Hutchinson en 1986, Peutz en 1921, Jeghers en 1949 y Bruwer en 1954 fueron los primeros que describieron el síndrome de Peutz-Jeghers (SPJ)1, el cual se define como un trastorno congénito autosómico dominante perteneciente a los síndromes hamartomatosos2. Su incidencia es rara, de 1:8300 a 1:12000003, sin predisposición de raza o de sexo. Los pólipos del SPJ pueden presentarse a cualquier nivel del tracto gastrointestinal (TGI).
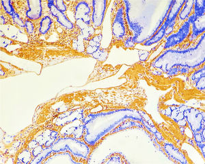
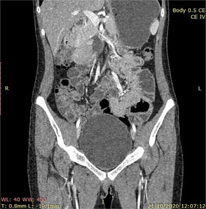
Presentamos el caso de una mujer de 18años referida por historial de dolor abdominal, hematemesis e intususcepción intestinal en dos ocasiones ameritando resección intestinal (80 y 50cm de yeyuno-íleon, respectivamente). Su historial heredofamiliar, perinatal y personales patológicos sin relevancia; se investigan hasta 3 líneas familiares previas, sin encontrarse evidencia de patologías tumorales, congénitas o neoplásicas. En la exploración se observan máculas hiperpigmentadas en los labios y en la cavidad oral. Enviada con múltiples reportes endoscópicos e histopatológicos, comentando poliposis gastroduodenal (hasta de 25-40mm), poliposis colónica atenuada (10-20) de hasta 40mm, con sospecha de cáncer; múltiples polipectomías. Histopatología: adenomas aserrados, adenoma tubulovelloso con displasia de alto y bajo grado en colon. Las revisiones concluyen pólipos hiperplásicos (gastroduodenales), adenoma «avanzado» tubulovelloso mayor de 1cm y adenoma hamartomatoso duodenal (fig. 1) La enterografía por tomografía axial computarizada (TAC) muestra dilatación de segunda y tercera porción de duodeno con masa irregular que realza al contraste, de aproximadamente 52×35mm (fig. 2). La tomografía craneal y la serie ósea metastásica no evidenciaron lesiones.
Se consideró poliposis adenomatosa familiar (PAF) atenuada con implicaciones quirúrgicas (colectomía total y polipectomía duodenal vs pancreatoduodenectomía). Sin embargo, se realiza una última polipectomía en el colon y en la segunda porción de duodeno, siendo el histopatológico concluyente para hamartomas con tinción actina-músculo liso en duodeno y en colon. Con lo anterior se descarta cualquier síndrome polipósico adenomatoso e incluso hamartomatoso mixto, cumpliendo con criterios de SPJ. Se realizaron enterorresonancia magnética y enteroscopia sin haber encontrado evidencia de pólipos en el intestino medio que debieran ser resecados mediante cirugía.
El SPJ es un trastorno congénito autosómico dominante perteneciente a los síndromes polipósicos2, caracterizado por la presencia de hamartomas gastrointestinales e hiperpigmentación mucocutánea4. Es una enfermedad rara, con una incidencia de 1:8300 a 1:1200000 y una prevalencia de 1-1200000, afectando a familiares de primer grado en un 55%, sin predisposición de raza o de sexo3,4.
Mutaciones en la línea germinal y deleciones de segmento largo en el gen STK11 (LKB1) son las alteraciones típicas en el SPJ5. STK11 localizado en el cromosoma 19p13.3 tiene distintas mutaciones, donde del 64 al 80% se presentan de novo. STK11 es un gen supresor tumoral que codifica para una cinasa serin-treonina modulando el crecimiento y la proliferación celular4,5 a partir de la fosforilación AMPK, la activación de tuberinas celulares, de la vía Wnt y GSK3B, cuyo resultado es inhibir la vía mTOR5.
Los pólipos hamartomatosos son raros, multilobulados, papilares y con ramificaciones de músculo liso cubiertas de epitelio glandular; puede haber hasta cientos y se localizan en todo el TGI (ID 64%, colon 53%, estómago 49%, recto 32%), vesícula biliar, bronquios, vejiga y uréteres4.
Anatomopatológicamente y con inmunohistoquímica contra desmina se observa epitelio y fibras de músculo liso, lo cual causa aspecto «arborescente» en el 50% de los casos. Hacia la mucosa y la submucosa las criptas son lobulares, con dilataciones en el centro o en la periferia. La polaridad celular se encuentra conservada6.
La pigmentación mucocutánea se presenta en el 95% de los casos, observándose en la región perioral, el borde bermellón de los labios, las cavidades nasales, las manos, los pies y el perineo; las máculas se decoloran con la edad, siendo azul-grisáceas y de 1-5mm. Se originan de neoplasias de melanocitos con poco potencial maligno1. Puede haber lunares azul-grisáceos cerca de la cavidad oral4.
La intususcepción intestinal se presenta en jóvenes con pólipos en ID, y tiene una incidencia del 47 al 69%7.
El diagnóstico se realiza con dos criterios de tres, incluyendo pólipos hamartomatosos, AHF y pigmentación mucocutánea3.
El riesgo de neoplasias malignas en TGI, páncreas, mama, testículo y cervicouterino es mayor3,4; en promedio, a los 42años. El riesgo acumulado es del 81, del 66 y del 32% en general, para neoplasias gastrointestinales y para cáncer de mama, respectivamente8.
La vigilancia se realiza con colonoscopia-panendoscopia a los 8años, repitiéndose cada 3años en caso de pólipos significativos, a los 18años en ausencia de estos o con sintomatología. A los 50, la vigilancia es cada 1 o 2años8. El seguimiento con videocápsula endoscópica, enteroRM o enema baritado son alternativas razonables2.
Se debe realizar RM o ultrasonido de mama anual desde los 25-40años, para después utilizar mastografía; Papanicolaou cada 2 a 3años a partir de los 253,9, ultrasonido testicular en caso de anomalías en la exploración. La vigilancia para otras neoplasias no está recomendada2.
El tratamiento es quirúrgico para la resolución de complicaciones. La polipectomía endoscópica disminuye el riesgo de complicaciones; en caso de laparotomía, se debe realizar por enteroscopia. La terapia farmacológica no se recomienda2. Para la pigmentación mucocutánea se utiliza luz filtrada o láser si hay afectación psicológica10.
El SPJ es una entidad rara y poco reportada cuya vigilancia implica un dilema, siendo esencial la caracterización adecuada de los pólipos, ya que de esto depende la caracterización y la agresividad del tratamiento a seguir (vigilancia, colectomía, polipectomía abierta, pancreatoduodenectomía, etc.); por otra parte, la recurrencia de intususcepción intestinal obliga al abordaje del paciente de manera amplia incluso con técnicas enteroscópicas.
Consideraciones éticasLos autores declaran que para esta investigación no se han realizado experimentos en seres humanos ni en animales, sin ser necesaria la autorización del comité de ética de la institución, puesto que no se realizaron intervenciones durante el presente estudio.
Los autores declaran que este artículo no contiene información personal que permita identificar al paciente y no fue necesario pedir el consentimiento informado del mismo.
FinanciaciónLa presente investigación no ha recibido ayudas específicas provenientes de agencias del sector público, sector comercial o entidades sin ánimo de lucro.
Conflicto de interesesLos autores declaran no tener conflicto de intereses.




