La intususcepción intestinal (II) se define como aquella que se presenta cuando el asa intestinal proximal se introduce sobre la distal, obliterando la luz de este. Es una de las principales causas de obstrucción intestinal en niños, pero es poco común en adultos1. Solo el 5% de los adultos con esto se presentan como II2. Una diferencia importante entre niños y adultos es la causa identificable de la misma, siendo la mayoría de los casos en niños idiopáticos y hasta el 90% identificándose la etiología en adultos. En adultos se ha reportado incidencia de dos casos / 100,000 habitantes3, afecta principalmente el intestino delgado y el colon hasta 90%, pocas veces involucra el estómago4.
Presentamos el caso de una paciente de 53 años, quien cuenta con antecedente de carcinoma papilar de tiroides (2019), tratado quirúrgicamente, recibió radioterapia con 100Gy de yodo posteriormente presentó hipotiroidismo secundario, actualmente con suplementación. Negó consumo de alcohol significativo o tabaquismo. Su historia familiar no fue relevante.
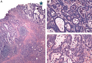
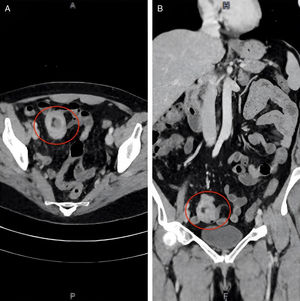
A su llegada al servicio de urgencias se encontró estable, signos vitales dentro de parámetros normales, refirió cuadro clínico caracterizado por dolor abdominal en fosa iliaca derecha, sin irradiaciones, intensidad moderada, náusea, vómito de contenido gástrico y hematoquecia. Recibió tratamiento sintomático, sin mejoría clínica. A la exploración física se encontró abdomen sin alteraciones. En sus estudios de laboratorio destacaba anemia microcítica hipocrómica, resto dentro de parámetros normales. Se realizó tomografía de abdomen con contraste intravenoso con reporte de oclusión intestinal con imagen de intususcepción a nivel de íleon terminal y un pólipo en su interior (fig. 1A [corte axial] y 1B [corte coronal]). Como parte del abordaje, se realizó enteroscopia retrógrada con monobalón que reportó: lesión exofítica que abarcó más del 80% del lumen, cubierta de fibrina, con pérdida del patrón mucoso y vascular, indurada y friable (fig. 2A y 2B); se realizó toma de biopsias y se marcó la zona adyacente con tinta china, el reporte histopatológico se recibió posteriormente, siendo compatible con adenocarcinoma primario de íleon (fig. 3A, [asterisco], 3B y 3C); se realizaron estudios de extensión documentándose captación solo a este nivel. Como parte del tratamiento se realizó abordaje laparoscópico con resección intestinal guiada y marcada previamente con tinta china, posteriormente anastomosis laterolateral mecánica extracorpórea, reportando tumoración de 2x2cm sin invasión a estructuras adyacentes con márgenes libres de malignidad. La paciente fue valorada por oncología y posteriormente dada de alta sin eventualidades. Actualmente se encuentra asintomática y con buena evolución, el seguimiento será por oncología.
Patología: Adenocarcinoma moderadamente diferenciado de intestino delgado. 3A) Panorámica donde se identifica mucosa intestinal con inflamación (izquierda) y la transición a adenocarcinoma (derecha / asterisco). Hematoxilina y Eosina x200. 3B) y 3C) Glándulas neoplásicas de adenocarcinoma, con alteración en la arquitectura y atipia citológica e inflamación aguda y crónica acentuada. Hematoxilina y Eosina x400.
La incidencia del adenocarcinoma de intestino delgado es de 30-40% de las neoplasias primarias de intestino delgado, cuenta con mal pronóstico comparado con otros subtipos de neoplasias con una supervivencia del 10% para estadio IV, aproximadamente 50% son en duodeno, 30% en yeyuno y 15% en íleon; usualmente se asocia con edad avanzada, enfermedad inflamatoria intestinal (EII) y enfermedad celiaca, así como síndromes hereditarios como el síndrome de Peutz-Jeghers, poliposis adenomatosa familiar o síndrome Lynch5. En íleon, se ha reportado incidencia desde el 7 hasta 17% de todas las tumoraciones, las cuales representan el 0.06% de los casos nuevos de cáncer en EE. UU. y la mayoría se encuentran con metástasis. Tienen un pronóstico malo, si es enfermedad localizada la supervivencia a cinco años es del 30 al 79% y si es metastásico del 3 al 19%6. La presentación clínica es muy inespecífica, desde náusea (16%), dolor abdominal (43%) hasta sangrado de tubo digestivo (7%). Dado que los síntomas son vagos el diagnóstico usualmente se retrasa y el diagnóstico puede demorar hasta ocho meses después de iniciado el abordaje. El diagnóstico generalmente es con estudios de imagen (tomografía contrastada, resonancia magnética) y se complemente con estudios endoscópicos para la toma de biopsias o cirugía. El tratamiento debe ser multidisciplinario, la consulta con oncología debe realizarse, pero el pilar del tratamiento en enfermedad localizada es el quirúrgico 7; como podemos notar en el caso, encontramos una tumoración en etapa clínica temprana, se realizó abordaje diagnóstico con endoscopía y diagnóstico/ terapéutico por medio de cirugía de mínima invasión siendo probablemente curativo y mejorando el pronóstico de la paciente ya que al ser enfermedad localizada, la supervivencia es de casi 80%.
FinanciamientoNo fue necesario usar algún tipo de plan de financiamiento debido a que solo se usaron recursos que proporciona el hospital como lo es el expediente clínico.
Consideraciones éticasSe solicitó consentimiento informado de participar en la investigación escrita, todo individuo que ingresa como paciente firma un aviso de privacidad en el cual autoriza el uso de sus datos personales para investigación, al igual el consentimiento al realizar la cirugía incluye el apartado de usar datos para investigación. El trabajo cumple con la normativa vigente en investigación bioética y por normativa del Comité de Ética e Investigación para Estudios en Humanos (CEIEH) del Hospital Médica Sur, el trabajo al ser reporte de caso, no se debe someter. Los autores declaran que este artículo no contiene información personal que permita identificar a los pacientes.
Conflicto de interesesNo se cuenta con ninguna relación financiera o personal que pudiera llevar a cabo algún conflicto de intereses con relación al artículo que se remite para publicación.





