Presentación del caso
Se presenta el caso de un paciente del sexo masculino de 67 años de edad, con los siguientes antecedentes patológicos de importancia: tabaquismo crónico (índice tabáquico 25). Colecistectomía abierta, secundaria a litiasis vesicular practicada a los 47 años de edad, a partir de ese evento presentó múltiples cuadros de suboclusión intestinal, dos por año en promedio, resueltos con tratamiento
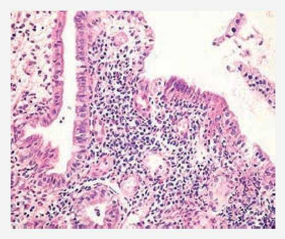
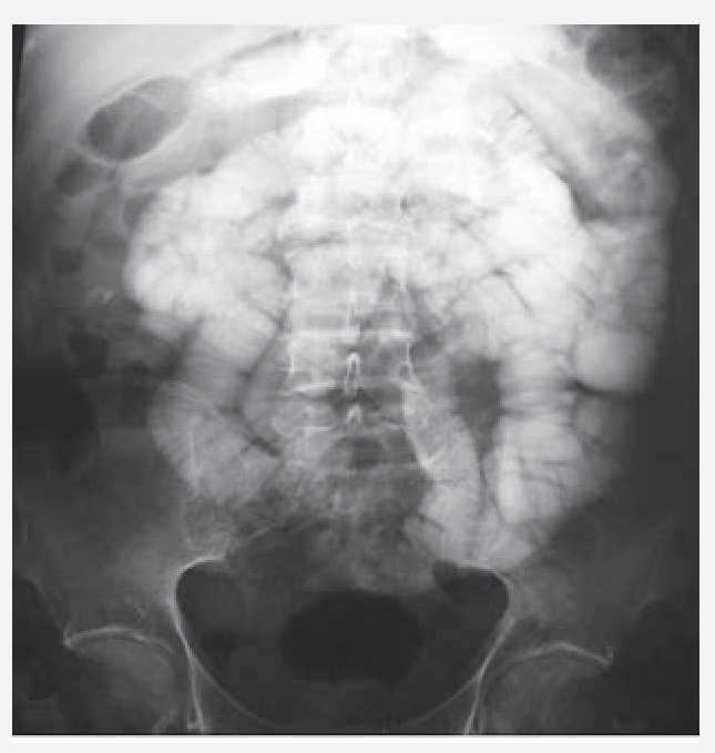
médico conservador. Acudió a consulta por presentar nuevamente dolor en mesogastrio intenso, de 8 horas de evolución, acompañado de vómito de contenido gastrobiliar y distensión abdominal importante. Se le realizó placa simple de abdomen la cual mostró niveles hidroaéreos con dilatación de asas de intestino delgado. Una vez resuelto el cuadro, se realizó tránsito intestinal que mostró dilatación de asas de intestino delgado con predominio de yeyuno (Figura 1). Se le practicó colonoscopia larga observando en íleon terminal, múltiples úlceras serpiginosas de 1 cm, presencia de edema y eritema periférico. La mucosa presentaba apariencia de empedrado alternada con mucosa de características normales (Figuras 2 y 3). Los cortes histológicos mostraron distorsión en la arquitectura a expensas de prolongaciones digitiformes de la lámina propia con inflamación, presencia de polimorfonucleares, eosinófilos y células plasmáticas con ausencia de granulomas, compatible con enfermedad de Crohn (Figura 4). El manejo terapéutico se baso la prescripción de azatioprina y mesalazina con buenos resultados sin presentar recidiva.
Figura 1. Estudio de contraste; tránsito intestinal que mostró dilatación de asas de intestino delgado con predominio de yeyuno
Figura 2. Colonoscopia larga. Íleon terminal con múltiples úlceras serpiginosas de 1 cm presencia de edema y eritema periférico
Figura 3. La mucosa presentaba apariencia de empedrado alternada con mucosa de características normales
Figura 4.Distorsión en la arquitectura, compatible con enfermedad de Crohn
Correspondencia: Dr. Jorge García-Leiva.
Antonio Aguilar 155-530. Col. Burócratas del Estado. C.P. 78200. San Luís Potosí, San Luis Potosí.
Correo electrónico: drjorgegl@yahoo.com
Fecha recibido: 12 marzo 2009 Fecha aprobado: 24 junio 2009






