¿ Introducción
El desarrollo normal de la mucosa colónica se basa en la interacción compleja de varios compartimentos histológicos: criptas, lámina propia y muscular de la mucosa. Una cripta colónica está constituida por tres regiones histológicas: una región basal o proliferativa, un estrato superficial o diferenciado y una región intermedia dispuesta en medio de las dos anteriores, cuyo comportamiento está mediado por vías de señalización génica intra y extracelular. En condiciones fisiológicas normales, la maduración, la diferenciación y la renovación del epitelio de la cripta colónica es gradual desde la base hacia la superficie. En ciertas condiciones existen patrones anormales de proliferación y diferenciación celular que pueden inducir cambios en el fenotipo de la mucosa colónica, dando origen a lesiones benignas reversibles (pólipos hiperplásicos) o malignas irreversibles (carcinoma).1,2
Los pólipos de la mucosa colorectal son un conjunto de lesiones tumorales comunes en la edad adulta. Son clasificados por sus características histológicas en pólipos no neoplásicos (pólipo hiperplásico o metaplásico), que carecen de potencial maligno y pólipos neoplásicos (adenoma convencional) considerados lesiones pre-malignas, implicadas en la secuencia adenoma-carcinoma de la carcinogénesis colónica. El término pólipo serrado se aplica a un grupo heterogéneo de lesiones cuya característica histológica común es la arquitectura serrada que adopta el epitelio colorrectal. Este grupo incluye: pólipo hiperplásico (PH), adenoma sésil serrado (ASS) y adenoma serrado tradicional (AST).3-7
En las dos últimas décadas el estudio de lesiones serradas ha ganado gran relevancia, al punto de llegar a considerar a los pólipos serrados como lesiones premalignas dentro del espectro de una vía alterna de la carcinogénesis colorrectal: la "vía serrada" asociada a inestabilidad micro-satelital (IM). Entre las alteraciones genéticas y moleculares identificadas tenemos: mutación o hipermetilación en los genes BRAF, KRAS, APC, p53 y en el sistema Mismatch Repair (MMR), grupo de genes que corrige errores durante la replicación del ADN.8-12
El sistema MMR está constituido básicamente por cuatro genes: MLH1, MSH2, MSH6 y PMS2 cuyas mutaciones, especialmente de MLH1 y MSH2, ocasionan inestabilidad de micro-satélites (IM). Para algunos autores existe controversia con respecto a la presencia o no de IM en pólipos serrados, sobre todo en pólipos hiperplásicos.13-19
¿ Objetivo
Determinar la prevalencia de expresión de MLH1 y MSH2 en pólipos serrados colorrectales y establecer correlación con características cito-arquitecturales y morfológicas.
¿ Métodos
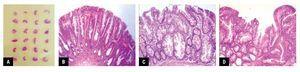
Se revisaron los informes de histopatología del Servicio de Patología del Hospital Metropolitano de Quito, Ecuador, de especímenes obtenidos por colonoscopia, de pacientes adultos con edades entre 20 y 70 años, de ambos sexos, durante el período comprendido de enero a diciembre de 2009. Su localización fue dividida en cinco regiones: ciego, colon ascendente, colon transverso, colon descendente y recto-sigmoides. Seleccionamos aquellos casos con diagnóstico de pólipo hiperplásico, adenoma sésil serrado y adenoma serrado tradicional. Se excluyeron los casos de adenomas puros (tubular, velloso, tubulo-velloso), pólipos hiperplásicos incipientes (menores de 3 mm), pacientes con antecedentes de poliposis familiar, adenocarcinoma colorrectal, enfermedad inflamatoria intestinal e individuos menores de 20 años y mayores de 70 años. Se eliminaron todas aquellas muestras en las que se detectaron fallas de técnica de inmunohistoquímica o agotamiento de tejido. Todas las biopsias fueron fijadas en formol y embebidas en parafina, posteriormente cortadas a 4 μm de espesor y finalmente teñidas con hematoxilina/eosina. Se revisaron las laminillas de los casos seleccionados para confirmar el diagnóstico histopatológico de acuerdo a los criterios actualmente aceptados.6 Seleccionamos los pólipos serrados distribuidos indistintamente a lo largo del colon y recto-sigmoides. Finalmente elaboramos manualmente los micro-arreglos tisulares (Figura 1).20,21
¿ Figura 1. a) Micro-arreglo Tisular H/E b) Pólipo hiperplásico: arquitectura serrada y criptas orientadas perpendicularmente a la muscular de la mucosa, HE x4. c) Adenoma Sésil Serrado: dilatación o ramificación de las criptas de la base con células caliciformes ectópicas, HE x10. d) Adenoma Serrado Tradicional: arquitectura vellosa y serrada, criptas ectópicas con citoplasma amplio y eosinófilo, HE x10.
Se realizó un estudio epidemiológico descriptivo de conjunto, con la finalidad de establecer la prevalencia de expresión de genes del sistema MMR en pólipos serrados colorrectales. La información del presente estudio fue recopilada en un formulario específico creado para el efecto, a partir del cual se creó una base de datos en Microsoft Excel para su posterior limpieza y análisis en Epi-Info 2000.
Técnica de Inmunohistoquímica. En secciones de 4 μm de micro-arreglo tisular se realizó técnica de inmunohistoquímica aplicando los anticuerpos MLH1 y MSH2 (Cell Marque 6600 Sierra College Blvd. Rocklin, CA 95677 USA), siguiendo métodos estandarizados. Las células estromales, población linfoide y mucosa colónica normal sirvieron de controles positivos internos para evaluar la expresión normal de estos genes. Las lesiones polipoides mostraron expresión nuclear normal, pérdida parcial o total (Figura 2).
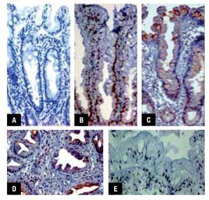
¿ Figura 2. a) Pérdida de expresión nuclear del gen MLH1 en la totalidad de un PH (x10). b) Expresión nuclear para MLH1 decreciente desde la base hacia la superficie en un PH (x4). c) Expresión nuclear para MSH2 decreciente desde la base hacia la superficie en un PH (x4). d) Expresión nuclear variable para MLH1 en el tercio basal de un AST (x40). e) Patrones combinados de expresión para MLH1, en el estrato superficial de un PH (x10). Control interno presente en todos los casos.
Análisis estadístico. El cálculo de la muestra se planteó para universo infinito y considerando la condición cualitativa de la variable de estudio, empleando la siguiente fórmula: n = pxqxz2/e2. Donde: p = probabilidad de ocurrencia (21%) = 0.2114 q = probabilidad de no ocurrencia (79%) = 0.79, z = nivel de significación (95%) = 1.96, e = error de inferencia (8%) = 0.08. Reemplazando: n = 0.21 x 0.79 x 1.962 / 0.082 = 129. El tamaño mínimo requerido fue de 129 muestras. Las variables cuantitativas se expresaron en promedios y desviaciones estándar y las cualitativas en frecuencias simples y porcentajes. El grado de relación entre las características citoarquitecturales de los pólipos y la presencia de inestabilidad microsatelital se hizo empleando Chi cuadrada, en tanto que el grado de correlación se estableció empleando Coeficiente de Contingencia de Pearson. La prevalencia de inestabilidad se expresó en porcentaje acompañada de su correspondiente intervalo de confianza a 95%. Las diferencias de prevalencia de expresividad se establecieron empleando t de diferencia de proporciones para grupos no independientes. Para todas las pruebas diferenciales se aceptó como válido un nivel de significación de 95% (alfa = 0.05).
¿ Resultados
Se estudiaron un total de 164 pólipos serrados provenientes de igual número de pacientes: 159 pólipos hiperplásicos (PH), dos adenomas sésiles serrados (ASS) y tres adenomas serrados tradicionales (AST). La edad promedio de los pacientes fue de 54.8 ± 9 años (rango: 24 a 69 años), con 52.4% (n = 86) de hombres.
En cuanto a las características endoscópicas de los pólipos, 63.4% (n = 104) fueron sésiles. Al analizar su localización, predominaron los ubicados en recto-sigmoides (62.2%). En cuanto al número de pólipos encontrados, la mediana fue de dos (rango: 1 a 15). El diámetro mayor de los pólipos estudiados fue de 4.3 mm (rango: 3 mm a 25 mm). Al analizar el tipo histológico de pólipo, 97% (n = 159) fueron pólipos hiperplásicos y los restantes fueron adenomas serrados (2 ASS y 3 AST).
Cuando se realizó la determinación de la expresión de genes MLH1 y MSH2, se detectaron fallas de técnica (1.8% y 3%, respectivamente), así como agotamiento de tejido (12.8% y 17.7%, respectivamente) y estos casos fueron excluidos del análisis. La prevalencia de expresión de MLH1 y MSH2, por tipo histológico se detalla en la Tabla 1. Únicamente 2 PH mostraron pérdida de expresión nuclear en toda la lesión para el gen MLH1. La prevalencia de expresión por tipo de marcador MLH1 y MSH2, por zona histológica, se presentan en la Tabla 2.
¿ Discusión
El presente estudio trata de determinar la prevalencia de expresión de genes del sistema MMR en 164 biopsias de lesiones polipoides serradas colorrectales, por técnica de inmunohistoquímica de los genes MLH1 y MSH2, cuya función alterada o deficiente se ha propuesto como vía alterna de histogénesis en pólipos serrados (hiperplásicos y adenomas serrados) colorrectales. Existe controversia sobre la presencia o no de expresión nuclear en pólipos serrados.22-25
Este es el primer estudio realizado en Ecuador, que investiga el comportamiento de las lesiones serradas aplicando esta técnica. En nuestra muestra, predominaron los hombres, dato semejante a otras series, a pesar de que no se describe asociación de riesgo por género.26-29 En cuanto a las características endoscópicas de los pólipos analizados, la morfología predominante fue la sésil, hallazgo similar a los resultados de otros estudios.30-35 De igual forma, prevalecieron los pólipos ubicados en el recto-sigmoides.36-39 Al valorar el grado de expresión nuclear de los anticuerpos se observó franca variación según la región histológica, pero no por el tipo de pólipo. Únicamente en dos pólipos hiperplásicos se observó la pérdida de expresión para MLH1 en toda la lesión (Figura 2a). Algunas series describen pérdida de expresión de MLH1 exclusivamente en adenomas sésiles serrados, mientras que otras mencionan pérdida de expresión en PH y ASS localizados en el colon derecho.40-42 Llamó la atención la constante expresión nuclear en las células de la base de las criptas para MLH1 en 98.6% y para MSH2 en 100% de los casos. Dicha expresión fue disminuyendo de intensidad al aproximarse a la superficie de la cripta donde es negativa, hallazgos idénticos a los descritos previamente (Figuras 2b a 2d). Esto último, estaría asociado a alteraciones en el ciclo y proliferación celular o por acumulación de señales inhibitorias de apoptosis, específicamente descritas en pólipos serrados. Sin embargo, esta pérdida superficial de expresión no es suficiente para establecer inestabilidad microsatelital.43 Una observación inédita, fue identificar en un mismo pólipo patrones combinados de expresión: parcelas de epitelio superficial con predominio de positividad débil que alternan con otras negativas y viceversa (Figura 2e).
Los datos que proporciona este estudio revelan que en la población estudiada no existe pérdida significativa de expresión de genes MMR en pólipos serrados. La prevalencia de ausencia de expresión en pólipos serrados (n = 140) para el gen MLH1 fue de 1.4%. Este hallazgo establece que la IM no participa en la histogénesis de las lesiones polipoides serradas colorectales. No existió diferencia significativa de expresividad entre pólipos hiperplásicos y adenomas serrados (ASS y AST). El estrato superficial de lesiones serradas es heterogéneo con alternancia de expresión nuclear para genes de IM. La pérdida de expresión nuclear limitada a esta región del pólipo serrado, no es criterio suficiente de inestabilidad micro-satelital.
¿ Conclusión
La prevalencia de la expresión de MLH1 y MSH2 fue similar en los pólipos hiperplásicos y los adenomas serrados. Dicha expresión fue disminuyendo desde la base hacia la superficie de la cripta, donde fue negativa. Este hallazgo no fue criterio suficiente de inestabilidad micro-satelital.
¿ Agradecimiento:
A la Dra. Joanne Young PhD, Jefe del Laboratorio de Investigación de Cáncer Familiar. Instituto de Investigación Médica Queensland, Australia por compartir sus hallazgos. A María Eugenia Mejía y César Vaca (tecnólogos) por su valioso apoyo técnico.
Correspondencia: Dra. Ligia Redrobán A.
Av. Mariana de Jesús s/n y Nicolás Arteta, Quito-Ecuador.
Correo electrónico: ligiredroban@yahoo.es, patologia2@hmetro.med.ec.
Recibido el 18 de Julio de 2011;
aceptado el 17 de octubre de 2011.






