La intususcepción de intestino delgado secundaria a gastrostomía es una complicación rara. La colocación de sonda en una gastrostomía endoscópica percutánea (GEP) es un procedimiento muy seguro y con una tasa de mortalidad notablemente baja: de 0 a 2%1. La incidencia de intususcepción en adultos es generalmente menor al 5%, pero es bastante más común en pacientes pediátricos2. Las causas principales son secundarias a enfermedades orgánicas, como tumores gastrointestinales malignos o benignos, divertículos de Meckel, lipomas, pólipos y gastrostomías con colocación de extensión yeyunal, en particular en la población pediátrica2-4. La mayoría de los casos se resuelven quirúrgicamente, pero en escenarios específicos se puede realizar una endoscopia cuando no existe evidencia de isquemia intestinal4-9. Presentamos aquí el reporte de un caso de intususcepción yeyunoyeyunal causada por la migración de una sonda temporal de gastrostomía.
Se trata de un paciente masculino de 60 años con historia de diabetes mellitus tipo 2 y hospitalización previa debida a absceso profundo en cuello, complicado con mediastinitis. Durante su hospitalización requirió la colocación de una sonda de alimentación GEP por un trastorno de deglución secundario a ventilación prolongada. Siete semanas después de la colocación de la sonda, el paciente acudió a urgencias, debido al desprendimiento accidental de la misma. Se introdujo un catéter Foley provisional en lugar de la sonda GEP para mantener la fístula de gastrostomía permeable y egresó de forma ambulatoria. El paciente perdió seguimiento después del procedimiento mencionado. Regresó a urgencias 2 meses más tarde, con un cuadro de abdomen agudo, náuseas, vómitos e intolerancia a la nutrición enteral.
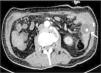
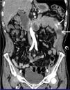
En la exploración física, el catéter Foley provisional estaba migrado distalmente, y la movilización, rotación e intentos de retiro de la sonda, exacerbaban el dolor abdominal. En la tomografía computarizada (TC) se observó el catéter Foley migrado en yeyuno proximal, con datos tempranos de isquemia intestinal (figs. 1 y 2). Se realizó cirugía de urgencia encontrando una intususcepción a 50 centímetros del ángulo de Treitz, secundaria a la migración del catéter Foley.
Los datos macroscópicos de isquemia intestinal observados durante la laparotomía, se resolvieron inmediatamente después del retiro del catéter y liberación manual de la intususcepción intestinal. Por este motivo, se optó por no resecar el segmento de intestino involucrado (fig. 3). Posteriormente, se le realizó al paciente una endoscopia, durante la cual se observaron 2 úlceras en la segunda porción del duodeno, posiblemente relacionadas con la migración del catéter. Se colocó una sonda GEP 24Fr mediante técnica de arrastre (PULL) (fig. 4). Se inició terapia estándar con inhibidor de la bomba de protones para cicatrización de las úlceras. En su visita de seguimiento más reciente, 7 meses tras la recolocación GEP, el paciente presentó falla en la prueba de deglución de líquidos, por lo que requirió una combinación de dieta oral y alimentación por sonda GEP. El paciente, al momento de la redacción del presente reporte, continuaba con ejercicios de rehabilitación de la deglución y fisioterapia.
La intususcepción yeyunal secundaria a la migración pospilorica del catéter de gastrostomía es una complicación rara relacionada con el uso de sondas de gastrostomía que carecen de un punto de fijación externo en pacientes con peristalsis normal, lo cual favorece la migración distal del catéter4-9. Se ha formulado la hipótesis de que el intento de retirar la sonda mientras el globo está inflado podría ser un factor contribuyente al desarrollo de la intususcepción7. Los clásicos signos de «diana», «dona» y «forma de salchicha» observados en TC son útiles para diagnosticar esta complicación3,4. De igual manera, los signos de migración distal de sonda de gastrostomía, incluida la incapacidad de retirar la sonda, pueden estar asociados con dolor abdominal y síntomas de obstrucción al tracto de salida gástrica. La ictericia obstructiva transitoria puede presentarse cuando el catéter migra a la segunda parte del duodeno8.
Hasta donde sabemos, solo existen 8 casos publicados de intususcepción yeyunal secundaria a catéteres Foley utilizados como gastrostomías y temporales en adultos. La mayoría de los casos fueron intususcepciones yeyunoduodenales y yeyunoduodenogástricas, casi todos tratados quirúrgicamente, como sucedió con nuestro paciente, con excepción de 2 casos, que fueron resueltos solo con desinflar el globo de sonda5-9. El presente reporte es un caso de intususcepción yeyunoyeyunal secundaria a gastrostomía provisional. Se debe considerar la intususcepción en pacientes con este tipo de sonda que presentan vómitos, náuseas o dolor abdominal, especialmente cuando hay cambios en el lugar de fijación de la sonda de alimentación5-9. El diagnóstico y manejo temprano de la intususcepción puede evitar la isquemia y la perforación.
Las sondas temporales de gastrostomía, como los catéteres Foley, han sido utilizadas para alimentación enteral en países en vías de desarrollo. Sin embargo, dado que este tipo de sondas no están diseñadas específicamente para este propósito, esta práctica puede condicionar mayor riesgo de complicaciones, como la migración. Por lo tanto, es crucial llevar un monitoreo cuidadoso cuando se utilizan estas sondas, que deben ser remplazadas cuanto antes por sondas de gastrostomía con fijación externa para incrementar la seguridad y funcionamiento adecuado10.
FinanciaciónLa presente investigación no ha recibido apoyo específico de ninguna agencia del sector público, privado ni de organizaciones sin fines de lucro.
Consideraciones éticasDebido a la naturaleza del presente estudio como reporte de caso clínico, no se sometió a revisión del Comité de Ética de la institución.
Los autores declaran que han seguido los protocolos de confidencialidad de la institución para reportar el presente caso clínico. También han asegurado el anonimato del paciente omitiendo los datos de identificación, incluidas imágenes y cualquier información demográfica que pudiera revelar su identidad.
No se requirió el consentimiento informado del paciente, ya que no se incluyó en el artículo ningún tipo de información personal del paciente que permitiera identificarlo.
Conflicto de interesesLos autores declaran no tener conflicto de intereses.






