¿ Introducción
La amibiasis cutánea es una infestación de la piel por Entamoeba histolytica, debida a las enzimas citolíticas que produce.1 La amibiasis continúa siendo un problema de salud en México, su frecuencia varía dependiendo del grupo de población estudiado. En términos generales, se consideran los siguientes porcentajes promedio sobre la población total en nuestro país: 20% de portadores, 2% de enfermos, 5.9% de individuos seropositivos y 0.1% a 0.2% de fallecimientos en los individuos enfermos.2 La distribución de la amibiasis cutánea es mundial, pero prevalece en los países con clima tropical. Su frecuencia varía de 0.03 a 0.07%.3,4 En México, Jiménez (1872), describió por primera vez un caso de amibiasis cutánea, secundaria al drenaje de un absceso hepático.5 Sin embargo, se atribuye a Nasse (1892), la primera comunicación mundial de las lesiones cutáneas amibianas. Latapí (1949) describió el primer caso de amibiasis cutánea perianal con lesiones nasales concomitantes, en el Hospital General de México.6
Informamos dos casos de pacientes adultos con amibiasis cutánea perianal, uno de ellos atendido en el Hospital Juárez de México y el otro en el Hospital Ángeles Lindavista.
¿ Caso clínico No 1
Hombre de 58 años de edad, casado, chofer, originario del estado de Puebla, con antecedente de tabaquismo desde los 18 años de edad, alcoholismo desde los 22 años de edad y deficiente higiene con el hábito de bañarse para aseo corporal cada 8 o 15 días.
Su padecimiento se inició seis meses antes con secreción serohemática fétida en región perianal, ardor y prurito anal, así como dolor punzante en esta región, que en ocasiones le impedía el estar sentado. A la exploración proctológica se encontraron dos lesiones vegetantes ulceradas, abscedadas y sangrantes con olor fétido, ubicadas en la región perianal, en los cuadrantes anterior derecho y anterior izquierdo, de aproximadamente un centímetro de diámetro la primera y de 1.5 cm de diámetro la segunda (Figura 1). Dentro de sus exámenes de laboratorio, la citología hemática y la química sanguínea fueron normales. En el examen general de orina se observaron leucocitos en número de 10 a 15 por campo y bacteriuria. El estudio de rectosigmoidoscopia reportó una colitis inespecífica. En el coproparasistoscópico se identificaron quistes de Entamoeba histolytica y la reacción inmunológica para amiba (hemaglutinación indirecta) fue positiva. La prueba para virus de inmunodeficiencia humana (VIH) fue negativa.
¿ Figura 1. Úlceras perianales amibianas en uno de los pacientes.
Con la finalidad de descartar la presencia de un carcinoma epidermoide anal, se realizó biopsia de la lesión exofítica y el estudio histopatológico reportó amibiasis cutánea (Figura 2). El paciente fue tratado con metronidazol 500 mg vía oral cada ocho horas durante 10 días y baños de asiento en agua tibia tres veces al día, observándose remisión de las lesiones, después de tres semanas.
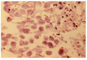
¿ Figura 2. Microfotografía a mediano aumento, con hematoxilina y eosina, en donde observan trofozoítos de Entamoeba histolytica en una úlcera cutánea perianal.
¿ Caso clínico No 2
Hombre de 75 años de edad, viudo, campesino, originario del estado de Guanajuato. Antecedentes de tabaquismo y alcoholismo positivos desde los 20 años de edad y deficientes hábitos de higiene con baño para aseo corporal total una a dos veces por semana.
El padecimiento se inició diez días antes, con evacuaciones diarreicas en número de cuatro a cinco al día, de color amarillento con dolor intenso en la región anal y dos días antes de su atención presentó rectorragia al final de la evacuación. A la exploración proctológica se encontró una lesión ulcerada de localización lateral derecha en relación con la apertura anal de un centímetro de diámetro aproximadamente, con secreción hematopurulenta y con una lesión exofítica en esa misma localización de 0.5 cm. de diámetro. La citología hemática, la química sanguínea y el examen general de orina se encontraron sin alteraciones. El estudio de coproparasistoscópico en serie de tres muestras reportó quistes de Entamoeba histolytica, la prueba de VIH fue negativa y la de hemaglutinación indirecta para amiba fue positiva. La rectosigmoidoscopía mostró una colitis inespecífica con hiperemia de la mucosa.
Se realizó biopsia de la lesión exofítica, con el reporte histopatológico de amibiasis cutánea (Figura 3). Se dio tratamiento al paciente con metronidazol 500 mg vía oral cada ocho horas por diez días y baños de asiento tres veces al día con agua tibia, con remisión de los síntomas y de las lesiones a los 15 días.
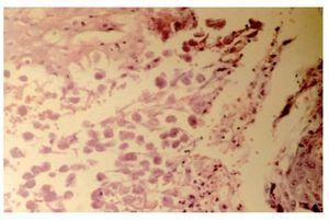
¿ Figura 3. Microfotografía a gran aumento, hematoxilina y eosina, de trofozoítos de Entamoeba histolytica hematófagos en úlcera cutánea perianal.
¿ Discusión
La amibiasis cutánea es una enfermedad poco frecuente que se debe al daño en la piel y los tejidos subyacentes ocasionado por trofozoítos de Entamoeba histolytica ya que las formas quísticas del protozoario, no tienen capacidad invasiva.3,4 La amibiasis cutánea perianal generalmente se produce por la invasión directa de la amiba en excoriaciones dérmicas o fisuras en la región anal y perianal; se considera que la piel sana no es susceptible de la invasión del trofozoíto. Este mecanismo de invasión directa de la amiba hacia la piel también se ha observado en abscesos hepáticos amebianos rotos hacia la piel de la pared abdominal o en fístulas enterocutáneas o en colostomías. En el caso de la amibiasis de la región anal o genital, la amiba puede provenir del tubo digestivo del mismo individuo o puede ser inoculada por otra persona por contacto directo.7 También puede ocurrir autoinoculación local o a distancia. En el caso de amibiasis cutánea de otras localizaciones también han sido descritas las vías hematógena y linfática.3
La enfermedad afecta a ambos sexos por igual, es más común en adultos pero se han reportado casos en niños y ancianos.8,9 Existen algunas condiciones que pueden favorecer la aparición de amibiasis cutánea perianal como: desnutrición, diabetes mellitus, colitis amebiana tratada de manera inadecuada, mala higiene local, infecciones crónicas y el síndrome de insuficiencia adquirida humana.7
Desde el punto de vista anatomo-clínico la amibiasis cutánea tiene las siguientes características: 1) proceso destructivo rápido, con actividad variable en las diferentes zonas del margen, el cual se torna irregular, debido a la diferente velocidad de destrucción y regeneración; 2) existe un borde libre de piel necrótica del que puede exprimirse material sanguino purulento; 3) las lesiones por lo general son muy dolorosas; 4) alrededor de la lesión se presenta un halo eritematoso de intensidad variable, que cambia gradualmente de color rojo obscuro al color de la piel normal; y 5) el fondo de la úlcera está constituido por tejido de granulación indoloro cubierto de material necrótico y exudado hematopurulento.5,8 En los casos graves el proceso destructivo y la infección agregada pueden incluso causar la muerte del paciente.5
El diagnóstico definitivo de amibiasis cutánea se establece con el hallazgo de los trofozoítos de Entamoeba histolytica. Los trofozoítos pueden ser encontrados en el exudado purulento de las úlceras, mediante examen directo al microscopio en platina caliente o en la biopsia de piel, en donde se identifican trofozoítos hematófagos.9
Las pruebas inmunológicas como la fijación de complemento, hemaglutinación indirecta, reacción de anticuerpos monoclonales fluorescentes, electroinmunotransferencia en gel y la reacción en cadena de la polimerasa, son también de utilidad para establecer el diagnóstico.1,3 Es recomendable realizar cultivos para bacterias aerobias y anaerobias para tratar la infección asociada.
El diagnóstico diferencial debe realizarse con enfermedades como el pioderma gangrenoso, tuberculosis cutánea, linfogranuloma venéreo, sífilis, condilomatosis acuminada, leishmaniasis, micosis profunda y carcinoma.1
El tratamiento de la amibiasis cutánea perianal se basa en la utilización de fármacos con actividad antiamibiana extra-luminal como el metronidazol a dosis de 30 a 40 mg/kg por día durante siete a 10 días sin exceder dos gramos diarios o la dihidroemetina a dosis de 1.5 mg/kg por día durante siete a 10 días sin exceder 90 mg por día, sin olvidar que este último fármaco tiene efectos cardiotóxicos.1,10 Dentro de las medidas de prevención se debe evitar el contacto con las lesiones amibianas ya que puede haber contagio de la enfermedad. Asimismo deben recomendarse medidas de higiene después de la evacuación y en el manejo de los alimentos.
¿ Conclusiones
Aunque la amibiasis continúa siendo un problema de salud en México, la amibiasis cutánea perianal es una entidad poco frecuente. No obstante, debe sospecharse el diagnóstico, ante la presencia de lesiones ulceradas dolorosas en esta región. El diagnóstico definitivo, debe realizarle mediante la identificación de la Entamoeba histolytica en las lesiones y debe establecerse el tratamiento mediante la administración de antiamibianos de acción extra-luminal.
Correspondencia: Dra. Gayne Ruby Medina Murillo.
Rio Bamba 639, Col. Magdalena de las Salinas, 07760 México, D.F. México.
Teléfono: 5754 8504 y 5754 8408.
Correo electrónico: ruby_derma@hotmail.com
Recibido el 30 de agosto de 2010;
aceptado el 21 de septiembre de 2010.





