese considerarse como un marcador de cáncer gástrico. Posteriormente, Meining et al.19 aplicaron retrospectivamente el IRCG en las biopsias gástricas de 415 pacientes que desarrollaron cáncer gástrico y establecieron que la puntuación de 3 tiene un 93% de sensibilidad y un 85% de especificidad para la presencia de cáncer gástrico. En este estudio, solo el 2.5% de los pacientes con GCAIHp presentaron 3 puntos y ninguno de los pacientes sin infección por H. pylori. Finalmente, Hsu et al.20 estudiaron a 1,225 pacientes con dispepsia e iaHp mediante análisis multivariado y establecieron que la metaplasia intestinal constituye el único factor que predice de modo independiente el desarrollo de cáncer gástrico. En el presente estudio, se diagnosticó metaplasia intestinal en 9 pacientes (8%), 7 de los cuales (77.7%) se observaron en el grupo con iaHp.
De modo general, por lo expuesto en los párrafos precedentes, el riesgo estimado de cáncer gástrico en pacientes con GCAIHp en los casos analizados en esta investigación es relativamente bajo, lo cual es similar a lo reportado por otros autores9,11,12,18,20,21. Por otro lado, el riesgo pudiese vincularse con la pangastritis o gastritis predominantemente corporal con elevado IRCG y/o metaplasia intestinal.
De lo expresado anteriormente, pudiera deducirse la conveniencia de combinar el fenotipo histopatológico de la GCAIHp y el IRCG para obtener una estimación individual más precisa del riesgo de cáncer gástrico en los pacientes con GCAIHp.
Otros aspectos relevantes que se deben considerar en la estimación integral del riesgo, a la luz de la presente investigación, los constituyen la edad de los pacientes, la presencia de iaHp, la presencia de úlcera duodenal y la ubicación geográfica de los pacientes. La media de edad de los pacientes de este estudio fue de 38.6±13.1 años. Leodolter et al.9 refieren una relación directamente proporcional entre la edad, la puntuación en el IRCG y la presencia de pangastritis y gastritis predominantemente corporal. Algunos estudios presentan los resultados de series de pacientes con medias de edad mayor a 50 años9–11,21–24.
En el presente estudio, ninguno de los pacientes con metaplasia intestinal presentó úlcera duodenal. Este fenómeno pudiese vincularse con lo reportado por Tsukui et al.24, quienes sugirieron que, en pacientes con dispepsia, la presencia de úlcera duodenal disminuye el riesgo de desarrollar gastritis atrófica y metaplasia intestinal en el cuerpo gástrico. La presencia de úlcera duodenal se asocia a pocos cambios atróficos, gastritis predominantemente antral y bajo riesgo de desarrollar cáncer gástrico25.
Los pacientes con iaHp obtuvieron una media significativamente mayor en el IRCG (1.83±0.8 puntos vs. 1.38±0.6 puntos) y mayor incidencia de metaplasia intestinal, que los pacientes sin iaHp (p<0.05 en ambos aspectos). Los pacientes con presencia de metaplasia y puntuaciones elevadas en el IRCG se consideran como de alto riesgo de desarrollar cáncer gástrico10,26. En este contexto, la erradicación del H. pylori pudiese ser conveniente para estos pacientes, considerando que la misma puede reducir el riesgo de desarrollar cáncer gástrico26–28 y que generalmente detiene o retarda la progresión de los cambios histopatológicos asociados al proceso de carcinogénesis, lo cual, finalmente pudiese reducir el riesgo de desarrollar cáncer26–30. Otro aspecto potencialmente relevante, vinculado con la erradicación del H. pylori en los pacientes estudiados, es que en 2 ciudades venezolanas (San Cristóbal y Caracas) el genotipo CagA+/s1m1 es el más prevalente31. En un estudio, realizado en la ciudad de Maracaibo en 32 pacientes, 16 mestizos y 16 de la etnia Wayuu, la seropositividad de la IgG sérica anti-CagA fue del 94 y el 75%, respectivamente32. La infección con este tipo de cepas se vincula con el desarrollo de lesiones precancerosas y cáncer33,34. En un estudio con pacientes colombianos, se reportó que las cepas de H. pylori que expresan elevados niveles de CagA se asocian a lesiones precancerosas más avanzadas35.
Desde el punto de vista geográfico, los pacientes estudiados son habitantes de una ciudad suramericana situada a nivel del mar (Maracaibo, Estado Zulia, Venezuela, véase el mapa, figura 3). En Colombia y Costa Rica, se han reportado tasas de cáncer gástrico mucho más bajas en poblaciones localizadas a nivel del mar, al compararse con las observadas en poblaciones ubicadas en las montañas6. Aparentemente, estas diferencias pudiesen vincularse con diferencias en las costumbres dietéticas y en la exposición o infestación por helmintos. Se ha reportado que las poblaciones localizadas a nivel del mar consumen mayores cantidades de pescado, vegetales y frutas frescas, y presentan mayores tasas de parasitosis intestinal por helmintos6,36. Esta última circunstancia genera una respuesta inmunitaria predominantemente tipo Th2, que se vincula con la evasión de la gastritis atrófica y menor efecto antisecretor de algunas citocinas proinflamatorias6,25,36.
Finalmente, es preciso realizar el seguimiento de la evolución de los hallazgos endoscópicos de la infección por H. pylori y anatomopatológica de la gastritis, al menos en los pacientes con un fenotipo histopatológico asociado a un mayor riesgo de desarrollar cáncer gástrico (pangastritis y gastritis predominantemente corporal con o sin metaplasia intestinal) y 2 o más puntos en el IRCG.
ConclusiónParece conveniente combinar el fenotipo histopatológico de la GCAIHp, el IRCG y algunos aspectos no histopatológicos como la edad, la iaHp, la presencia de úlcera duodenal y la localización geográfica, para obtener una estimación individual más precisa del riesgo de cáncer gástrico en los pacientes con gastritis crónica asociada a la iaHp. Con la combinación de los distintos aspectos se pudiese diseñar un índice clínico-patológico de riesgo de cáncer gástrico particular para cada país o subregión geográfica.
Agradecimientos y declaracionesTrabajo de investigación parcialmente financiado por el Consejo de Desarrollo Científico y Humanístico de la Universidad del Zulia (CONDES-LUZ, Venezuela); Proyecto#CC-0340-10.
Conflicto de interesesLos autores no tienen conflicto de interés en relación con el artículo que se remite para publicación.
See the editorial by D.R. Morgan on pages 125–6.








