¿ Introducción
Las variaciones anatómicas y las anomalías congénitas de los conductos biliares han sido señaladas frecuentemente como causas de accidentes operatorios, especialmente si no cuenta con diagnóstico pre-operatorio preciso.1-3 El conocimiento de estas variantes permite establecer el plan quirúrgico más adecuado. Presentamos un caso en el que el conducto hepático común terminaba en el cuerpo de la vesícula, el cual se continuaba con un cístico largo hasta el duodeno en ausencia de colédoco. Los casos con las características señaladas previamente publicados en la literatura, se han calificado como extremadamente raros.
¿ Presentación del caso
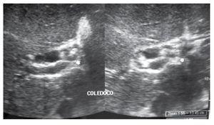
Mujer de 36 años, sin antecedentes relevantes salvo haber presentado un cuadro de probable hepatitis viral A cuatro años antes de su ingreso. Su padecimiento se inició tres semanas antes con fiebre precedida de escalofríos y poco después, ictericia progresiva no dolorosa y coluria intermitente sin prurito. Dos días antes del ingreso desarrolló edema de las extremidades inferiores y astenia importante. Su médico de primer contacto ordenó un ultrasonido abdominal que demostró hepatomegalia, dilatación de vías biliares intra y extrahepáticas, pared vesicular de 4 mm, imagen litiásica con sombra acústica, varias imágenes ovoideas en la vía biliar extra hepática sin sombra acústica que hicieron sospechar en la presencia de fasciola y esplenomegalia de 15 cm (Figura 1). A su ingreso se encontró a la paciente con 38°C de temperatura corporal, peso 60.2 kg, estatura 153 cm. Ictérica, con hepatomegalia de 6 cm por abajo del reborde costal, sin bazo palpable, con edema discreto de los tobillos y de los pies. Los exámenes mostraron Hb 11g/dL, bilirrubina total 7.93 mg/dL, bilirrubina directa 4.7 mg/dL, AST 69 U/L, ALT 42 U/L y fosfatasa alcalina 387 U/L. Se solicitaron anticuerpos antinucleares, anti-musculo liso, anti-mitocondriales y anti-virus Epstein Barr siendo todos negativos.
¿ Figura 1. Dilatación de vías biliares, la flecha señala las probables fasciolas.
Con los datos señalados, se decidió efectuar una colecistectomía abierta bajo el diagnóstico de probable fascilosis vs. fístula coledocisto-coledociana. Se encontró la vesícula biliar (VB) completamente llena de barro y tres cálculos ocres de 15 mm (Figura 2), hepatomegalia con colestasis, y gran número de adenomegalias voluminosas, blandas y aparentemente inflamatorias en el pedículo hepático. La VB se encontraba adherida al lecho hepático y al disecarla perdió parte de su pared en el fondo y en el cuerpo. El conducto hepático común era corto (5 mm), con ausencia de colédoco y la presencia de un cístico largo hasta el duodeno (Figura 3). La disección se efectuó del fondo de la vesícula hacia el cístico, lo que permitió poner en evidencia la desembocadura anómala del hepático común sobre el cuerpo de la vesícula y evitar su lesión. Identificamos los elementos de las vías biliares intra-hepáticas mediante la exploración instrumental de los conductos a través de la vesícula abierta vaciado su contenido. Fue imposible efectuar un estudio de colangiografia por punción debido a la dificultad para abordar las vías biliares extra-hepáticas con este medio. Posteriormente pudimos seccionar el hepático común, ligar la arteria cística y continuar la disección del conducto cístico hasta el duodeno. Se comprobó la ausencia de colédoco. Se realizó una colangiografía por el hepático común con la que verificamos la integridad de las vías biliares intra-hepáticas y la ausencia de cálculos retenidos. Pudimos utilizar una amplia boca de 3 cm sobre el hepático izquierdo para efectuar una derivación en Y de Roux, mediante sutura continua de poliglactina 000 con puntos "extramucosos" en el lado intestinal.
¿ Figura 2. La vesícula biliar ya abierta y vacía de su contenido.
¿ Figura 3. La pinza muestra la comunicación entre el hepático común y el cístico, a través de la vesícula, la cual ha perdido parte de su cuerpo.
No hubo complicaciones con la evolución postoperatoria y la enferma presentó resolución de la coluria y de la fiebre. La paciente egresó a las 48 horas en ausencia de fugas bilio-entéricas y fue observada durante los tres meses siguientes a su operación durante los cuales se observó la resolución de la ictericia y el prurito. Las pruebas de funcionamiento hepático y la biometría hemática se normalizaron. A dos años y ocho meses de su intervención se mantiene asintomática.
¿ Discusión
El presente caso tiene particularidades que lo hacen especial: la concurrencia de una patología afectando al sistema hepato-biliar con ictericia obstructiva y el hallazgo de una anomalía biliar muy pocas veces informada en la literatura.
En nuestro caso, el ultrasonido fue insuficiente para establecer un diagnóstico preoperatorio preciso ya que demostró la dilatación de las vías biliares intra-hepáticas y reportó erróneamente la dilatación de las vías extra-hepáticas estableciendo la sospecha de infestación por fasciolas, mismas que correspondieron a ganglios linfáticos hipertróficos. Mediante el estudio de ultrasonido no se sospechó de la anomalía congénita del conducto hepático común que desembocaba en el cuerpo de la vesícula. Esto es consistente con otros los informados en la literatura, ya que todos han sido hallazgos operatorios,1,2 excepto el más reciente que fue un hallazgo post mortem.3 La tomografía y la colangio-resonancia magnética nuclear son dos estudios potencialmente útiles para identificar anomalías de las vías biliares en pre-operatorio,4-7 pero no fueron practicadas en este caso es particular.
La identificación pre-operatoria de una anomalía anatómica es importante para establecer un plan quirúrgico adecuado.8 Sin embargo, si esto no es posible y la anomalía congénita se presenta como un hallazgo operatorio, se han descrito diferentes técnicas para evitar la lesión de las estructuras anatómicas,5 principalmente la disección meticulosa de la vesícula biliar comenzando en el fondo6 y la exploración de las vías biliares intrahepáticas mediante la apertura y vaciamiento del contenido de la vesícula biliar explorando a través de ella los conductos,7 como en éste caso.
La presente anomalía congénita es muy rara y se produce durante el primer mes del desarrollo embrionario por una fusión de las yemas que dan origen a las vías biliares intra-hepáticas y al hígado por una parte, con la que origina la vesícula biliar y el colédoco por otra. A lo anterior se agrega una atrofia de este último conducto.2 En nuestro conocimiento y hasta el momento de escribir este informe, esta anomalía ha sido informada sólo en 10 ocasiones. Hashmonai señaló la necesidad de diferenciarla del quiste de colédoco y del síndrome de Mirizzi.2 Dicho autor comentó dos de los casos citados por él como correspondiente a este síndrome.
En cuanto al tratamiento, es posible que algunos casos se puedan manejar conservando una parte de la vesícula biliar para reconstruir la vía biliar principal como ha sido señalado en diferentes publicaciones y como se suele hacer en algunos casos de fistulas bilio-biliares.2,6 Nosotros consideramos que la diferencia de calibres entre las vías biliares intra-hepaticas dilatadas y el conducto cístico disminuido de calibre exponía a nueva formación de cálculos, que el conservar una parte de la vesícula que ha estado en contacto con cálculos como se ha hecho en algunos casos reportados en la literatura, no es una conducta adecuada puesto que puede favorecer la aparición de un colangio-carcinoma.7 Creemos que la alternativa de la derivación en "Y" de Roux es más adecuada para el manejo de estos casos teniendo en cuenta que existe una buena dilatación de la vía biliar en la unión de los hepáticos. La paciente tiene actualmente dos años ocho meses de evolución asintomática después de su operación.
¿ Conclusión
Esta rara anomalía congénita es difícil de diagnosticarse antes de la intervención quirúrgica y consideramos que derivación en "Y" de Roux es una alternativa para el manejo de estos casos.
Correspondencia: Dr. Juan Gerardo Orea Martínez.
Calle Venustiano Carranza N° 115 - 2, Colonia Puebla Textil. 72470.
Teléfono: 01 (222) 8923
094. Correo electrónico: juanorea45@hotmail.com.
Recibido el 26 de mayo de 2011;
aceptado el 7 de septiembre de 2011.





