Los sarcomas de tejido blando son neoplasias mesenquimatosas poco comunes, con una incidencia menor a seis casos por cada 100,000 habitantes. Representan solo el 1–2% de los cánceres en adultos1. En algunos de ellos, coexisten componentes epiteliales y mesenquimatosos, por lo que se clasifican como carcinomas sarcomatoides2. Su localización habitual incluye cabeza, cuello y tracto reproductor femenino, también pueden presentarse en esófago y estómago; no obstante, su localización en el colon es excepcional3. La teoría metaplásica es la hipótesis de histogénesis más aceptada para estos tumores; propone que el componente sarcomatoide se origina a partir de la metaplasia del epitelio, lo cual explicaría la positividad de los marcadores de citoqueratinas en el componente mesenquimatoso4. El uso reciente de herramientas moleculares ha permitido una clasificación más precisa de esta neoplasia, al tiempo que ha identificado alteraciones comunes, tales como translocaciones génicas, disrupciones en vías de quinasas, desregulación epigenética, inestabilidad genómica y fallos en los mecanismos de replicación y supervivencia celular, lo que ha facilitado el desarrollo de terapias dirigidas5.
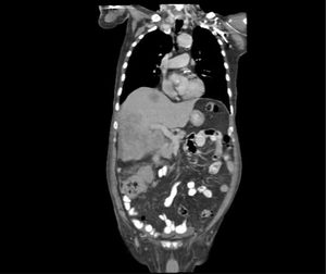
Se reporta el caso de un masculino de 84 años con antecedente de hipertensión arterial sistémica en control. Inició su padecimiento hace tres meses, mostrando principalmente estreñimiento, pérdida del apetito, pérdida ponderal – aproximadamente 12kg –, saciedad temprana, distensión abdominal, astenia y adinamia. Fue tratado sintomáticamente para síndrome de intestino irritable, mostrando nula mejoría, por lo que acudió a atención médica. A su ingreso, se encontró agrandamiento hepático de 2cm por debajo del reborde costal, así como una masa abdominal localizada en el marco colónico derecho, mal definida, móvil y no dolorosa a la palpación. Tras estos hallazgos se solicitaron pruebas complementarias: Ultrasonido hepático y de vías biliares reportó hepatomegalia con parénquima granular y heterogéneo, presencia de nódulos y masas iso e hipoecoicas con características metastásicas, con puntos brillantes sugestivos de microcalcificaciones, así como una masa anecoica multilobulada que comprimía y desplazaba la vesícula biliar. Por otro lado, una tomografía computada con contraste de tórax, abdomen y pelvis confirmó los hallazgos en hígado y reveló un engrosamiento concéntrico y asimétrico de la pared colónica, de entre 15 y 21mm, con calcificaciones puntiformes y una longitud total aproximada de 71mm a nivel del ángulo hepático. Se identificó un ganglio linfático redondeado de 6mm de diámetro, además de múltiples divertículos en colon sigmoides y descendente. Sin evidencia de afectación metastásica en otros órganos (fig. 1). Posteriormente, se realizó una colonoscopia con toma de biopsia, en la que se observó una lesión de aspecto neoproliferativo, dura, ocluyendo toda la luz intestinal y cubierta por exudado fibrinopurulento en la unión del tercio medio y el tercio inferior del colon ascendente. La histopatología de la lesión reportó un adenocarcinoma bien diferenciado y ulcerado de tipo intestinal. Debido a la persistencia de la obstrucción intestinal, se realizó una laparotomía con una hemicolectomía derecha más resección del íleon transverso con anastomosis término-lateral. La pieza obtenida fue enviada a histopatología donde se informó márgenes quirúrgicos negativos, con dos de siete ganglios positivos para metástasis, estableciendo así el diagnóstico final de carcinoma con componente sarcomatoide, tumor de alto grado (G4), compuesto por elementos mucinosos (60%), intestinales (20%), micropapilares (5%) y sarcomatoides (15%). La neoplasia infiltraba la submucosa, la muscular propia y los tejidos pericolónicos, sin perforación del peritoneo visceral, pero con invasión linfovascular (fig. 2A-D). Tras una adecuada evolución posquirúrgica, el paciente fue referido a consulta externa de oncología médica para valorar tratamiento adyuvante, dada la irresecabilidad de las metástasis hepáticas.
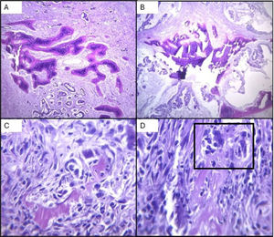
Sección histológica (H/E 4x) A y B) Se visualiza neoplasia intestinal con componente mucinoso y presencia de tejido óseo. Se identifica como áreas intensamente eosinofilias en el área central (rosadas) con estructura trabecular y presencia de osteocitos en lagunas. Se observa además componente mucinoso en las zonas más claras con matriz extracelular laxa, tenuemente basófila rodeando las zonas periféricas al tejido óseo. C y D) Se observan islotes eosinofílicos de fragmentos de matriz osteoide rodeados por tejido mesenquimatoso laxo y células atípicas caracterizadas por presentar núcleos de morfología irregular, hipercromasia y pleomorfismo nuclear (recuadro negro).
En el presente caso, se confirmó una neoplasia mesenquimatosa en la región colónica de un paciente adulto mayor. El componente sarcomatoide sugiere el término «carcinosarcoma»; sin embargo, este no está reconocido por la Organización Mundial de la Salud (OMS) en neoplasias del tubo digestivo, por lo que la denominación correcta es carcinoma con componente sarcomatoide6. Hasta ahora, solo se han reportado 33 casos de esta neoplasia en el colón, principalmente en el recto; solo seis en el colon ascendente7, lo que resalta la importancia de este caso. El primer caso documentado fue en 1985, con desenlace fatal cuatro años tras el diagnóstico8. Actualmente, no existen guías estandarizadas para su tratamiento. No obstante, pacientes tratados en centros especializados con alto volumen presentan mejores resultados. El manejo suele iniciar con resección quirúrgica con márgenes negativos, seguida en algunos casos por quimioterapia o radioterapia9, como se hizo en este paciente. Aun así, estos sarcomas representan desafíos por su baja sensibilidad diagnóstica, opciones terapéuticas limitadas y dificultad para desarrollar ensayos clínicos10. Esta rareza ha impedido establecer guías clínicas específicas. Sin embargo, la resección quirúrgica sigue siendo el pilar terapéutico, complementada ocasionalmente por quimioterapia o radioterapia. Una limitación relevante del caso fue la imposibilidad de realizar inmunohistoquímica (desmina y CD 117) por falta de insumos en la institución sede, por lo que el diagnóstico se basó únicamente en hallazgos histológicos característicos, considerados suficientes en contextos clínico-patológicos bien definidos. En conclusión, la evidencia sugiere que el tratamiento en centros especializados mejora los desenlaces, subrayando la necesidad de centralizar la atención y fomentar investigaciones que estandaricen el abordaje de estos casos raros, así como un detallado proceso diagnóstico a fin de abolir la incertidumbre diagnóstica.
FinanciaciónLos autores declaran que no se recibió ningún tipo de financiamiento, patrocinio ni apoyo económico externo para la realización de este estudio.
Consideraciones éticasLos autores declaran que se obtuvo el consentimiento informado del paciente incluido en el estudio para recibir el tratamiento y participar en la investigación descrita. El presente trabajo cumple con la normativa vigente en materia de investigación bioética y cuenta con la aprobación del Comité de Ética del Hospital Christus Muguerza del Parque. Asimismo, los autores declaran que este artículo no contiene información personal identificable ni imágenes que permitan reconocer a los pacientes, por lo que no fue necesario solicitar consentimiento adicional para su publicación.
Conflicto de interesesLos autores declaran que no existe ningún conflicto de intereses financiero, personal o académico que pueda influir en la interpretación o presentación de los datos de este manuscrito.




