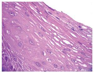
Se presenta el caso de un hombre de 45 años de edad que acudió a consulta por presentar pirosis y regurgitaciones de cinco años de evolución con respuesta parcial al consumo de inhibidores de la bomba de protones (20 mg a 40 mg de omeprazol en terapia a demanda). Por la cronicidad de los síntomas se le realizó una endoscopía del tracto digestivo superior en donde se encontró en el tercio medio del esófago una lesión exofítica de aspecto vegetante, con bordes bien delimitados y de color rosa blanquecino que midió aproximadamente 1 cm de longitud (Figura 1). Ante la sospecha de lesión papilomatosa asociada a virus del papiloma humano (VPH) se realizó biopsia excisional y se envió a estudio anatomopatológico. El resto del estudio endoscópico mostró esofagitis erosiva grado A de Los Angeles. Se prescribió tratamiento con omeprazol 20 mg dos veces al día por seis semanas. Por histología, la lesión presentó epitelio plano estratificado maduro con acantosis y papilomatosis (Figura 2), con centros fibrovasculares (Figura 3) dando un aspecto digitiforme. Las células basales eran grandes pero sin atipias nucleares, en los estratos superficial y medio las células mostraron maduración (Figura 4). Se realizó tinción de inmunohistoquímica para búsqueda de VPH la cual fue negativa (Figura 5). En el seguimiento se realizó endoscopía a los seis meses sin evidencia de recidiva de la lesión.
¿ Figura 1. Lesión exofítica de aspecto vegetante, con bordes bien delimitados de aproximadamente 1 cm de longitud.
¿ Figura 2. Epitelio plano estratificado maduro, con acantosis y papilomatosis; poco aumento.
¿ Figura 3. Acantosis y papilomatosis; mediano aumento.
¿ Figura 4. Papiloma escamoso del esófago, la lesión a gran aumento.
¿ Figura 5. Tinción de inmunohistoquímica para búsqueda de VPH, con resultado negativo.
Las lesiones papilomatosas del esofágo son muy raras. El papiloma esofágico aunque la mayor parte de las veces supondría la infección por VPH, la realidad es que frecuentemente se asocia a reflujo o irritación de la mucosa esofágica y generalmente se localizan en el tercio medio o inferior, como en este caso. Las lesiones papilomatosas no asociadas a VPH reciben el nombre de papiloma escamoso. Aquellas lesiones que están asociados al VPH se denominan condiloma y se localizan más frecuentmente en el tercio superior. La prevalencia es variable y va de 0.01% a 0.43% según algunas series. En nuestro caso se realizó inmunohistoquímica para búsqueda de VPH lo que descartó esta condición. La mayoría de estas lesiones se consideran que son superficiales aunque hubiera sido interesante la realización de ultrasonido endoscópico del esófago para determinar su extensión. Sin embargo, en el seguimiento a los seis meses no existe evidencia de recidiva por lo que es probable que esta lesión superficial haya estado asociada a enfermedad por reflujo.
Correspondencia: Peter Grube Pagola.
Primero de Mayo 703-A, Col Ricardo Flores Magón, Veracruz, México. 91900.
Correo electrónico: grubejr78@gmail.com.
Recibido el 23 de febrero de 2011;
aceptado el 15 de marzo de 2011.







