¿ Introducción
El pólipo mioglandular inflamatorio (PMGI) o pólipo de Nakamura, es un tipo raro de pólipo no neoplásico del intestino grueso.1 Se trata de un pólipo con tejido inflamatorio de granulación en el estroma, proliferación del músculo liso y glándulas hiperplásicas, ocasionalmente con dilatación quística. La etiología de este tipo de pólipo es desconocida, pero podría implicar traumatismo crónico ocasionado por el residuo fecal y alteraciones en la motilidad.2 El PMGI puede ser asintomático o mostrar síntomas inespecíficos como sangre oculta en heces, hematoquezia o anemia crónica. Su patogénesis e historia natural aún son inciertas, pero se cree que su patrón histológico lo hace una entidad distinta.3 Por abordaje endoscópico, se ha descrito como pedunculado, con superficie lisa, rojiza, con erosión parcial y en ocasiones lobulado.4
Presentamos el caso de un hombre joven que presentaba hematoquezia como motivo de consulta, en quien se diagnosticó un PMGI en colon descendente.
¿ Presentación del caso
Hombre de 33 años, con hemorragia digestiva baja intermitente, de tres meses de evolución, acompañada de pérdida de peso intencional no cuantificada. Al interrogatorio informó consumir bebidas alcohólicas en forma ocasional y tabaquismo negativo. No manidestó antecedentes personales patológicos, quirúrgicos, alérgicos ni traumáticos. A la exploración física el abdomen se encontró blando, depresible, sin dolor ni masas palpables. El resto de la exploración física general no mostró hallazgos relevantes.
Se realizó una colonoscopia, encontrando pólipo en colon descendente, de aproximadamente 7 cm de longitud, con ulceración y fibrina en su superficie, friable, del que se tomaron múltiples biopsias (Figura 1). Durante el procedimiento endoscópico se marcaron los bordes de la lesión con tinta china.
¿ Figura 1.Pólipo a 70 cm del margen anal, de más de 7 cm de longitud, de superficie lobulada, con una ulceración y fibrina en su extremidad distal (flecha).
El análisis histopatológico de las biopsias informó un adenocarcinoma bien diferenciado, por lo que se decidió realizar cirugía con resección segmentaria de colon izquierdo incluyendo ganglios regionales, con anastomosis primaria termino-terminal del colon transverso con sigmoides (Figura 2). La evolución postoperatoria fue satisfactoria, presentando al sexto día una colección no purulenta en el extremo distal de herida quirúrgica que se drenó sin complicaciones, con cierre por segunda y retiro del resto de los puntos en el décimo segundo día del posoperatorio.
¿ Figura 2. Imagen macroscópica de pieza quirúrgica, con pólipo de 2 cm de grosor y tallo de 10 cm de longitud.
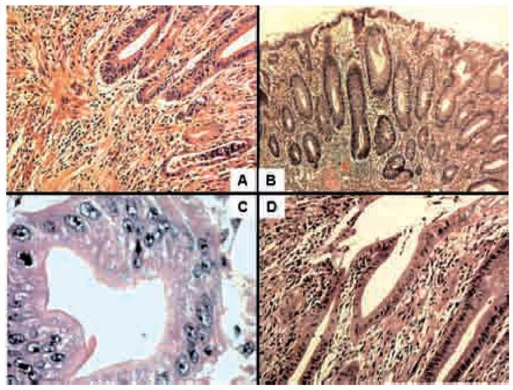
El examen histopatológico definitivo de la pieza quirúrgica mostró un pólipo mioglandular inflamatorio de 10 cm de longitud, sin evidencia de adenocarcinoma (Figura 3).
¿ Figura 3.Corte histológico mostrando proliferación del músculo liso en el centro del pólipo, desde la muscularis mucosae, con extensión radial hacia la lámina propia A, criptas glandulares que conservan su arquitectura con cambios regenerativos B, atipia celular regenerativa C, superficie apical del pólipo con ulceración y tejido de granulación D.
Seis meses después de la cirugía, presentó un cuadro oclusivo intestinal que ameritó nueva laparotomía sin resección intestinal, con evolución postoperatoria satisfactoria. Durante 12 meses de seguimiento, no ha presentado hemorragia digestiva baja y se mantiene asintomático.
¿ Discusión
El PMGI o pólipo de Nakamura fue descrito en 1992, con la publicación de 32 casos de pólipos solitarios no neoplásicos en colon izquierdo, cuyo único signo (presente en menos de la mitad de los pacientes), consistía en hemorragia digestiva baja.2
Por histología, se caracteriza por: a) la presencia de tejido inflamatorio de granulación en lámina propia de la mucosa; b) la proliferación del músculo liso en el centro del pólipo desde la muscularis mucosae con extensión radial hacia la lámina propia, y c) glándulas hiperplásicas ocasionalmente con dilatación quística.
El PMGI es solitario, predominantemente pediculado y sigue un curso benigno. De acuerdo a Fujino y colaboradores4 la mitad de los casos se presentan como hemorragia digestiva baja, ya sea como sangre oculta en heces (29%) o hematoquezia (23%). Es inusual que se presenten con dolor abdominal, estreñimiento o anemia. La endoscopia revela un pólipo solitario, pediculado o semipediculado, rojo, con superficie lisa, esférica, con erosión y exudado mucoso en parches. La mayor parte de los pólipos se han descrito en el recto-sigmoides y con menor frecuencia en el colon descendente y transverso.5 Sin embargo, luego de alrededor de 60 casos informados desde 1992,6 recientemente se publicó el primer caso de PMGI sésil en el ciego.3 El PMGI varía ampliamente en tamaño y existen varios reportes de pólipos mayores de 6 cm, como el que aquí presentamos (>10 cm)7,8 el cual consideramos que era demasiado grande para una resección endoscópica por lo que fue tratado quirúrgicamente.
El PMIG no tiene ninguna asociación con las enfermedades inflamatorias intestinales. Habitualmente los pólipos juveniles no presentan hiperplasia de la muscularis mucosae, mientras que los pólipos que se presentan en el síndrome de Peutz-Jeghers nunca contienen un estroma con inflamación, por lo que el PMGI puede ser distinguido de estas dos entidades.1 Es necesario diferenciar al PMGI del pólipo juvenil, pues en este último se observa recurrencia después de la resección endoscópica. Es importante destacar que el diagnóstico definitivo depende del estudio histopatológico del pólipo completo, como sucedió en este caso donde la primera biopsia se interpretó como adenocarcinoma debido a la atipia regenerativa. El PMGI no se ha asociado hasta esta fecha a malignidad.
En el PMGI el tamaño, la localización y la ausencia de pedículo pueden imposibilitar la resección endoscópica.3,7 Además, en el caso que aquí presentamos, el diagnóstico de adenocarcinoma referido en el primer estudio junto con las características de la lesión, determinaron que optáramos por un tratamiento quirúrgico en nuestro paciente.
Concluimos que el PMIG es un tipo raro de pólipo no neoplásico del colon, que suele manifestarse por hemorragia, con características que dificultan la resección endoscópica y que puede causar confusión en el análisis histopatológico debido a la atipia glandular que presenta, aunque no se asocia al desarrollo de cáncer.
Correspondencia: Dr. Jorge Arturo Vázquez Reta.
Ojinaga 811-2, Colonia Centro, C.P. 31000, Chihuahua, México.
Teléfono: 614-416-1022, Fax: 61 4418 5114.
Correo electrónico: dr_vazquezreta@hotmail.com
Recepción agosto 30 de 2010;
aceptado octubre 13 de 2010.





