¿ Introducción
La enfermedad diverticular duodenal es una entidad común,1-5 que frecuentemente pasa inadvertida debido su ubicación retroperitoneal, pero que por sí misma puede ser el origen de síntomas y complicaciones como diverticulitis, obstrucción o perforación e incluso con riesgo a generar condiciones graves pancreatobiliares, como ictericia obstructiva, colangitis y coledolitiasis.6-11 Se ha descrito que estas lesiones pueden mimetizar neoplasias pancreáticas12 o causar pancreatitis como consecuencia de un aumento de la presión en un divertículo inflamado e infecciones bacterianas ascendentes por estasis de partículas de alimento y crecimiento bacteriano.13 Menos de 10% de los divertículos son sintomáticos y aproximadamente menos de 1%, requerirán tratamiento quirúrgico.
Los divertículos duodenales (Dd) son lesiones formadas por una saculación de mucosa y submucosa herniadas a través de un defecto muscular, que se rellenan y se vacían por efecto de la gravedad como resultado de las presiones generadas durante el peristaltismo duodenal. En el tubo digestivo, el duodeno es el segundo segmento más frecuentemente afectado. Estas lesiones generalmente se observan entre los 50 y 65 años, son más raros antes de los 30 años, pero pueden estar presentes en todas las edades y afectar a ambos géneros, con discreto predominio en las mujeres.13
Los Dd se observan en 10% a 20% de las duodenoscopias realizadas. Generalmente se localiza en la cara medial del duodeno cerca de la papila, pueden ser de diferentes formas y tamaños y pueden ser múltiples en la quinta parte de los casos.13
Los hallazgos radiológicos en los Dd son similares, independientemente del estudio de imagen que se obtenga y se caracterizan por ser de morfología sacular, de paredes delgadas, sin la presencia de válvulas conniventes y con una base estrecha en su mayoría.
El objetivo de este trabajo fue conocer la prevalencia de Dd detectados por tomografía computarizada abdominal (TC) y determinar si las lesiones se asociaban a síntomas o complicaciones o eran sólo hallazgos incidentales.
¿ Material y métodos
Se realizó un estudio prospectivo, transversal, observacional y descriptivo en el que fueron considerados para participar todos los pacientes enviados en forma consecutiva al Departamento de Imagenología en un periodo de tres años (de junio 2006 a junio 2009) para la realización de TC, sin importar el motivo de la solicitud por el médico tratante.
Se incluyó a todos aquellos casos en los que se identificó algún Dd. Todos los estudios tomográficos fueron realizados siguiendo el protocolo establecido en nuestra institución. Esto implica ayuno de seis horas o más, el uso de contraste oral -agua o medio de contraste hidrosoluble yodado- la colocación de un catéter periférico de 18 a 20 G en la vena antecubital o en venas del antebrazo, con infusión de 100 a 120 mL de contraste no iónico a través de un inyector a razón de 3 mL a 3.5 mL por segundo, realizando cortes cada 2 mm, con colimación de 1.5, 110 Kv, 80 mAs. En el posproceso e interpretación de las imágenes de TC, se utilizaron técnicas como la reconstrucción multiplanar (RMP), proyecciones de máxima intensidad (MIP) y técnica de reconstrucción volumétrica (VRT) en la estación de trabajo del equipo de tomografía computarizada de multidetector.Se excluyeron todos los pacientes enviados para tomografía de otras regiones; aquellos en los que no se detectaron Dd y a los alérgicos a yodo. Se eliminaron a todos los enfermos en quienes no se pudo llevar a cabo el protocolo de preparación para el estudio tomográfico.
Se recabaron los siguientes datos de todos los pacientes en quienes se detectaron Dd: edad, género, motivo de la solicitud del estudio de imagen, síntomas, número y ubicación de los divertículos, dimensiones, si presentó nivel hidroaéreo o no, si fue cambiante durante el estudio y si condiciono efecto de pseudolesión focal en cabeza pancreática, etc. Todos los datos de capturaron y se realizó su análisis estadístico descriptivo.
¿ Resultados
Durante el periodo de estudio se realizó un total de 12 704 estudios de imagen de TC abdóminopélvica multifásica. Se identificaron 50 pacientes con enfermedad diverticular duodenal (Dd), lo que se deriva a una prevalencia de 0.46% (Figura 1). De estos 50 casos estudiados, hubo 30 mujeres (60%) y 20 hombres (40%), con edad promedio de 69 años (rango: 23 a 93 años). Diez de los pacientes (20%) fueron menores de 60 años y 40 (80%) tuvieron 60 años o más.
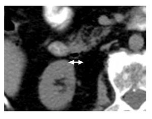
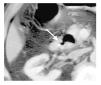
¿ Figura 1. Imagen tomográfica de un Dd de base estrecha.
La presencia del Dd fue catalogada como un hallazgo incidental en 47 de los casos (94%). Ninguno de los pacientes con Dd fue enviado para la realización de estudios de imagen por la sospecha clínica de su presencia. Sólo en tres casos (6%) se consideró que las manifestaciones clínicas del enfermo podrían deberse a la presencia de estas lesiones: un caso (2%) de síndrome doloroso abdominal y obstrucción biliar, un caso de sangrado del tubo digestivo (2%) y un caso de síndrome ulceroso (2%).
En 43 casos (86%) se evidenció Dd único: un caso (2%) en la primera porción, 13 (26%) en la segunda, 24 (48%) en la tercera y cuatro (8%) en la cuarta porción duodenal En ocho pacientes (16%) se identificaron Dd múltiples: siete casos (14%) en la segunda y tercera porciones y un caso con Dd concomitantes con divertículos yeyunales En 16 pacientes (27%) se encontraron divertículos colónicos concomitantes. El diámetro promedio de los Dd fue de 2.5 cm (rango 0.9 cm a 7.1 cm) (Figuras 2 y 3).
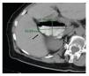
¿ Figura 2. Imagen tomográfica de un Dd de 0.9 cm de diámetro.
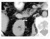
¿ Figura 3. Imagen tomográfica de un Dd de 5.9 cm por 3.9 cm de diámetro.
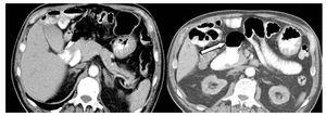
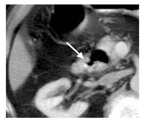
En siete casos (14%) el Dd causaba un efecto de masa sobre estructuras adyacentes (rango de diámetro de 2.1 a 7.1 cm). Además, el Dd fue condicionante de pseudolesión focal en la cabeza pancreática en 14 casos (28%). Se identificaron tres casos (6%) de Dd yuxtapapilar, uno de ellos que se complicó con sangrado del tubo digestivo y fue el de mayores de dimensiones (7.1 cm por 4.4 cm). No se identificaron Dd asociados a coledocolitiasis (Figura 4).
¿ Figura 4. Imágenes axiales, fase con contraste oral, en una mujer de 75 años con hallazgo incidental de gran Dd único, complicado con sangrado digestivo alto, yuxtapapilar, de 7 cm, ubicado en la segunda porción de duodeno (zona periampular).
¿ Discusión
Nuestro estudio demuestra que la prevalencia de Dd detectados mediante TC y SEGD en más de 12 mil estudios consecutivos es de 0.46% y la mayoría de estas lesiones son hallazgos incidentales. El Dd se observa en 1% a 2% de la población general.13 Los Dd se clasifican en congénitos y adquiridos; los primeros son raros y habitualmente se acompañan de otras malformaciones en tubo digestivo.3,5 Otra clasificación de los Dd los divide en dos tipos:8 a) intraluminales: raros y que resultan de la presencia de membranas congénitas; y, b) extraluminales: son los más comunes y carecen de musculatura propia.
La etiología de los Dd no está completamente explicada. Se sabe que la pared de estas evaginaciones está formada por mucosa y submucosa con escasas células musculares. Al igual que a nivel colónico, los Dd se produce en zonas potencialmente débiles de la pared intestinal donde existe una ausencia congénita de la capa muscular alrededor de los vasos sanguíneos que irrigan el duodeno o en la ventana duodenal donde penetran los conductos biliar y pancreático. Ambas circunstancias son más frecuentes en la cara medial de la segunda porción del duodeno. Por esta razón también son más frecuentes en la zona cercana al ámpula de Vater.13 El Dd es frecuentemente adquirido y pueden ser el resultado final de una motilidad duodenal anormal. Las características histológicas de éstos son similares al resto de los divertículos adquiridos por pulsión desarrollados a lo largo del intestino.13 Se ubican con mayor frecuencia a lo largo del borde medial del duodeno descendente, a nivel de la región ampular aunque también pueden verse en la tercera y cuarta porciones duodenales (30% a 40%) e incluso en el borde lateral del duodeno descendente.
La gran variedad de síntomas que se pueden dar y la diversidad de diagnósticos diferenciales hacen del Dd un interesante tópico de estudio. La sintomatología así como sus complicaciones están directamente relacionadas con la localización. En nuestro estudio, ninguno de los casos se estableció la sospecha clínica de su presencia y en 92% resulto ser un hallazgo incidental. La TC el método que permitió su identificación en 50 casos (85%). Si bien es cierto que en la actualidad la TC es utilizada para evaluar un sinnúmero de padecimientos, nuestro trabajo demuestra el que la Dd es detectada en forma incidental, independientemente de la sintomatología que motiva el estudio.
En la bibliografía4 se señala a la segunda porción como el sitio más común de localización de los Dd hasta 83% de los casos. En nuestro estudio encontramos 29% ubicados en la segunda porción y 44% en la tercera porción, lo que representa una diferencia sustancial. La TC permite precisar la localización anatómica y las relaciones que tiene el Dd con estructuras adyacentes.
Los divertículos extraluminales se presentan con una prevalencia que fluctúa entre 1% a 23% en series radiológicas y de autopsia.9 Se ha señalado una prevalencia del Dd en 4.5% como hallazgo de colangiopancreatografia retrograda endoscópica (CPRE). En algunas series se ha encontrado que 65.5% de los pacientes con Dd, se asoció a coledocolitiasis.10 Hagège,11 informó que los Dd se presentaron en 78% de los pacientes con litiasis coledociana. Kennedy12 refiere esta asociación en 53% de sus casos. En nuestro estudio no se identificaron Dd asociados a coledocolitiasis.
Se han descrito complicaciones, como la diverticulitis, la hemorragia, la perforación, la formación de abscesos y fístulas, la infección o la formación de litos. En ocasiones, la papila de Vater puede vaciar directamente en un Dd provocando dificultades en su canulación y la posibilidad de perforación durante la CPRE.13 La presencia de un divertículo periampular está relacionado con la patogénesis de cálculos primarios de la vía biliar debido a que existe estasis y colonización bacteriana de esta estructura y de la vía biliar, generalmente por Escherichia coli que produce beta-glucuronidasa que desdobla la bilirrubina conjugada combinándose con calcio para formar cálculos de color café.13
La hemorragia suele ser de pequeñas cantidades repetidas. Es más frecuente que se manifieste como melena que por hematemesis y se origina por ulceración de la mucosa diverticular. En esta serie tuvimos un paciente con sangrado de tubo digestivo alto, secundario a sangrado intradiverticular en un Dd yuxtapapilar.
Los Dd pueden alcanzar un gran tamaño y aparecer en las PSA como colecciones de gas. Los Dd están limitados en su crecimiento medial por el tejido pancreático, por lo que estos Dd "gigantes" tienden a crecer en sentido lateral. Un Dd "gigante" puede ser interpretado incorrectamente como un absceso, un ciego dilatado, un divertículo colónico o un pseudoquiste pancreático.14 Cuando son grandes pueden encontrarse en cada lado de la porción intramural del colédoco realzando esta estructura o incluyendo toda la papila en el interior del divertículo.
La prevalencia del divertículo duodenal aumenta con la edad y esto quedó confirmado en nuestro estudio en el que el 80% de los casos tenían más de 60 años de edad. De los 50 casos revisados, en 36 (72%), se demostraron cambios en las dimensiones y contenido de los Dd observándose una configuración cambiante en las diferentes fases, con tamaños "in crescendo" por el llenado o vaciamiento progresivo de su contenido y la peristalsis, mecanismo que debe tomarse en cuenta en la revisión sistemática de un estudio de imagen. Los restantes 14 casos (28%) en los que no se observó un cambio significativo, resultaron ser los de menor tamaño.
Concluimos que en nuestro estudio, los Dd se detectaron en 0.4% de los estudios de imagen TC y son un hallazgo incidental en la mayoría de los casos, se observaron con una mayor frecuencia en mujeres (78%), en edad avanzada (promedio 69 años) y la mayoría de las veces son únicos (78%). La mayoría de los Dd no se asociaron a síntomas o complicaciones y fueron hallazgos incidentales.
Correspondencia: Dr. Gaspar Alberto Motta Ramírez.
Mar de los Vapores No. 34 Ciudad Brisa C.P. 53280, Naucalpan, Estado de México. 5364 3041 y 5364 3010.
Correo electrónico: gamottar@yahoo.com.mx






