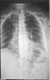
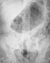
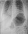
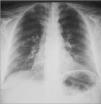
A 65-year-old woman had a past history of diabetes mellitus of 14-year progression, high blood pressure since 2006, and diabetic neuropathy. For the last year, she presented with postprandial fullness and burping that improved with metoclopramide. On June 26, 2012, the patient became dizzy and fell, resulting in trauma to the left hypochondrium and the last costal arcs. She began to have intense pain at that site and limited respiratory movements. Chest x-ray was normal (fig. 1). She received diclofenac but did not improve. A rib fracture was suspected and blockade was performed. The pain persisted and 2 days later she presented with predominantly left upper abdominal bloating, increased pain, and abundant burping, and so she went to the emergency department. Physical examination revealed BP 125/80, HR 88/min, left basal hypoventilation, asymmetric abdomen with important distension in the epigastrium and left hypochondrium. She had pain upon palpation and tympanism, negative decompression, and peristalsis was present. Laboratory work-up reported: Hb 11.6g/dl, leukocytes 8400/mm3, glucose 193mg/dl, platelets, serum urea and creatinine, electrolytes, amylase, lipase, and CPK were normal. ECG was normal. Plain abdominal x-ray (PAX) showed sudden gastric dilation with thin walls, no fluid and no air (figs. 2 and 3). An NG tube was placed and 6h later the pain and distension were reduced. Another PAX showed a normal-sized gastric chamber (fig. 4).
The exact causes of gastric dilation are not fully understood. This condition has been seen in cases of eating disorders, hiatal hernia volvulus, electrolyte abnormalities, superior mesenteric artery syndrome, and trauma.1 The present case was a patient that developed gastric dilation secondary to trauma, which according to present theories, is explained by compression of the celiac ganglion causing an inhibitory vagal reflex, thus conditioning the gastric chamber dilation.2
Ethical responsibilitiesProtection of persons and animalsThe authors declare that no experiments were performed on humans or animals for this study.
Data confidentialityThe authors declare that they have followed the protocols of their work center in relation to the publication of patient data.
Right to privacy and informed consentThe authors have obtained the informed consent of the patients and/or subjects referred to in the article. This document is in the possession of the corresponding author.
Financial disclosureNo financial support was received in relation to this study.
Conflict of interestThe authors declare that there is no conflict of interest.
Please cite this article as: Rodríguez-Jacobo S, Jacobo-Karam JS, Valencia-Pérez G. Dilatación gástrica aguda posterior a traumatismo. Revista de Gastroenterología de México. 2016;81:48–50.






