Introducción
Los tumores gastrointestinales mesenquimatosos son un grupo de tumores originados de las células madre mesenquimales del aparato gastrointestinal, que lo integran los tumores del estroma gastrointestinal (GIST), leiomiomas, leiomiosarcomas y los schwannomas.1 Hasta hace unos años estos tumores se entendían como un grupo heterogéneo muy infrecuente que representaba el 1%-3% de todas las neoplasias del tubo digestivo. Hoy en día sabemos que dicho término representa distintas entidades con diferente significado clínico y pronóstico, ya que si bien los leiomiomas y schwannomas son lesiones benignas, los GIST son tumores que siempre tienen potencial maligno.2
Caso clínico
Hombre de 49 años de edad, portador de diabetes mellitus tipo 2 e hipertensión arterial sistémica que en agosto del 2006 inicia con dolor abdominal leve en epigastrio, diagnosticado como enfermedad ulcerosa péptica recibiendo medicamentos no especificados sin obtener mejoría. Evolucionó de manera tórpida con incrementos en la intensidad y frecuencia del dolor. En algunas ocasiones presentó evacuaciones diarreicas intermitentes. En junio del 2007 acudió a una segunda opinión debido a la persistencia del cuadro y habiéndose agregado irradiación del dolor en la región del dorso lumbar bilateral, así como evacuaciones melénicas. El médico tratante le indicó procinéticos, antiácidos y analgésicos. Debido a la falta de mejoría acudió a una instutución de salud privada donde se realizó serie esófago-gastroduodenal y ultrasonido abdominal superior sin hallazgos patológicos. Se realizó tomografía computada (TC) de abdomen que informó tumoración de 3 x 4 cm en la curvatura menor del estómago, sin presencia de adenopatías o extensión de la enfermedad. La endoscopia con biopsia demostró una tumoración gástrica de tipo polipoide, fija a la curvatura menor de 4 cm de diámetro, aproximadamente. El estudio histopatológico informó: gastritis crónica y ausencia de atipia, a pesar de que la inscripción macroscópica del tumor durante el estudio endoscópico fue compatible con GIST. No se documentó la presencia de Helicobacter pylori.
El paciente ingresó en julio del 2007 a nuestro instituto para corroborar dicho diagnóstico e iniciar tratamiento correspondiente. Los exámenes de laboratorio de ingreso se encontraron dentro de los límites normales, salvo anemia microcítica hipocrómica con hemoglobina de 11.8 g/dL, así como discreto aumento de creatinina sérica (1.29 mg/dL).
El 19 de julio del 2007 fue sometido a gastrectomía subtotal con gastro-yeyuno-anastomosis en Y de Roux. En los hallazgos transoperatorios se evidenció una neoplasia a nivel del antro gástrico, sin invasión a órganos adyacentes o adenopatías visibles. Durante el posquirúrgico desarrolló neumonía intrahospitalaria que se resolvió con tratamiento antibiótico.
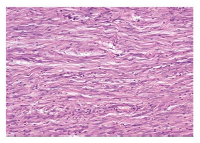
El estudio anatomopatológico de la pieza quirúrgica demostró un tumor de diámetro mayor de 4.5 cm, de configuración nodular que invadía la subserosa, con presencia de 18 ganglios linfáticos con hiperplasia mixta, histológicamente benigno, compatible con schwannoma (Figura 1). Se realizaron tinciones de inmunohistoquímica, resultando S100 positivo difuso y CD 34 positivo focal, siendo negativas las tinciones a CD 117 y actina, lo que corroboró el diagnóstico de tumoración originada en vaina nerviosa (Figura 2).
Figura 1. Imagen microscópica de la tumoración que muestra células en huso arremolinadas Antoni tipo A (Tinción con hematoxilina y eosina).
Figura 2. La tinción de inmunohistoquímica demuestra fuerte positividad a proteína S-100.
Discusión
Los schwannomas, también conocidos como neurinomas, neurilemomas o fibroblastomas perineurales,3 son tumores de crecimiento lento que se originan en la vaina de Schwann que recubre las fibras nerviosas.1,4 Si bien estos tumores pertenecen a la familia de los mesenquimales, Sarlomo-Rikala y colaboradores,5 usando métodos de hibridización genómica, demostraron que los schwannomas son genéticamente diferentes de los GIST, leiomiomas y leiomiosarcomas.
Todos los informes de casos de patología indican que los schwannomas gastrointestinales son biológicamente benignos y que los pacientes tienen un excelente pronóstico después de su resección quirúrgica, no obstante, una pequeña proporción son considerados malignos con potencial a metastizar.3 Algunos casos de schwannomas malignos se han visto en pacientes con neurofibromatosis,3,7 sin embargo, no se ha visto relación de los schwannomas gastrointestinales con esa enfermedad.8
La localización más común de estos tumores en el tubo digestivo es el estómago (60% a 70% de los casos), seguido de colon y recto. Prevoth y colaboradores,9 en un reporte de 5 casos de schwannomas del tubo digestivo, informaron que tres de ellos fueron de localización gástrica. Por su parte, Miettinen y colaboradores,10 informaron de cinco casos, todos ellos de localización gástrica, mientras que en la serie de Hou YY,11 de 33 casos de schwannomas gastrointestinales, 24 se localizaron en estómago. Se ha estimado que los schwannomas representan 0.2% de todos los tumores gástricos.1,4,12
Estos tumores ocurren con mayor frecuencia entre la quinta y sexta década de la vida y se han reportado más frecuentemente en mujeres.1,11 Existen dos reportes de caso de aparición durante la infancia.3,13 Los schwannomas gástricos usualmente se encuentran como una tumoración solitaria que puede localizarse en cualquier parte del órgano.1,4,14 Generalmente son asintomáticos y descubiertos de manera incidental en una laparotomía o mediante estudios de imagen realizados por otras indicaciones.1,12 La presentación sintomática más común es como un episodio de sangrado gastrointestinal. 1,12 En la citada serie de Hou YY,11 los síntomas principales fueron dolor abdominal, malestar y sangrado gastrointestinal, síntomas similares a los presentados por el paciente reportado.
El tamaño de los schwannomas gástricos varía desde 10 a 120 mm (promedio 49.8 mm) en diámetro mayor.11 Su origen se encuentra en las fibras nerviosas del plexo de Auerbach o de manera menos común, del plexo de Meissner.1 Son tumores bien definidos con presencia de agrupamientos linfoides, generalmente no se encuentran encapsulados, ˇ sin embargo en otras series se describen con una cápsula definida.7
Microscópicamente se pueden distinguir dos patrones histológicos: Antoni tipo A, que consisten en células alargadas y fusiformes (cuerpo de Verocay) y Antoni tipo B, que también son alargadas pero menos compactas y localizadas en un estroma mixoide.7,15,19 Generalmente están cubiertos por la mucosa y envuelve la submucosa y la muscular propia.4 Una característica histológica de los schwannomas gastrointestinales son los agrupamientos linfoides que rodean al tumorˇ y que en ocasiones forman centros germinales. Este es un aspecto característico y casi patognomónico que no se aprecia en los schwannomas de tejidos blandos. Daimaru y colaboradores17 sólo encontraron dos casos con estas características en 1000 schwannomas de tejidos blandos analizados. Las mitosis son escasas o están ausentes.ˇ
En estudios inmunohistoquímicos, estos tumores expresan positividad difusa para la proteína S-100ˇ y generalmente para proteína glial acídica (glial fibrillary acidic protein, GFAP)9. Usualmente son negativos para CD34,10 sin embargo, en este caso que informamos, resultó positivo, esto mismo fue descrito por Hou YY11 en tres casos. Los marcadores musculares en algunos resultan ser positivos para vimentina y nestina, ˇ ¿ pero no para actina o desmina. Todos son negativos para la proteína KIT (CD117), situación que los distingue de los GIST.
Si bien a la imagen por TC y la resonancia magnética nos pueden mostrar las ciertas características de los schwannomas, el diagnostico definitivo se basa únicamente en el estudio histológico e inmunohistoquímico,1,9 pues como en el caso que se informa, sus características son indistinguibles de los GIST. El estudio por endoscopia tampoco puede distinguir el schwannoma de otras neoplasias mesenquimatosas.14 La resección quirúrgica completa representa el tratamiento de elección y el pronóstico es sumamente favorable con prácticamente ausencia de recurrencias.12,19
En resumen, se informa el caso de un paciente con schwannoma gástrico, tumor muy raro dentro de las neoplasias mesenquimatosas del tracto gastrointestinal que debe tomarse en cuenta en el diagnóstico diferencial de los más frecuentes GIST.
Correspondencia: Dr. Heriberto Medina Franco. Dirección de Cirugía, Sección de Cirugía Oncológica. Instituto Nacional de Ciencias Médicas y
Nutrición Salvador Zubirán. Vasco de Quiroga 15. Colonia Sección XVI. CP 14000, Tlalpan, México, DF. Teléfono y fax: (55) 55739321.
Correo electrónico:herimd@hotmail.com
Fecha recibido: 5 marzo 2008 Fecha aprobado: 26 enero 2009




