La criptococosis, una micosis de relevancia global, afecta predominantemente a individuos con la inmunidad comprometida, especialmente en el contexto del VIH/sida1. Si bien las manifestaciones clínicas más comunes involucran el sistema nervioso central y los pulmones, la diseminación a otros sitios, como el tracto gastrointestinal, es poco frecuente y a menudo subestimada. La afectación gastrointestinal es rara, con casos anecdóticos documentados en el hígado, el páncreas y el tubo digestivo, algunos confirmados solo mediante autopsia2. Este caso clínico es único y agrega valor a la literatura al describir úlceras rectales por Cryptococcus neoformans como causa de sangrado digestivo bajo, una manifestación atípica y de gran relevancia diagnóstica.
Presentamos el caso de un hombre de 42 años con antecedente de VIH/sida avanzado que acude a urgencias por proctalgia, tenesmo y rectorragia intermitente de 5 meses de evolución; los síntomas se agravaron 2 semanas antes con diarrea con moco y sangre. La exploración cardiopulmonar fue normal. Sin embargo, en la exploración rectal, se encontró una úlcera dolorosa en la región anal. No presentaba síntomas neurológicos en el momento de la consulta. Los estudios de laboratorio iniciales revelaron anemia, linfopenia e hipoalbuminemia. Su recuento de CD4+ fue de 22 células/mm3, y la carga viral para VIH de 293,382 copias/ml, lo que confirmó el estado avanzado de la infección. El paciente también presentó pruebas positivas para otras infecciones oportunistas, incluyendo C neoformans en líquido cefalorraquídeo, Pneumocystis jirovecii, tuberculosis pulmonar y sífilis latente.
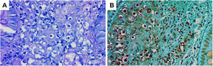
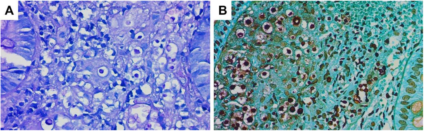
La colonoscopia mostró una mucosa rectal friable con erosiones y una úlcera en el canal anal, lo que evidencia una proctitis infecciosa (fig. 1). Inicialmente, se consideró la proctitis de origen infeccioso, incluyendo infecciones bacterianas (como Treponema pallidum, Haemophilus ducreyi, Chlamydia trachomatis, micobacterias), virales (citomegalovirus o herpes simple) u hongos (como C. neoformans). La histopatología de las biopsias rectales identificó la presencia de levaduras de C. neoformans, confirmando el diagnóstico (fig. 2).
A. Microfotografía con tinción de hematoxilina y eosina que muestra numerosas levaduras redondeadas con halo claro periférico, compatibles con Cryptococcus spp., distribuidas en el tejido rectal. Se identifica gemación estrecha característica y un fondo escasamente inflamatorio. B. Tinción de Grocott-Gomori con plata metenamina que resalta múltiples levaduras fúngicas teñidas de negro, con gemación estrecha, confirmando la presencia de Cryptococcus spp. en el tejido rectal.
El paciente recibió un manejo integral y multidisciplinario. El tratamiento inicial para la criptococosis diseminada fue con terapia antifúngica a base de anfotericina B y fluconazol, seguida de una fase de consolidación y mantenimiento con fluconazol oral. Además, se le administró tratamiento específico para las coinfecciones oportunistas (antibióticos y antituberculosos) y se reinició su terapia antirretroviral.
Con el tratamiento instaurado, el paciente experimentó una notable mejoría clínica. Sus síntomas digestivos remitieron y fue dado de alta con un plan de seguimiento estricto para las fases de mantenimiento del tratamiento antifúngico y el control de su infección por VIH.
La criptococosis gastrointestinal constituye una entidad clínica poco frecuente, cuya mayoría de casos descritos son anecdóticos y, en varias ocasiones, hallazgos de autopsia. Bonacini et al. reportaron 3 pacientes con sida que presentaron compromiso gastrointestinal, hepático y pancreático por C neoformans; sin embargo, ninguno manifestó síntomas digestivos atribuibles directamente a la infección2. A diferencia de lo anterior, nuestro paciente presentó síntomas gastrointestinales prominentes, y el diagnóstico se estableció mediante biopsia endoscópica, lo que subraya la importancia de considerar esta micosis oportunista en el diagnóstico diferencial de las manifestaciones digestivas en pacientes con VIH avanzado.
Con la introducción de la terapia antirretroviral altamente efectiva, las infecciones oportunistas diseminadas han disminuido de forma significativa. No obstante, la criptococosis gastrointestinal también se ha documentado en otros contextos de inmunosupresión. Chavapradit y Angkasekwinai y Osawa y Singh comunicaron casos en pacientes con enfermedad de Crohn en tratamiento con terapias biológicas3,4, lo que refuerza la necesidad de contemplar esta etiología en subgrupos distintos al VIH. Aunque la criptococosis diseminada se observa predominantemente en pacientes inmunocomprometidos, existen reportes aislados en individuos inmunocompetentes, aunque con una frecuencia considerablemente menor5. Este hecho adquiere relevancia clínica, pues amplía el espectro de pacientes en los que la infección debe ser sospechada.
El presente caso enfatiza la importancia de incluir esta dolencia como diagnóstico diferencial de síntomas digestivos en pacientes con VIH avanzado u otras condiciones de inmunosupresión. La identificación temprana y el inicio oportuno del tratamiento resultan determinantes para mejorar el pronóstico.
Responsabilidades éticasLos autores declaran que los procedimientos seguidos se conformaron a las normas y de acuerdo con la Asociación Médica Mundial y la Declaración de Helsinki.
Los autores declaran que este trabajo se enmarca en un reporte de caso clínico y no en un protocolo de investigación formal, por lo que no fue necesaria la evaluación y aprobación de un Comité de Ética y de Investigación institucional para su realización. Se declara que el reporte cumple con las normas éticas vigentes.
Para el manejo y tratamiento clínico se obtuvo el consentimiento informado del paciente, siguiendo los protocolos hospitalarios habituales para la atención médica.
Los autores declaran que se obtuvo el consentimiento informado por escrito del paciente para la publicación de su caso clínico, incluyendo los datos médicos e imágenes relevantes. Se han tomado las medidas necesarias para preservar el anonimato y la confidencialidad de la identidad del paciente.
FinanciaciónLos autores declaran que no recibieron apoyo financiero por la autoría y/o publicación de este artículo.
Conflicto de interesesLos autores declaran no tener ningún conflicto de intereses.


