Introducción
La resección hepática es el tratamiento de elección para la mayoría de las lesiones primarias malignas o metastásicas.1-3 Desafortunadamente, la gran mayoría de los pacientes presentan lesiones no resecables debido a la presencia de cirrosis, una reserva hepática pobre, enfermedad multicéntrica, bilobular y/o debido a las malas condiciones clínicas del paciente al momento del diagnóstico.4 En los últimos años se han descrito diferentes terapias ablativas alternas como la inyección percutánea de alcohol, la ablación tumoral con crioterapia, microondas y radiofrecuencia, entre otras.5-15 Esta última es la que ha adquirido mayor aceptación en el mundo en los últimos años.
El principio básico de la ablación por radiofrecuencia (AR), consiste en la emisión de ondas de radio a partir de un generador de corriente alterna productor de calor (temperatura cercana a los 60º C), ocasionando la necrosis coagulativa del tejido. Este procedimiento puede ser realizado por abordaje percutáneo, laparoscópico o mediante laparotomía. Se ha informado que la AR es una forma de manejo que resulta segura, bien tolerada y efectiva como tratamiento en lesiones neoplásicas primarias o metastásicas irresecables menores a 6 cm de diámetro. 5,6,16-19
El objetivo de este trabajo es conocer la morbilidad y mortalidad asociadas al empleo de AR en pacientes con neoplasias hepáticas primarias y metastásicas en dos instituciones de salud en México.
Material y métodos
Se realizó un análisis retrospectivo de los expedientes clínicos y base de datos de los pacientes con diagnóstico de "neoplasias hepáticas primarias y/o metastásicas" en el Departamento de Gastroenterología del Instituto Nacional de Cancerología y en el Departamento de Cirugía del Centro Médico ISSEMyM durante el periodo de septiembre de 2002 a agosto 2006
Se incluyeron a todos los pacientes que contaran con historia clínica completa, pruebas de funcionamiento hepático, marcadores tumorales (alfa-fetoproteína, antígeno carcino-embrionario, CA 19-9) y ultrasonografía (USG) y/o tomografía computadorizada (TC) de abdomen. En casos seleccionados se contaba con estudios de resonancia magnética (RM), tomografía con emisión de positrones (PET SCAN) o ambos.
La biopsia hepática se obtuvo en la mayoría de los casos al momento de la ablación tumoral y su abordaje se decidió con base en la localización, tamaño, número y circunstancias de la lesión tumoral, así como la situación subcapsular de la lesión. El abordaje percutáneo se realizó en lesiones menores a 5 cm en pacientes con pobre reserva hepática, entre los que se incluían aquellos con coagulopatía corregible, plaquetopenia, lesiones múltiples, lesiones con localización de difícil acceso quirúrgico o que requerían resección de grandes cantidades de parénquima hepático en pacientes con función hepática subóptima. El abordaje por laparotomía se realizó en lesiones que por métodos de imagen preoperatoria fueron considerados como "resecables" y que durante la exploración no pudieron ser resecados. En este grupo de pacientes se incluyeron aquellos en quienes la ablación se empleó como terapia adyuvante a la resección hepática. Por último, el abordaje laparoscópico resultó factible en lesiones menores a 5 cm ubicadas en segmentos anteriores del hígado (II, III, IV, V, VI) de acuerdo a la clasificación de Coniaud, ahora llamados "segmentos laparoscópicos".
El equipo de radiofrecuencia utilizado es un modelo "Elektrotom 106-Hitt" Integra® (Live Scientifics Ltd. en Tuttlingen, Alemania), que consta de un generador de corriente, bomba de inyección para jeringa de plástico de 50 mL, carro con barra de infusión, conexión de red, botón de función para inicio/parada de energía de alta de frecuencia y flujo salino. Además consta de una aguja perforada para la solución de cloruro de sodio al 0.9%, con un diámetro exterior de 1.2 mm y una longitud del mango de 100,150 o 200 mm.
Todos los pacientes fueron estudiados bajo el mismo protocolo de selección de tratamiento, siendo delimitado y establecido por el mismo equipo médico.
Se analizaron variables epidemiológicas como edad y género, clasificación histológica, estadio clínico al momento del diagnóstico mediante la clasificación de Okuda, forma de abordaje, tamaño y número de la lesión, número de sesiones realizadas, estancia hospitalaria, morbilidad y mortalidad presentada durante el procedimiento, respuesta clínica, bioquímica y tomográfica, así como supervivencia de los pacientes mediante la obtención de las curvas de Kaplan-Meier. El resto de las variables fueron procesadas a través del uso de estadística descriptiva con medidas de tendencia central.
Resultados
Fueron diagnosticados 150 pacientes con neoplasias hepáticas malignas durante el periodo de estudio. De ellos, se identificaron 30 pacientes quienes fueron tratados mediante AR en 35 sesiones. Dieciocho pacientes eran mujeres (60%) y 12 hombres (40%). La edad promedio fue de 62 años (rango 41-83 años).
La neoplasia más común fue el hepatocarcinoma, detectado en 18 pacientes (60%) (Tabla 1). El tamaño promedio de las lesiones fue de 5.59 cm (rango 2 a 20 cm). Veintinueve pacientes (96.6%) presentabaron lesiones < 7 cm y sólo uno tuvo una lesión mayor. El número de lesiones varió de 1 a 8 (promedio 1.7). Dieciocho pacientes presentaban una lesión, nueve pacientes dos lesiones, un paciente tres lesiones, un paciente seis lesiones y ocho lesiones en un paciente. El tiempo promedio de ablación tumoral fue de 30.2 minutos (rango de 5 a 50 min). La duración del tiempo fue ajustada de acuerdo al tamaño de la lesión y con base en las modificaciones observadas mediante el uso de ultrasonido intraoperatorio. En 26 pacientes (86.6%) se realizó una sesión, en tres pacientes dos sesiones y en un paciente tres sesiones. Se llevaron a cabo 19 procedimientos por laparotomía, siete por abordaje percutáneo y cuatro por laparoscopia (Figura 1). Estos procedimientos se realizaron en forma ambulatoria en ocho pacientes y en el resto se requirió de una estancia hospitalaria de 3 días en promedio (rango de 2 a 5 días).
Figura 1. Imagen trans-operatoria en un paciente con cirrosis hepática y hepatocarcinoma
Las indicaciones para la realización de AR fueron las siguientes: presencia de cirrosis con reserva hepática funcional pobre en 18 pacientes (60%), enfermedad bilobular en seis pacientes (20%), localizaicón proximal a estructuras vasculares o segmentos inaccesibles en cinco casos (16.6%) y en un caso (3.3%) como tratamiento de paliación.
Dos pacientes presentaron complicaciones menores (6.6%): fiebre con dolor abdominal en un caso y en el otro, equimosis y fiebre. No se registraron muertes en el periodo perioperatorio.
La evaluación de la respuesta al tratamiento se realizó por medio de tomografía computadorizada y marcadores tumorales. Se observó una respuesta total en 33.3% de los casos con evidencia de necrosis tumoral en más del 70% de la lesión mediante el uso de tomografía dinámica (Figura 2 y 3). En 66% de los pacientes hubo disminución significativa de los niveles séricos del marcador tumoral (alfa-fetoproteína o antígeno carcinoembrionario). Los niveles iniciales promedio de alfa-fetoproteina fueron de 169,122 ng/mL (rango 2 a 1 349 200 ng/mL) que contrastaron con los niveles promedio postratamiento de 35,081 ng/mL (rango: 2 a 463 000 ng/mL). Cabe mencionar que en esta serie de pacientes no se utilizó tratamiento neoadyuvante o adyuvante.
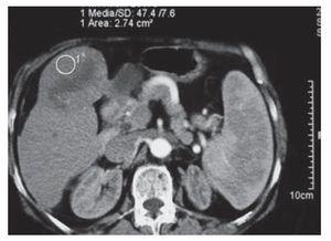
Figura 2. Tomografía de hígado donde se observa hepatocarcinoma unifocal en el segmento IV del hígado al momento del diagnóstico
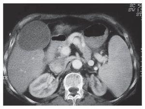
Figura 3. Tomografía de hígado donde se observa al mismo paciente un mes después de la ablación por radiofrecuencia
El seguimiento promedio del grupo estudiado fue de 18 meses (rango 1-28 meses). Luego de este periodo 23 pacientes permanecían vivos: 17 sin actividad tumoral (56.6%) y seis presentaban regresión parcial de la enfermedad (20%). Siete pacientes habían fallecido (20%), todos con progresión tumoral la cual se manifestó en el sitio original de la lesión, de manera contra-lateral y en forma de metástasis ganglionares.
La supervivencia global obtenida en estos pacientes fue de 18 meses (rango 3.6 a 28.2 meses) (Figura 4), la cual varió según el tamaño tumoral. La sobrevida promedio en pacientes con tumores < 10 cm fue de 14 meses y de un mes en pacientes con tumores > 15 cm.
Figura 4. Curva de supervivencia muestra 20% a un año y 10% a dos años
DiscusiónLas neoplasias malignas primarias o secundarias de hígado que no son factibles a resección quirúrgica, pueden ser tratadas mediante el empleo de quimioterapia, radioterapia, trasplante hepático o con el uso de los nuevos tratamientos ablativos (inyección percutánea de etanol, crioterapia, microondas, quimioembolización trans-arterial, radioterapia intra-arterial o radiofrecuencia).5-15
Las terapias ablativas tienen múltiples ventajas sobre las formas convencionales de manejo. Éstas pueden ser realizadas en forma ambulatoria, preservan el parénquima hepático minimizando la posibilidad de insuficiencia hepática postoperatoria, poseen una morbilidad y mortalidad reportada baja en diferentes series en el mundo y su costo es accesible. De manera general, estas terapias se utilizan en lesiones < 5 cm de diámetro,11-13 ocasionando necrosis coagulativa celular a través de diversos mecanismos de acción.7-10 En México la experiencia es escasa y el primer caso fue descrito por nuestro grupo.18 En nuestro hospital se realizan los tres abordajes, observando en nuestra serie con mayor frecuencia el intraoperatorio, debido a su aplicación como tratamiento adyuvante a la resección hepática, especialmente en pacientes con metástasis en quienes se realiza resección de un lóbulo y ablación tumoral de lesiones en el lóbulo contralateral.20,21 Curley y colaboradores22 señalan que mediante este abordaje se obtiene un mayor conocimiento y se determina la etapa en que se encuentra la enfermedad, permitiendo la observación de lesiones satélites menores a 1 cm (frecuentemente observadas en pacientes con hepatocarcinomas), con excelentes resultados a largo plazo en el control local de la enfermedad. En cambio, el abordaje percutáneo no permite la detección de lesiones pequeñas ni la correcta etapificación de la enfermedad.23 Sin embargo, la vía percutánea es ideal en pacientes con cirrosis hepática y pobre reserva hepática (Child-Pugh B o C) en donde se diagnostican de 1 a 3 lesiones menores a 5 cm. Generalmente, se realiza en forma ambulatoria bajo sedación teniendo la ventaja de poder repetirse en caso de ablación incompleta o recurrencia tumoral.24,25 El trasplante hepático, que también es una buena alternativa de manejo para este grupo de pacientes, tiene el inconveniente de los largos tiempos de espera y la consiguiente mortalidad pre-trasplante.
Las complicaciones más frecuentes de la AR son fiebre, dolor localizado en el cuadrante superior derecho, derrame pleural asintomático y alteración de las enzimas hepáticas. Otras complicaciones informadas son hemorragia, ascitis, mioglobinuria, trombocitopenia y hemobilia. En nuestra serie sólo se presentaron dos complicaciones (6.6%), dolor más fiebre en un paciente y equimosis más ascitis en otro, de consideración clínica menor, recibiendo manejo médico.
La mortalidad informada en relación a éste procedimiento es menor al 1% en diversos estudios, siendo las causas más comunes la falla hepática, la sepsis por abscesos intra o perihepáticos o la perforación por necrosis de estructuras adyacentes como colon o diafragma. En nuestra serie no se evidenció mortalidad relacionada al procedimiento.
Para evaluar la respuesta a la ablación tumoral pueden utilizarse el ultrasonido, la tomografía o la resonancia magnética. El ultrasonido es el que ofrece mayores ventajas dado su bajo costo, factibilidad de realización y que es un estudio no invasivo. El seguimiento con tomografía helicoidal se recomienda realizarse durante la primera semana, al mes y cada tres meses durante dicho periodo. Estos estudios junto con los marcadores tumorales, permiten detectar oportunamente la recurrencia o persistencia tumoral que puede ser tratada mediante una segunda sesión de tratamiento.27-29
En la actualidad, la ablación tumoral con radiofrecuencia no se recomienda en tumores mayores a 7 cm de diámetro, en presencia de enfermedad tumoral extra-hepática, pacientes con reserva hepática pobre (Child-Pugh C) o que se encuentren en malas condiciones generales o con infección activa.17-19
Los resultados a largo plazo publicados a la fecha en pacientes con hepatocarcinomas menores a 5 cm demuestran buen control local, baja tasa de recurrencia y probablemente supervivencias similares a las obtenidas por medio de la resección quirúrgica.28,30 Sin embargo, aun es difícil comparar los resultados con otras terapias regionales o locales, debido a las diferencias en la selección del paciente, tipo de tumor y el tiempo corto de seguimiento.
A la fecha no existe en México un estudio publicado, con una cantidad similar de pacientes, por lo que consideramos esta serie de relevante interés e importancia clínica, con resultados satisfactorios promisorios. Sin embargo, deben realizarse estudios prospectivos con un mayor número de pacientes.
Conclusiones
La ablación tumoral por radiofrecuencia es un procedimiento que permite el control local de la enfermedad con resultados satisfactorios, cuando la resección quirúrgica no resulta factible. De acuerdo con nuestros resultados, la AR parece ser especialmente útil en pacientes con lesiones menores a 7 cm que no resultan candidatos a resección hepática.
Correspondencia: Dr. Ricardo Mondragón-Sánchez. Av. Hidalgo No. 411. Colonia Centro. Toluca, Estado de México C.P. 50000. Teléfono: (722) 2-13-42-32. Fax: (722) 2153538.
Correo electrónico:rymmondragon@aol.com
Fecha recibido: 14 enero 2009 Fecha aprobado: 26 mayo 2009







