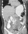
Mujer de 52 años de edad, previamente sana. Referida por coledocolitiasis difícil, documentada durante colecistectomía abierta con exploración de vía biliar y colocación de sonda en T. En nuestro hospital se realizó colangiopancreatografía retrógrada endoscópica (CPRE), con colocación de endoprótesis plástica (10Fr×12cm) y retirada de la sonda en T. La paciente acudió a urgencias 12h posteriores a la CPRE con abdomen agudo. Durante el abordaje se encontraron datos de respuesta inflamatoria sistémica, y en la tomografía computarizada de abdomen se observó la endoprótesis biliar con el extremo proximal en la vía biliar y el extremo distal perforando la tercera porción del duodeno (fig. 1). Se realizó panendoscopia corroborando el sitio de perforación de la endoprótesis (fig. 2). La paciente requirió laparotomía con extracción de la endoprótesis, cierre primario de la perforación duodenal (fig. 3), exploración de vía biliar con resolución de la coledocolitiasis y verificación con colangioscopia transoperatoria (fig. 4). Las perforaciones duodenales por endoprótesis no están consideradas en la clasificación de Stapfer1. Estas perforaciones son raras (1%), y se deben a la migración de la prótesis (lo cual ocurre en el 8-10% de los casos)2. La mayoría de los reportes de caso han ocurrido en prótesis mayores a 10Fr×12cm2,3. El tratamiento es endoscópico en ausencia de peritonitis o quirúrgico en pacientes con colecciones retroperitoneales, sepsis y peritonitis1,2.
Los autores declaran que para esta investigación no se han realizado experimentos en seres humanos ni en animales.
Confidencialidad de los datosLos autores declaran que han seguido los protocolos de su centro de trabajo sobre la publicación de datos de pacientes. Los datos de los pacientes son anónimos.
Derecho a la privacidad y consentimiento informadoLos autores declaran que en este artículo no aparecen datos de pacientes.
El consentimiento informado no se solicitó para la publicación porque en el presente artículo no se publican datos personales que permitan identificar al paciente.
FinanciaciónNo se recibió ningún tipo de financiación o apoyo económico para este trabajo de investigación.
Conflicto de interesesLos autores declaran que no existe conflicto de intereses.
Agradecemos al Dr. Délano-Alonso por sus contribuciones al caso clínico.






