Introducción
El angiomixoma fue descrito en 1982, y existen pocos casos informados en la literatura mundial.1 Es una neoplasia de partes blandas, proveniente del miofibroblastos que afecta con mayor frecuencia a los órganos contenidos en la pelvis y periné.1 Sin embargo ésta puede presentarse en otros sitios anatómicos, como previamente se han descrito en los pulmones, tracto gastrointestinal, piel y extremidades.2-7 Se presenta con mayor frecuencia en mujeres en edad reproductiva con una proporción de 6:1, sin exentarse del género masculino.2,8,11 En el estudio de inmunohistoquímica puede ser positivo el CD 34.12-13 Tiende a ser un tumor de crecimiento lento y en la mayoría de los casos no se puede realizar una resección completa, por lo que tiene una alta probabilidad de recurrir.1-2 Asimismo, por su poca prevalencia, es frecuente que se le otorgue un diagnóstico erróneo, tal como neoplasia ginecológica maligna.2
Informe del caso
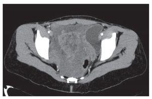
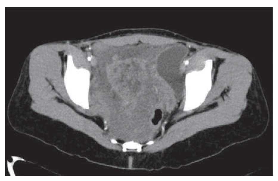
Mujer de 41 años de edad, sin antecedentes, que consultó por historia de dolor pélvico difuso, de baja intensidad, no irradiado, de ocho meses de evolución. Al examen físico se encontró una masa adherida a planos profundos y poco dolorosa a la palpación. Se le realizó una tomografía computadorizada que informó una extensa neoplasia pélvica de características malignas, que se extendía hasta el espacio isquiorectal, con desplazamiento y compresión de la vejiga y el útero, además de escaso líquido alrededor de la lesión (Figura 1). Se realizó una resonancia magnética nuclear que demostró una lesión de 14 x 14 cm, posiblemente de origen lipomatoso con degeneración mixoideangiolipomatosa, con probable infiltración al recto y sigmoides, dilatación pielo-ureteral bilateral por obstrucción del tercio distal de los uréteres (Figuras 2 y 3). Se realizó una colonoscopia que sólo evidenció desplazamiento del sigmoides por compresión extrínseca. Se le realizó una laparotomía exploratoria encontrando una masa pélvica de 15 x 20 cm, la cual se pudo separar de las estructuras adyacentes y resecar en su totalidad. El reporte histopatológico fue de una masa de 15 x 18 cm, con un peso de 260 g, de color amarillo-gris liso y opaco, de aspecto nodular y consistencia blanda. Al corte se encontraron áreas quísticas compatibles con angiomixoma (Figura 4). La paciente presentó una evolución satisfactoria, se le dio egreso. Actualmente se encuentra asintomática y sin datos de recurrencia.
Figura 1. Tomografía computadorizada que mostró masa de características malignas, desplazando y comprimiendo la vejiga y útero
Figura 2. Tomografía computadorizada que mostró masa con infiltración al recto sigmoides con obstrucción ureteral bilateral
Figura 3. Tomografía computadorizada que mostró masa con infiltración al recto sigmoides
Figura 4. La proliferación neoplásica muestra áreas mixoides hipocelulares alternando con otras de mayor densidad celular con infiltrado inflamatorio mixto y vasos curvilíneos hialinizados.
Discusión
El término angiomixoma agresivo (AA) fue propuesto por Steeper y Rosai en 1983 para defi nir una neoplasia mesenquimal mixoide de crecimiento lento que aparece fundamentalmente en la región pélvica, genital y/o perineal de mujeres adultas.1 Es un tumor poco frecuente, con unos 126 casos publicados en la literatura.1-16 La relación mujer/hombre es de 6:1, es más frecuente durante la edad reproductiva y muestra un rango de edad de presentación que oscila entre los 11 y 82 años, con un pico de incidencia en la tercera década.2,8-9 El AA ha sido descrito también en vagina, cavidad uterina, vejiga, retroperitoneo, espacio isquiorectal, recto y extremidades inferiores.3-9,14 En los varones aparece en el escroto, cordón espermático, epidídimo y región inguinal (para-funicular).8,11 Son neoplasias grandes, de 3 a 60 cm de diámetro, sólidas, no encapsuladas y de baja densidad radiológica.1,9,12,14-16 Aunque se consideran neoplasias agresivas localmente, se ha descrito un caso aislado con metástasis pulmonares y mediastínicas.3
A pesar de que a nivel molecular los mecanismos pato-genéticos no están claros, el AA se asocia con alteraciones del gen HMGIC localizado en el cromosoma 12, al igual que ocurre en otros tumores mesenquimales benignos.13
Los signos y síntomas de esta entidad clínica son muy inespecíficos, cuando se presenta en la pelvis los síntomas varían desde dolor abdominal crónico, como fue el caso de nuestra paciente, hasta pérdida de peso, anormalidades gastrointestinales tales como sangrado de tubo digestivo, así como edema de la región perineal, por lo que el índice de sospecha debe ser muy alto, ya habiendo descartado otras patologías.2,7,8-12
El diagnóstico diferencial del AA incluye al mixoma intramuscular y yuxtaarticular, mixoma cutáneo, neurofibroma mixoide, leiomioma mixoide, fibromatosis pélvica, lipoma de células fusiformes, liposarcoma mixoide y mixofibrosarcoma.9,14-16
El tratamiento de elección es la resección local amplia.1,2,9,15,16 En los casos tratados de forma conservadora se requiere seguimiento a largo plazo, ya que la recidiva puede aparecer varios años después de la resección.1,2,9,16 Aunque se trata de tumores de crecimiento lento,1,2,15 existe un elevado índice de recurrencias por escisión incompleta debido a la naturaleza infiltrativa de los márgenes de la lesión.2,15 La positividad para receptores de estrógenos y de progesterona se ha relacionado con la aparición de esta neoplasia en las mujeres durante la edad reproductiva, y por ello algunos autores proponen la terapia hormonal como una alternativa en aquellos casos en los que la tumoración no pueda ser extirpada en su totalidad.9,10,14,16
Concluimos que el angiomixoma pélvico es una neoplasia poco frecuente, cuya etiología no es bien conocida. El tratamiento de elección es la resección total, pero por sus características de invasión local tiene alta probabilidad de recidiva, por lo que el seguimiento a largo plazo debe ser estricto en busca de las mismas a través de estudios de imagen.
Correspondencia: Dr. Quintín Héctor González Contreras.
Departamento de Cirugía. Instituto Nacional de Ciencias Médicas y Nutrición Salvador
Zubirán. Vasco de Quiroga #15, Del. Tlalpan, 14000 México, D.F. Teléfono: 5487-0900 Ext. 2142.
Correo electrónico:quinhec@hotmail.com
Fecha recibido: 12 febrero 2008 Fecha aprobado: 21 mayo 2009






