¿ Introducción
La actinomicosis hepática primaria (AHP) es una enfermedad infrecuente, con alrededor de 65 casos descritos en la bibliografía a nivel mundial y muy pocos casos documentados en México.1,2 La AHP es una enfermedad crónica granulomatosa,3 caracterizada histopatológicamente por la presencia de gránulos amarillos de 1 mm a 2 mm de diámetro denominados "gránulos de azufre" por su aspecto macroscopico.4,5 Los abscesos se propagan lentamente a partir del órgano afectado a través del tejido conectivo hasta alcanzar la superficie cutánea o de una mucosa, hacia donde se abren formando fístulas que drenan de forma prolongada. Actinomices se refiere a bacterias grampositivas que se identifican con técnica de tinción de acido Gromori Grocott, miden aproximadamente 1 µm de diámetro, son estrictamente anaerobias y requieren temperatura mínima de 30ºC para su crecimiento.4
Aunque forma parte de la flora normal de orofaringe, tracto gastrointestinal y genital femenino, en circunstancias patológicas esta bacteria puede causar enfermedad en el humano. El objetivo del presente informe es dar a conocer un caso de AHP y discutir los aspectos clínicos de esta entidad.
¿ Presentación del caso
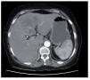
Mujer de 73 años de edad, originaria de San Luis Potosí, México, con antecedentes de tabaquismo, hipertensión arterial, diabetes mellitus e histerectomía 15 años antes de este cuadro clínico. Acudió a consulta manifestando tres semanas de cefalea, nausea, vómito y perdida de peso mayor a 5 kg acompañando a un dolor persistente y progresivo en epigastrio y episodios de fiebre de hasta 39° C. A la exploración física se encontró con el abdomen blando y doloroso a nivel de hipocondrio derecho, sin detectar hepatomegalia ni masas palpables, con perístalsis presente y un ganglio palpable de 1 cm en cadena inguinal izquierda. Los exámenes de laboratorio mostraron leucocitos de 12 800 células/mm3 con una cuenta total de 11 900 polimorfonucleares/mm3 y plaquetas de 140 000/mm3. Otros examenes relevantes incluyeron glucosa de 173 mg/dL, colesterol sérico de 126 mg/dL, albumina sérica de 2.2 gr/dL, bilirrubina total de 7.28 mg/dL bilirrubina indirecta 5.8 mg/dL, fosfatasa alcalina de 383 UI/L, alaninaminotransferasa de 56 UI/L y alfa-fetoproteína 1.17 UI/mL. El examen de seroameba fue positivo a título de 1:32. Ultrasonido de abdomen superior demostró una lesión redondeada de aproximadamente 6 cm de diámetro, con un halo hipoecoico en la periferia de la lesión. La valoración radiológica fue complementada con una tomografía abdominal (Figura 1), la cual demostró múltiples lesiones hepáticas hipodensas con septos en su interior, con bordes que reforzaron con el contraste administrado lo que se interpretó como sugestivo de un absceso atípico. Con los datos obtenidos se decidió realizar una biopsia por aspiración con aguja fina de la lesión hepática. El análisis histológico mostró infiltrado de leucocitos formados por filamentos ramificados moderadamente basofilos dispuestos en forma concéntrica compatibles con las obtenidas por tinción de Gomori Grocott (Figuras 2 y 3), datos compatibles con infección por Actinomices. Con este diagnóstico se inició terapia con base en amoxicilina-clavulanato, por vía intravenosa, a dosis de 875 mg - 125 mg cada 12 horas y administrado por 10 días. Al presentar mejoría clínica satisfactoria la paciente fue egresada y continúo recibiendo tratamiento por vía oral. Su seguimiento clínico al cuarto mes de tratamiento incluyó un ultrasonido, el cual demostró reducción en las dimensiones del absceso a dos por dos centímetros de diámetro; las pruebas de funcionamiento hepático resultaron entonces normales. La paciente se mantuvo en seguimiento en otra institución durante nueve meses refiriéndose asintomática durante todo ese periodo. La paciente falleció luego de 19 meses de seguimiento, documentando como causa de defunción, un infarto agudo del miocardio.
¿ Figura 1. TC con contraste: Múltiples lesiones hepáticas hipodensas, con septos en su interior, compatibles con absceso.
¿ Figura 2. Papanicolaou 20 aumentos: microabsceso con actinomices las colonias de bacterias filamentosas son estrechas, incluidas en una matriz acidófila y con bordes festoneados.
¿ Figura 3. Material obtenido por biopsia por aspiración. Gomori Grocott, 20 aumentos. Colonia de actinomices, bacterias filamentosas delgadas, rodeadas por PMN.
¿ Discusión
La localización de la Actinomicosis puede ser cervicofacial (56%), torácica (15%) o abdominal (22% a 56%). La forma abdominal intestinal se ha descrito con presentación ileocecal (65%) o de recto sigmoides (20%) mientras que la presentación hepática se ha informado en 15% de las afecciones intra-abdominales y representa 5% de los casos con Actinomicosis.5-7 La evolución clínica temprana suele ser silente e inespecífica, con una diseminación a hígado usualmente por vía de la vena porta a partir de una fuente intestinal, aunque también puede ocurrir por extensión directa o diseminación hematógena a través de la arteria hepática. La presencia de dolor abdominal, fiebre, pérdida de peso, anemia y leucocitosis son datos comunes en la presentación abdominal compatibles con la presentación clínica de nuestra paciente.8 El signo clínico más frecuente es la palpación de una masa abdominal, sin encontrarse en todos los casos. Frecuentemente la actinomicosis abdominal ocurre como consecuencia de un traumatismo contuso, perforación intestinal o manipulación quirúrgica, y dadas las características de crecimiento lento de la bacteria pueden pasar años para la aparición clínica de la enfermedad. Se ha descrito también una mayor incidencia de estas infecciones en pacientes inmunosuprimidos.9 En la tomografía computarizada la enfermedad suele aparecer como una masa de patrón sólido o compleja con áreas quísticas, con una pared engrosada hipercaptante a la administración de contraste.9-11 Por radiología, las lesiones con frecuencia se describen como una masa de carácter infiltrativo, extra o intraluminal, acompañada de una llamativa reacción desmoplásica que en ocasiones puede dificultar el diagnóstico diferencial con un proceso maligno. La histopatología que se ha descrito en el absceso hepático por actinomices es infiltrado de leucocitos con pequeños gránulos amarillos ("gránulos de azufre"), que están formados por filamentos ramificados moderadamente basofilos dispuestos en forma concéntrica compatibles con las obtenidas por tinción de Gomori Grocott (Figuras 2 y 3). El tratamiento de elección es la penicilina. En la mayoría de los informes se acepta el antibiótico sea administrado por vía intravenosa durante dos a seis semanas reservando periodos mas largos para pacientes con cuadro clínico mas grave y la vía oral por seis a 12 meses de acuerdo a la evolución y resolución de las lesiones por estudios de imagen.6,9 Nuestra paciente recibió nueve meses de tratamiento, con resolución satisfactoria de los síntomas y normalización de los parámetros de laboratorio observados durante el periodo de seguimiento.
Consideramos que la actinomicosis hepática debe incluirse en el diagnóstico diferencial como causa poco frecuente de abscesos piógenos o lesiones ocupantes del hígado, incluyendo lesiones sospechosas para un origen neoplasico, que puede ser considerada particularmente en pacientes con inmunosupresión, sin ser la regla. La tomografía computarizada es el estudio de imagen de mayor utilidad para la evaluación inicial, confirmando el diagnóstico con la realización de punción percutánea y las tinciones histológicas apropiadas. Es importante tener en cuenta que Actinomices son bacterias de crecimiento lento que pueden permanecer en los tejidos por años, por lo que el tiempo exacto de antibioticoterapia no esta claramente esablecido, aceptándose que deberá administrarse por tiempo prolongado y ajustado de acuerdo a la evolución clínica de cada paciente, tomando en cuenta que pacientes diabéticos evolucionan favorablemente como el caso que presentamos.
Correspondencia: Dr. Manuel Alejandro Martínez Vázquez.
Gonzalitos y Madero S/N Edificio Barragán, Segundo Piso.
Teléfono: (81) 8333-3664.
Correo electrónico: mamv90@yahoo.com
Recibido el 20 de octubre de 2009;
aceptado el 23 de abril de 2010.





