Secondary aortoenteric fistulas are an uncommon and life-threatening condition that develop in the setting of a predisposing etiology, such as a prior aortic graft. Aortoduodenal fistulas are the most common connection, representing from 65.4 to 77.5% of cases.1 Helical CT scans are highly sensitive for detecting abnormalities consistent with aortoduodenal fistulas, with a previous study showing a sensitivity of 93%.2 Endoscopy can aid in confirming the diagnosis, but has a lower sensitivity for detecting aortoenteric fistulas (20 to 25%).3,4 Therefore, upper endoscopy should be performed after suspicious findings are first noted on CT imaging.
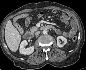
A 78-year-old man, with a significant past medical history of aortobifemoral bypass graft performed 6 years earlier, arrived at the emergency department with sudden-onset fever, chills, abdominal pain, and hematochezia. Abdominal CT imaging revealed soft tissue and fluid stranding around the proximal aortic graft, with tethering to the adjacent small bowel (fig. 1).
An emergent esophagogastroduodenoscopy was performed and revealed a large foreign body in the third part of the duodenum, with endoscopic confirmation of an aortoenteric fistula (fig. 2).
The patient subsequently underwent explantation of the infected graft, with insertion of a cryopreserved graft and primary closure of his duodenotomy.
Intermittent gastrointestinal (GI) bleeding is the most common preceding symptom in aortoenteric fistulas, but 45% of patients with bleeding present with massive GI bleeding.3
Thus, aortoenteric fistula should be suspected in all patients presenting with lower GI bleeding and a history of aortic repair.
Financial disclosureNo financial support was received in relation to this article.
Author contributionsHongfei Fang performed the literature review and drafted the manuscript.
Alberto Rubio Tapia reviewed both the radiologic imaging and the manuscript.
Nayantara Coelho Prabhu supervised the manuscript preparation and is the article guarantor.
Ethical disclosuresProtection of human and animal subjectsThe authors declare that the procedures followed were in accordance with the regulations of the responsible Clinical Research Ethics Committee and in accordance with those of the World Medical Association and the Helsinki Declaration.
Confidentiality of dataThe authors declare that no patient data appears in this article.
Right to privacy and informed consentThe authors declare that no patient data appear in this article.
Conflict of interestThe authors declare that there is no conflict of interest.
Please cite this article as: Fang H, Rubio-Tapia A, Coelho-Prabhu N. Fístula aortoentérica: un hallazgo endoscópico preocupante. Revista de Gastroenterología de México. 2018;83:194–195.




