Introducción
Las lesiones complejas de la vía biliar, definidas como aquellas que afectan una gran superficie circunferencial de la vía biliar y requieren una anastomosis bilioentérica como tratamiento, a menudo se acompañan de lesiones vasculares. Se ha demostrado que entre más alta sea la lesión, mayor es la posibilidad de que se afecte una rama de la arteria hepática, en especial la derecha.1 El patrón y tipo de las lesiones ocasionadas durante la colecistectomía laparoscópica han permanecido constantes durante los últimos 20 años.2 La reconstrucción del tracto biliar se ha perfeccionado y ahora la mayoría de los grupos recomienda la hepatoyeyunoanastomosis en Y de Roux (HAY-YR) después de clasificar de manera adecuada la lesión.3,4 Esta operación ofrece buenos resultados, con mejor calidad de vida y rehabilitación completa en más de 90% de los pacientes cuando se realiza en centros hospitalarios especializados.5 La hepatectomía concomitante (sectorial) se practica en raras ocasiones en este tipo de pacientes y está indicada en aquéllos con una lesión catastrófica, con lesión portal mayor o arterial, o ambas. La posibilidad de efectuar una hepatectomía contra la opción de ligar los conductos se presenta en casos en los que los conductos segmentarios son demasiado pequeños y en los que la probabilidad de fracaso de la anastomosis es alta. La mayoría de las series de reconstrucción de vías biliares publicadas no menciona la probabilidad de hepatectomía relacionada con lesión de vías biliares; se informan casos aislados, algunos después de trasplante hepático, por problemas asociados con lesiones biliares isquémicas, lesión arterial no detectada, revascularización vascular incompleta o lesión preservada, o ambas.6-9
El objetivo del presente trabajo es informar la experiencia con este subgrupo de pacientes.
Pacientes y métodos
Trescientos cincuenta y cinco individuos con lesiones de vía biliar recibieron tratamiento en la institución de los autores en un periodo de 15 años (1990-2005). Se excluyó del análisis a los que presentaban fugas vesiculares o del conducto cístico mínimas. Los pacientes referidos a esa institución con lesión biliar sospechada o confirmada fueron evaluados de acuerdo con su condición general y tiempo evolutivo de la lesión. Quienes tenían sepsis secundaria a colangitis o colecciones intraabdominales, o ambas, así como aquellos que presentaban fístulas intestinales y desequilibrio hidroelectrolítico se manejaron en forma conservadora con la finalidad de mejorar sus condiciones generales. Se practicó drenaje percutáneo tanto de los conductos como de las colecciones intraabdominales cuando se consideró necesario. Se realizaron algunas laparotomías, sobre todo para drenar colecciones en los pacientes en los que la vía percutánea no fue posible.
Protocolo de estudio
Tras su estabilización, los pacientes se sometieron a exámenes de rutina, se delimitó la anatomía del árbol biliar y se clasificó el tipo de lesión. Los estables que fueron referidos tras varias semanas o meses de la lesión también se sometieron al protocolo. Quienes se encontraban estables y presentaban dilatación de los conductos intrahepáticos y extrahepáticos podían someterse al procedimiento quirúrgico sin estudios ulteriores.
Se efectuó colangiografía endoscópica (CE) en casi todos los individuos referidos después de varios días de la lesión. En pacientes con lesiones de conductos pequeños en quienes se demostró continuidad con el sistema biliar, se colocó una endoprótesis por vía endoscópica. La interrupción completa de la vía biliar y las fugas mayores se manejaron por medios quirúrgicos. En estos casos se intentó delimitar la anatomía del sistema biliar intrahepático por medio de colangiorresonancia magnética. Algunos casos requirieron colangiografía percutánea transhepática para identificar la anatomía y establecer un drenaje del árbol biliar al mismo tiempo. El grupo de los autores no coloca drenajes percutáneos en forma rutinaria en todos los casos.
La operación se practicó cuando el paciente se encontraba estable, sin sepsis y después de delimitar la anatomía del sistema biliar y catalogar la lesión con base en la clasificación de Strasberg. La intervención quirúrgica se programó para reparación temprana o tardía de acuerdo con el estado individual de cada paciente. También se sometieron a reparación tardía los pacientes en quienes se demostró una fístula intestinal y aquellos que presentaban defectos de la pared abdominal. No se practicó angiografía sistemática con la finalidad de documentar lesión arterial. Cuando el paciente ingresó con drenajes subhepáticos, se realizó fistulografía para demostrar fístulas intestinales y evaluar el llenado del árbol biliar. La resonancia magnética nuclear permitió identificar la mayor parte de los componentes de dicho árbol.
Técnica quirúrgica para reconstrucción de la vía biliar
La disección del asa yeyunal se efectúa una vez que todas las adherencias del cuadrante superior derecho se liberan, si se realizó en un intento de reparación previa. Para la correcta disección de la placa hiliar es necesario evitar la interrupción de las ramas arteriales tanto como sea posible. No se hace ningún esfuerzo para disecar por completo la vasculatura arterial del hígado.
La placa hiliar se secciona y el hilio se retrae en dirección caudal. Cuando se observa la fuga, se pasan con sumo cuidado dilatadores biliares y se lleva a cabo la disección para identificar los conductos principales. Si se encuentran ambos conductos y la confluencia está preservada, se pasa el dilatador para identificar los conductos derechos anterior y posterior; también se explora el conducto izquierdo. Se corta la cara anterior del conducto biliar común y se extiende la disección en dirección al conducto biliar izquierdo. El sangrado de pequeñas arterias se controla con puntos separados de monofilamento absorbible 5-0. La abertura de la cara anterior de la vía permite visualizar la confluencia de los conductos (carina) y, una vez más, se exploran. Se continúa la sección longitudinal anterior hacia el conducto izquierdo, el cual se abre con tanta amplitud como sea posible. Si la confluencia es baja, no se efectúa ninguna maniobra ulterior para realizar una anastomosis de alta calidad.
La disección de los conductos no se logra con facilidad cuando la bifurcación está perdida, con los conductos izquierdo y derecho aislados, y/o la confluencia está preservada pero se encuentra muy alta y en la profundidad del hígado. En algunas circunstancias se hallan conductos adecuados sólo después de resecar parcialmente la base del segmento IV. La resección hepática de la base del segmento IV se realiza cuando el hígado se encuentra sobre los conductos, lo que permite una adecuada exposición del conducto izquierdo. Si la confluencia no está preservada en el mismo plano coronal, la disección se dirige hacia el lecho vesicular para exponer el conducto derecho. La resección del parénquima hepático de los segmentos IV y V permite identificar el conducto derecho, según lo describió Strasberg.10,11
Es posible que la resección hepática a este nivel produzca sangrado venoso, el cual puede controlarse con facilidad mediante compresión temporal, electrocoagulación, cauterio con argón o celulosa deshidratada. Para obtener la exposición completa de la confluencia biliar o el conducto hepático derecho e izquierdo aislados puede resecarse el parénquima hepático. Aun cuando se obtiene una adecuada exposición, el parénquima hepático debe resecarse para permitir la ubicación correcta del asa yeyunal, con objeto de que la liberación de los retractores no cause compresión externa sobre el yeyuno. Aunque en algunos casos puede ser difícil encontrar el conducto derecho, la vía de acceso anterior de Strasberg es muy útil para este fin. Si se fracasa en encontrarlo, puede considerarse la resección de los segmentos hepáticos IV y V.12
El hallazgo de conductos sanos permite completar la anastomosis, la cual es amplia y libre de tensión; esto se logra con puntos evertidos de monofilamento absorbible 5-0. Si se encuentran conductos aislados y la distancia entre ellos es apropiada (menos de 1 cm), puede construirse una nueva confluencia mediante la colocación de puntos evertidos y la anastomosis de los bordes medial y lateral de los conductos derecho e izquierdo; la anastomosis bilioentérica se realiza en toda la circunferencia de la nueva confluencia. Si la distancia entre ambos conductos es mayor de 1 cm, se efectúan dos anastomosis por separado. Frente a esta situación, en ocasiones se coloca una férula transanastomótica temporal en el lado derecho.
Las férulas no se utilizan de manera sistemática, sino sólo en caso de que los calibres sean mínimos (menores de 4 mm) o los conductos no se encuentren sanos,13 circunstancias en la que se usa una férula transanastomótica. Puesto que la anastomosis mucomucosa es difícil de lograr, la tendencia se dirige a realizar una portoenterostomía sobre la prótesis para permitir el drenaje de bilis hacia la luz intestinal.14
Se revisaron los datos de los pacientes a los que se sometió a hepatectomía, la cual se consideró en los casos en que los conductos ipsolaterales se encontraron inadecuados pero derivados y cuya obstrucción produciría colangitis segmentaria. La hepatectomía se llevó a cabo con ligadura selectiva de arteria hepática y vena porta ipsolateral, transección del parénquima y ligadura de la vena suprahepática. La anastomosis hepatoyeyunal se practicó con la técnica descrita en el conducto remanente.
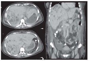
En todos los casos y después de una evaluación radiológica cuidadosa (Figuras 1 y 2), se determinó la necesidad de resección hepática de acuerdo con los siguientes criterios: a) presencia de colangitis refractaria a tratamiento médico con dilatación ductal segmentaria y/o abscesos colangíticos, b) falla en la resolución mediante manejo radiológico, c) falla transoperatoria para obtener un conducto adecuado para construir la anastomosis.
Figura 1. Tomografía computarizada de un paciente con lesión de vía biliar y arteria hepática derecha en la que se evidencian múltiples abscesos colangíticos en el lóbulo derecho del hígado.
Figura 2. Colangiografía percutánea que demuestra dilatación de la vía biliar y abscesos colangíticos.
Resultados
Diez de 355 pacientes en los que se efectuó reconstrucción de la vía biliar se sometieron a hepatectomía segmentaria mayor; se realizaron ocho hepatectomías derechas y dos izquierdas. En todos los casos, antes de retirar el lóbulo afectado se deshizo la anastomosis y se exploraron los conductos principales. La decisión de proceder a una hepatectomía mayor se tomó antes de la intervención quirúrgica con base en la afección lobular hepática unilateral asociada con colangitis y abscesos hepáticos refractarios a tratamiento médico o radiológico, o ambos. Sólo murió un paciente con cirrosis hepática, en quien se intentó revisar la anastomosis, con la decisión intraoperatoria de resecar el lóbulo hepático basada en el hallazgo de un conducto izquierdo con calibre muy reducido, paredes muy delgadas y relacionado con colangitis. El paciente falleció a causa de insuficiencia hepática y multiorgánica 30 días después de la intervención. Los nueve casos restantes, sin cirrosis, tuvieron una resolución sin complicaciones o colangitis.
El seguimiento promedio fue de 49 meses. En las Tablas 1, 2 y 3 se desglosan aspectos específicos de cada paciente, como tiempo quirúrgico, estancia intrahospitalaria, resultado de las biopsias transoperatorias, complicaciones posquirúrgicas, presencia de abscesos o atrofia y estado actual. En todos los casos se utilizaron drenajes posquirúrgicos y no se produjeron complicaciones intraoperatorias.
Discusión
Las lesiones complejas de la vía biliar a menudo se relacionan con lesiones vasculares de los conductos biliares. No sólo se documentan lesiones vasculares mayores en el área de la arteria hepática derecha, de las que se registra un incremento en su incidencia y se relacionan con la altura de la lesión, sino también lesiones isquémicas secundarias a desvascularización del conducto.
Las lesiones vasculares de la microcirculación pueden observarse en la mayoría de los pacientes con grandes pérdidas de la extensión del conducto. Ambos tipos de lesiones pueden producir estenosis intrahepática.
La tasa de falla posreconstrucción es amplia y los criterios de definición pueden variar de un centro de referencia a otro. Los buenos resultados a largo plazo en condiciones ideales se definen como ausencia de síntomas acompañada de pruebas de funcionamiento hepático sin alteraciones y ausencia de colangitis. Lillemoe propuso un sistema de evaluación para definir la resolución: buena, alivio de la obstrucción y episodios de colangitis; mala, lo contrario.15
Algunos pacientes desarrollan colangitis durante el posoperatorio; éstos deben valorarse con cuidado y someterse a estudios de imagen y laboratorio completos. Puede observarse colangitis en casos de obstrucción segmentaria, sectorial o total. En las dos primeras situaciones, los pacientes tienen concentraciones normales de bilirrubina, pero incremento de los valores de transaminasas y/o fosfatasa alcalina; en estos casos, la anastomosis tiene un estado funcional adecuado. En la tercera posibilidad se presenta ictericia.
En la actualidad, la colangiorresonancia es el método de elección para evaluar el árbol biliar y el estado de la anastomosis. Ante la duda, está indicada la colangiografía percutánea.16 En algunas circunstancias, el ultrasonido demuestra dilatación segmentaria de un conducto sectorial. Es necesario que un radiólogo intervencionista realice una evaluación en el contexto de un grupo multidisciplinario con la finalidad de determinar si es posible dilatar la anastomosis y/o un conducto estenosado.17 La tomografía computarizada o la colangiorresonancia suelen ofrecer una evaluación adecuada del estado del árbol biliar que permite tomar una decisión multidisciplinaria. También es importante valorar el estado y la magnitud del parénquima comprometido. Por lo general, los episodios repetidos de colangitis promueven el desarrollo de atrofia e involución (debido a cirrosis biliar secundaria) del parénquima obstruido. En algunos casos de colangitis leve, es factible esperar que el segmento se "consuma".
Cuando los episodios de colangitis son frecuentes y graves, el radiólogo es incapaz de lograr el drenaje completo del segmento hepático afectado; en estos pacientes está indicada la hepatectomía.
La indicación de hepatectomía es cuestionable cuando se trata de un conducto sectorial pequeño (<2 mm), en el que la probabilidad de falla de la anastomosis es alta. Algunos cirujanos proponen la ligadura del conducto y otros su anastomosis aislada con una férula transanastomótica.
El tratamiento de las lesiones en el conducto posterior derecho (clasificación B y C de Strasberg) es difícil. Esta lesión es consecuencia de la confluencia extrahepática de los conductos anterior y posterior o de la desembocadura del conducto cístico al conducto posterior derecho.
En esta circunstancia, el cirujano fracasa en identificar el conducto y confunde el conducto cístico. El cístico es corto y se realiza la disección equívoca de un falso triángulo de Calot, conformado por el conducto hepático común, el conducto derecho anterior y el conducto posterior derecho confundido con el conducto cístico. La colangiografía transoperatoria demuestra los conductos izquierdo y derecho anterior, y lleva al cirujano a la falsa conclusión de que preservó los conductos izquierdo y derecho. Tanto radiólogos como cirujanos experimentados pueden identificar el defecto de llenado como el conducto posterior derecho.
Tras la identificación del conducto derecho, pueden presentarse diversos escenarios:
Ligar el conducto, lo que produce dolor posoperatorio e incrementa los valores de las transaminasas y de la fosfatasa alcalina con bilirrubinas normales. La cirrosis biliar secundaria con atrofia subsecuente del sector hepático ocurre semanas más tarde acompañada de hipertrofia compensadora del parénquima restante.
Ligadura con fistulización subsecuente, lo que conlleva incremento de la presión endoluminal del conducto con isquemia del mismo en el sitio donde se coloca el clip o sutura y se fuga biliar secundaria. Entonces se forma un biloma, que puede ocasionar una fístula externa después del drenado. En algunos casos la fístula se seca, lo cual coloca al paciente en el escenario A.
No identificar la lesión, con la consecuente formación de biloma, drenaje y fistulización externa. Si el cirujano deja un drenaje durante la operación, la fístula biliar se detecta algunas horas después; por lo general la fístula tiene un gasto medio menor de 300 ml. La fistulografía demuestra llenado del conducto anterior derecho. En esta situación, el paciente pasa al escenario B.
Identificación transoperatoria de la lesión, lo que obliga al cirujano a decidir entre ligarlo o realizar una anastomosis bilioentérica. La anastomosis bilioentérica es difícil porque, aun cuando no hay reacción inflamatoria, el conducto es pequeño y con paredes muy delgadas. Bajo esta circunstancia, puede colocarse una férula, con el riesgo de fracaso subsecuente al retirarla. En este tipo de lesión se considera la hepatectomía, que por lo regular es pequeña, bien tolerada y tiene una baja morbilidad asociada. Para una lesión de Strasberg E debe considerarse una hepatectomía parcial concomitante a la anastomosis bilioentérica.
Algunos pacientes experimentan dolor posoperatorio (que se trata con analgésicos convencionales) y otros desarrollan colangitis de gravedad variable si la bilis está colonizada. Resulta difícil predecir a qué escenario se enfrentará el cirujano.
Aunque la anastomosis en conductos pequeños tiene un alto índice de fracaso, algunos grupos experimentados informan éxitos; en estos casos la hepatectomía es bien tolerada y se observan buenos resultados a largo plazo. La hepatectomía está indicada cuando la lesión a la arteria hepática derecha produce estenosis segmentaria de los conductos intrahepáticos, con abscesos y colangitis subsecuentes. Este tipo de colangitis con abscesos hepáticos secundarios es refractaria al tratamiento médico, a la colocación de férulas percutáneas o drenaje y a una anastomosis bilioentérica adecuada.
Conclusión
La hepatectomía debe considerarse en las situaciones en las que un conducto sectorial (Strasberg B, C y E) no puede anastomosarse al yeyuno. Sólo 3% de los pacientes en los que la reconstrucción es planeada necesita una hepatectomía. Es importante subrayar que si el individuo padece una hepatopatía crónica de largo plazo, relacionada o no con obstrucción biliar y sobrepuesta o concomitante a otras alteraciones (esteatohepatitis de largo plazo, infección viral, abuso de alcohol, etc.), y complicada con hipertensión portal, es mejor realizar trasplante hepático, aunque sólo una pequeña minoría de pacientes con reconstrucción de la vía biliar necesita un trasplante de esta naturaleza.
Correspondencia: Miguel Ángel Mercado.
Departamento de Cirugía, Instituto Nacional de Ciencias Médicas y Nutrición Salvador Zubirán. Vasco de
Quiroga 15, Tlalpan, C.P. 14000. México, D. F.
Teléfono: (55) 5573-9321, fax: (55) 5573-9321.
Correo electrónico: mercadiazma@yahoo.com







