¿ Presentación del caso
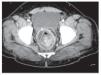
Hombre de 48 años de edad, con antecedente de drenaje de un absceso perianal a los 38 años y un segundo drenaje perianal una semana previa a su ingreso, con pérdida de peso de 20 kg en los últimos seis meses. Refería cuadro de dolor al evacuar, disminución del calibre de las evacuaciones y sangrado transrectal de características rojo fresco rutilante. La colonoscopia reportó una lesión que ocluía más de 50% de la luz intestinal a nivel rectal. La tomografía computarizada reveló una lesión intraluminal que abarcaba desde ano hasta tercio medio de recto (Figura 1). Al paciente se le realizó una resección abdomino-perineal por el grado de invasión a órganos vecinos sin complicaciones (Figura 2). El análisis histopatológico con inmunohistoquímica demostró que el tumor estaba compuesto por células pleomórficas, con atipia y no identificó melanina (Figura 3, tinción de HE, 100 aumentos). Las células neoplásicas expresaban HMB-45 de forma intensa y difusa, compatible con un melanoma (Figura 4). El enfermo fue dado de alta al cuarto día postoperatorio, siendo referido al servicio de oncología.
¿ Figura 1.Imagen tomográfica pélvica, con lesión intraluminal a nivel de recto.
¿ Figura 2.Pieza quirúrgica.
¿ Figura 3.Corte histológico del tumor, con tinción de HE, 100 aumentos.
¿ Figura 4. Células neoplásicas con expresión de HMB-45, compatible con melanoma.
Los melanomas malignos son una entidad muy rara y representan menos de 1% de los tumores malignos colorrectales, pudiendo ser lesiones pigmentadas (melanóticas) o sin pigmento (amelanóticas) lo que ocurre en poco menos de 30% de los casos. El síntoma más común es el sangrado. Mientras que la resección local en comparación con la resección abdomino-perineal no ha demostrado una diferencia significativa en la sobrevida de estos pacientes.
Correspondencia: Dr. Quintín Héctor González.
Delegación Tlalpan, 14000, México, D. F.
Teléfono:(55) 5487 0900 Extensión: 2142 Fax: (55) 5573 9321.
Correo electrónico: quinhec@hotmail.com, jesusbahena10@hotmail.com.
Recibido el 24 de junio de 2010;
aceptado el 30 de julio de 2010.






