Presentación del caso
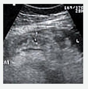
Mujer de 26 años que consultó por dolor abdominal de 4 días de evolución en el mesogastrio irradiado al hipocondrio izquierdo, con defensa generalizada e irritación peritoneal, acompañado de hemorragia digestiva alta. Entre los antecedentes personales destacó el tratamiento con anovulatorios. El hemograma mostró hemoglobina de 8 g/ dL y leucocitos 23 400 células/mL, con desviación hacia la izquierda. La endoscopia digestiva alta mostró datos normales. Una ecografía abdominal demostró engrosamiento de las paredes del intestino en el mesogastrio izquierdo (Figura 1). La tomografía computarizada evidenció aire en el interior de la vena mesentérica, ascitis y suboclusión intestinal (Figura 2). Se realizó una intervención quirúrgica en la que se encontró una trombosis venosa mesentérica del yeyuno (Figura 3). Se realizó resección de 140 cm del yeyuno (Figura 4). La trombosis venosa mesentérica se presenta en diferentes trastornos, en los cuales la iniciación clínica más frecuente es el dolor abdominal, con síntomas y signos que progresan hacia el infarto intestinal. Cuando se presenta en pacientes más jóvenes, tiene una evolución clínica más indolente e inespecífica. El tratamiento es la intervención quirúrgica de urgencia con anticoagulación inmediata.
Figura 1. Ecografía abdominal con engrosamiento de las paredes del intestino.
Figura 2. Tomografía computarizada evidenciando aire en el interior de la vena mesentérica.
Figura 3. Trombosis venosa mesentérica.
Figura 4. Trombosis del yeyuno.
Correspondencia: Dr. Valdemir José Alegre Salles,
Rua José Bonani 199, Taubaté, San Pablo, Brasil. CEP: 12031-260,
Teléfono: 55(12)36813888,
Fax: 55(12)36316061. Correo electrónico:vjasia@gmail.com, valiris@vivax.com.br






