¿ Introduction
Endoscopic retrograde cholangio-pancreatography (ERCP) has become the procedure of choice in patients with biliary or pancreatic duct obstruction. At present it is considered a safe and effective technique, but in some patients the transpapillary approach is either not possible or highly challenging.1 In this subset of patients the alternatives are percutaneous transhepatic cholangiopancreatography or surgery, which entails a higher morbidity and mortality rate than ERCP.2
This scenario has remained unmodified for some decades, however, an alternative drainage procedure guided by endoscopic ultrasound (EUS) named EUS guided bilio-pancreatic drainage (EBPD) has been recently described. This procedure allows the performance of endoscopic rendez-vous explorations or trans mural insertion of biliary and pancreatic stents.3-5
¿ Case report
A 43 year-old male with unresectable pancreatic head adenocarcinoma diagnosed 3 months before, was admitted because of incoercible vomiting and jaundice (bilirrubin level of 9.4 mg/dL). Gastroscopy showed tumoral infiltration of the duodenal bulb which prevented access to the ampulla. After informed consent process in which we discuss with the patient the available options including EBPD, another endoscopic session was planned in order to treat both digestive and biliary obstructions. Anticipating that EBPD could be necessary, the patient was placed in supine position under sedation with propofol. We started the procedure by deploying of a 14 cm long self-expandable enteral metallic stent (SEMS) (Hanarostent, Sewoon Medical, Korea) through the duodenal stenosis. After placing the duodenal stent we tried to access the second duodenal loop through the stent, but the stenosis was only partially dilated and we could only reach the superior duodenal flexure. This persistent stenosis despite the SEMS prevented us from attempting to perform ERCP. Thus, we inserted a linear array echoendoscope (Pentax 3630) into the stomach on a straightened position. We scanned the left liver lobe until a dilated bile duct near the liver surface was identified and targeted with a 19 gauge needle (Echo-Tip, Wilson-Cook medical, Inc., Winston-Salem, North Carolina, USA) which we inserted through the gastric wall. We performed an antegrade cholangiography confirming intra and extrahepatic bile duct dilation reaching the intrapancreatic portion, where a 4 cm long stenosis was observed. A 0.35 guide wire was inserted through the needle, and we could gain access through the papilla and made progress with the guide wire into the distal duodenum. After removing the needle, while leaving the guide wire in place, a 7 Fr plastic dilator catheter was introduced over the wire into the distal bile duct and duodenum. Once the fistula was dilated, we tried to insert a 6 cm long partially covered biliary SEMS (Wallstent, Boston Sci, Nattick, MA, USA) through the liver parenchyma with no success, despite repetitive attempts by changing the endoscope angulation. Since we had the distal end of the guide wire in the duodenal lumen, we removed the echoendoscope while leaving the guide wire in place, and inserted a frontal view endoscope through the previously placed duodenal stent until we reached the upper duodenal flexure, from where we could see the guide wire exiting the papilla and forming an intraduodenal loop. We grasped the distal end of the guide wire and extracted it through the mouth, performing an endoscopic rendezvous technique. Once we had both ends of the guide wire coming out through the mouth, we inserted the endoscope over the transgastric portion of the guide wire until we reached the gastric lumen. A 5 mm perforation originated in the parietal fistula with evident pneumoperitoneum was detected after air insufflation (Figure 1 and 2). In view of this situation, we decided to insert a transgastric partially covered SEMS communicating the left bile duct and the gastric lumen, in order to treat the biliary occlusion and seal the gastric perforation. Using now the frontal view endoscope and slightly pulling both ends of the guidewire, we were able to easily insert and deploy an 8 cm SEMS (Wallstent, Boston Sci, Natick, MA, USA) sealing the gastric perforation (Figure 3) and confirming bile flow to the stomach. Immediately after the exploration the patient referred mild abdominal discomfort which eased in a few hours. Twenty four hours later the patient was asymptomatic and a plain abdominal x-ray showed persistence of pneumoperitoneum. He resumed oral feeding with good tolerance 72 hours after the endoscopic procedure and was discharged asymptomatic seven days later with a bilirubin value of 2.4 mg/dL.
¿ Figure 1. With the linear array echoendoscope located in the stomach, the left bile duct was targeted and an antegrade cholangiography was performed, showing diffuse bile duct dilation that reached the distal common bile duct. A guide wire was inserted through the needle into the bile duct, and manipulated until we managed to get through the distal common bile duct stenosis, papilla and duodenal stent into the duodenal lumen. We extracted both ends of the guide wire with a rendezvous technique, and when the frontal view endoscope was inserted over the transgastric end of the wire, the gastric perforation was clearly shown with obvious pneumoperitoneum (arrow).
¿ Figure 2. Endoscopic view of the gastric fistulary orifice which is teared after the efforts made to insert the covered SEMS through the liver parenchyma. The endoscope is inserted over the wire which enters transgastrically the left bile duct exiting through the papilla and the duodenal SEMS, and comes out through the mouth after the Rendez-vous procedure.
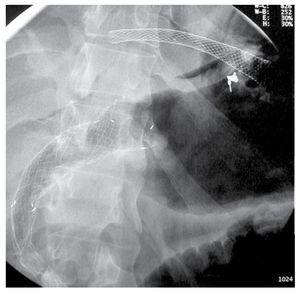
¿ Figure 3. A partially covered biliary SEMS was deployed through the gastric fistula communicating the left bile duct and the gastric lumen, sealing completely the teared fistulary orifice in the stomach.
¿ Discussion
EBPD was first described in 20013 and has been increasingly performed since, with well over 200 cases biliary EPBD cases reported,3,5-9 whereas only around 80 pancreatic EBPD cases have been published.4,10
The complication rate described in these series ranges around 15%, and pneumoperitoneum has specifically been reported in 8% to 20% of patients.4,5 Mortality has also been described, although not clearly in relation with the procedure itself.8,9 Therefore, EPBD must be considered a difficult exploration, technically demanding, with a significant rate of complications. It is mandatory to do both a very careful selection of patients as well as having enough experience with expertise in advanced EUS and ERCP, in order not only to perform the exploration itself, but also to treat its possible complications. In any case, it is probably unwise to assume that proficiency in both EUS and ERCP guarantees a successful EBPD.
In our case, the gastric perforation was related to the difficulty to insert the SEMS through the liver parenchyma and the efforts made to solve this problem with lateral movements of the stent and the endoscope. This difficulty was probably originated in an excessive angulation of the tip of the echoendoscope, which should have been more straightened. Definitely, we selected an excessively low location in the stomach to create the fistula, which should have been 2 cm to 3 cm under the cardia. Fortunately the perforation, which corresponded to the teared fistulary orifice, had only around 5 mm to 6 mm in diameter, narrow enough to be sealed by the covered SEMS. Our main concern was that taking into account that the liver and stomach were moved apart by the pneumoperitoneum, the covered stent might have been poorly fixed and migrate. Fortunately the stent remained in place and the patient had an uneventful recovery.
Correspondence author: Dr. Juan J. Vila.
C. de Irunlarrea 3, planta baja. 31008 - Pamplona. Spain.
Telphone: 848422114.
E-mail address: juanjvila@gmail.com.
Recibido el 21 de junio de 2011;
aceptado el 17 de octubre de 2011.





