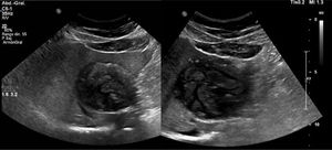
Presentamos el caso de una paciente de 37 años sin comorbilidades, refería convivencia con cerdos, perros y vacas. Inició un año previo a su padecimiento actual con dolor abdominal en epigastrio. Se le realizó un USG abdominal, con reporte de tumoración en lóbulo hepático izquierdo, por lo que fue referida a nuestro instituto. Como abordaje se realizó una TAC de hígado (fig. 1) encontrando una lesión quística compleja de 6.7×6.1cm que involucra segmentos 2, 3, contactaba segmento 4a, vena cava inferior y vena suprahepática media; asociado a zonas calcificadas y escasa grasa. Se complementó con ultrasonido hepático (fig. 2) y RMN contrastada (fig. 3) reportando lesión compatible con quiste hidatídico, etapa CE4 de la clasificación de la OMS. Se solicitó serología para hidatidosis la cual fue negativa. La paciente se consideró candidata a hepatectomía lateral izquierda laparoscópica. Durante la cirugía se encontró quiste firmemente adherido a la vena cava inferior (fig. 4), en contacto estrecho con vena suprahepática media (fig. 5), sin involucro de la vía biliar. El resultado de la patología confirmó el diagnóstico de quiste hidatídico. Tuvo buena evolución posquirúrgica, egresando a los 3 días, completó 6 semanas de tratamiento postoperatorio con albendazol y seguimiento durante 6 meses.
Responsabilidades éticasLos autores declaran que la paciente firmó el consentimiento informado para la publicación del presente texto, lo cual está en conformidad con las políticas y normas de nuestro comité institucional de ética. En el presente artículo no se presenta información personal de identificación del paciente. No se realizaron experimentos en animales y/o humanos.
FinanciaciónNo se recibió patrocinio de ningún tipo para llevar a cabo este artículo.
Conflicto de interesesLos autores declaran no tener ningún conflicto de intereses.







