Introducción
Las lesiones quísticas originadas en el bazo son poco frecuentes; según su origen y aspecto histológico se clasifican en: 1) quistes verdaderos, que pueden ser parasitarios (Echinococcus) o no parasitarios (quistes epidermoides), y 2) quistes secundarios o seudoquistes. 1 El interior de los quistes verdaderos o primarios está revestido por tejido epitelial, mientras que la pared de los denominados seudoquistes no muestra revestimiento epitelial. 2 En general se considera que los seudoquistes son secundarios a traumatismos, infección o infartos esplénicos.3 Esta afección es rara en adultos; hasta el año 2005 se habían descrito poco más de 1 000 casos de seudoquistes esplénicos, en tanto que en menores de 18 años son aún más infrecuentes.3 Su presentación clínica es polifacética; pueden dar sintomatología por compresión de órganos vecinos4 o ser silentes y encontrarse de manera incidental por exploración física o estudios de rutina como la ultrasonografía durante la evaluación de episodios de dolor abdominal, casi siempre después de traumatismos abdominales.3 Cuando se asume que la etiología es un traumatismo, se forman a causa de la reabsorción de una lesión hemorrágica o necrótica del parénquima esplénico, la cual se encapsula, aunque no se descarta que su origen sea un quiste verdadero con erosión del epitelio. 5
Si bien se trata de una lesión benigna, a menudo el hecho de que sea una lesión tumoral que comprime órganos vecinos en el hipocondrio izquierdo puede llevar a sospechar lesiones neoplásicas malignas como linfomas esplénicos, tumoraciones abdominales provenientes del colon y/o mesenterio, e incluso lesiones renales.
El presente trabajo describe un seudoquiste esplénico en una paciente de 14 años de edad, el cual se manifestó por dolor abdominal y una tumoración en hipocondrio izquierdo con antecedentes de traumatismo abdominal.
Informe del caso
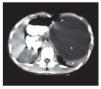
Mujer de 14 años de edad sin antecedentes heredofamiliares ni patológicos relevantes, que a los 11 años de edad sufrió una caída de 50 cm de altura, con golpe directo en la región dorsolumbar izquierda, al parecer asintomática. Un mes antes de acudir a la consulta, refirió que tras un traumatismo leve (caída de su propia altura), su madre observó un aumento de volumen en el hemiabdomen superior izquierdo y la trajo a consulta; se informa que la paciente había tenido episodios recurrentes de dolor abdominal leve. A la exploración física, se observó el hipocondrio izquierdo aumentado de volumen y se palpó una esplenomegalia hasta 8 cm por debajo del reborde costal, con escaso dolor a la palpación profunda. El ultrasonido abdominal reveló la presencia de una lesión quística al parecer dependiente del bazo. La tomografía computarizada de abdomen evidenció una lesión de aspecto quístico de 12 x 10 x 8 cm en el polo superior esplénico (Figura 1). Ante la sospecha de un hematoma por el traumatismo reciente, se realizó una laparotomía exploradora. Se accedió a la cavidad abdominal a través de una incisión media supraumbilical y se encontró el bazo aumentado de tamaño, con adherencias laxas parietales, al diafragma, estómago y duodeno. Se efectuó la esplenectomía, cuya hemostasia se obtuvo mediante colocación de esponja, y se dejó un drenaje tipo Penrose. La evolución posoperatoria fue satisfactoria.
Figura 1. Tomografía computarizada del abdomen con contraste oral que demuestra la lesión quística esplénica.
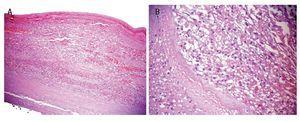
A la inspección directa, el bazo era ovoide, café violáceo y de consistencia renitente; midió 17.5 x 13.5 x 10 cm y pesó 1,192.4 g (Figura 2A y B). Al corte se observó una lesión quística, unilocular ocupada por líquido de aspecto hemorrágico. La pared tenía un espesor de entre 0.1 y 1.9 cm; la cara interna era blanco-amarilla con bandas de fibrosis y zonas de aspecto herrumbroso. El parénquima esplénico mostró puntilleo fino de color blanco. Al examen microscópico, la pared del quiste estaba constituida por colágena densa con infiltrado inflamatorio a base de linfocitos, células plasmáticas y macrófagos con abundante hemosiderina (Figura 3A). La luz del quiste no contaba con revestimiento epitelial, sólo había macrófagos con hemosiderina. En el parénquima esplénico se observó hiperplasia folicular de la pulpa blanca (Figura 3B). En estos momentos, la paciente se encuentra asintomática.
Figura 2. Imagen macroscópica del bazo. A) El bazo era ovoide, café violáceo y de consistencia renitente. B) Vista de la cara medial del bazo.
Figura 3. Análisis histológico del producto de la esplenectomía. A) La pared del quiste está constituida por colágena densa con infiltrado inflamatorio compuesto por linfocitos, células plasmáticas y macrófagos con abundante hemosiderina. B) Luz del quiste. No muestra revestimiento epitelial, se aprecian numerosos macrófagos.
Discusión
Los quistes esplénicos no parasitarios se clasifican con base en su origen y la presencia de epitelio de revestimiento o no. Los denominados quistes "verdaderos" tienen origen congénito y muestran epitelio de revestimiento, el cual suele ser plano estratificado; los llamados quistes "falsos" o seudoquistes tienen origen postraumático y carecen de epitelio de revestimiento.6 Según algunos autores, las lesiones quísticas esplénicas son más frecuentes en pacientes femeninas (hasta 65%7 y 76%6); a edades pediátricas, las lesiones quísticas en bazo son poco comunes y pueden representar hasta 13% de los casos.7
Los síntomas de presentación de los seudoquistes son poco específicos; pueden consistir en dolor abdominal, bazo palpable posiblemente sensible, dolor gastrointestinal inespecífico y en hombro izquierdo. También pueden ser asintomáticos y contar sólo con el antecedente de una caída, como en este caso.7
En los quistes esplénicos no parasitarios, el ultrasonido abdominal suele demostrar una masa anecoica bien delimitada y es importante descartar la presencia de una lesión quística en el riñón izquierdo. El aspecto tomográfico de estas lesiones es unilocular, con baja atenuación y paredes delgadas casi imperceptibles; no hay reforzamiento con la aplicación del medio de contraste. Si bien los estudios de imagen no permiten distinguir si se trata de un quiste verdadero o un seudoquiste, este último puede tener algunas características, como tamaño pequeño y pequeñas calcificaciones en la pared.8
El diagnóstico diferencial por imagen de los quistes esplénicos debe realizarse con otras lesiones quísticas que se localizan en el abdomen, entre ellas quiste mesentérico, quiste simple de riñón izquierdo y lesiones de glándula suprarrenal, ovario e hígado.9 Los quistes esplénicos verdaderos y los seudoquistes son de aspecto macroscópico similar: la pared es blanca o blanca grisácea y muestra trabeculaciones fibrosas; el líquido contenido varía desde seroso y claro hasta viscoso y turbio de color café rojizo, como en el caso presente.7 Al examen microscópico, los seudoquistes muestran una pared fibrosa gruesa en la que es posible observar ocasionales micro-calcificaciones; la luz del quiste contiene macrófagos con hemosiderina, lo que denota su origen traumático. Es importante estudiar la pared del quiste con múltiples cortes para descartar la presencia de revestimiento epitelial.7,8
El tratamiento quirúrgico de las lesiones quísticas del bazo resulta controversial; si bien la esplenectomía suele considerarse el tratamiento estándar, hasta 1% de estos pacientes puede presentar sepsis posesplenectomía.10 Se cree que la preservación de por lo menos 25% del parénquima esplénico disminuye de modo significativo la probabilidad de procesos infecciosos sistémicos como bacteriemia.10,11 En estas lesiones también puede practicarse una esplenectomía parcial a fin de conservar tejido esplénico, aunque la presencia de un quiste localizado en el centro del bazo es una contraindicación debido al riesgo de sangrado.10,11 Otros tratamientos sugeridos son el drenaje percutáneo con escleroterapia y debridación del quiste, con un riesgo de recurrencia de hasta 64% a 12 meses. Los autores decidieron efectuar una esplenectomía tradicional porque la lesión era grande y abarcaba la parte central del bazo.
En México la incidencia de lesiones quísticas no parasitarias en bazo se desconoce; existen sólo dos reportes de seudoquistes esplénicos. El primero lo informó Rodríguez Paz en 2004 en un joven de 18 años de edad con antecedente de caída de 3 m de altura. 12 El segundo lo describió Beauregard-Ponce en 2006 en un varón de 37 años con antecedente de un accidente automovilístico 12 años antes del diagnóstico. 13 Como en esos casos, el antecedente de traumatismo y los hallazgos histopatológicos fueron fundamentales en el diagnóstico del que aquí se presenta.
En conclusión, los seudoquistes esplénicos son lesiones muy raras que deben considerarse en el diagnóstico diferencial de tumoraciones abdominales en la región del hipocondrio izquierdo ante el antecedente de traumatismo abdominal.
Correspondencia: Dr. José María Remes Troche.
Laboratorio de Fisiología Digestiva y Motilidad Gastrointestinal, Instituto de Investigaciones
Médico-Biológicas, Universidad Veracruzana, Veracruz. Iturbide S/N, Col. Flores Magón, CP 91400. Veracruz, Veracruz. Teléfono: (229) 922 3292, fax: (229) 202-1231.
Correo electrónico:joremes@uv.mx, jose.remes.troche@gmail.com





