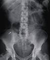
Paciente masculino de 66 años de edad, sin antecedentes de importancia, que ingresó al hospital con cuadro clínico de dolor abdominal de 36 h de evolución compatible con apendicitis aguda. Los laboratorios a su ingreso revelaron: 21.500 leucocitos/cc, neutrófilos 84.8%; el resto, normal. La placa simple de abdomen anteroposterior reveló la presencia de 2 objetos metálicos radiopacos, filiformes, puntiformes, de aproximadamente 5cm, localizados en el cuadrante inferior derecho del abdomen (fig. 1). En el interrogatorio dirigido negó la ingesta de algún cuerpo extraño en los días o meses previos. Se estableció el diagnóstico de perforación intestinal secundaria a cuerpos extraños versus apendicitis secundaria a cuerpos extraños. Se realizó una laparotomía exploradora en la que se encontró un apéndice retrocecal de aproximadamente 9cm, con perforación en su tercio medio, por donde protruía la punta de un alfiler, con el resto del cuerpo y un segundo alfiler dentro de la luz apendicular. Se le realizó una apendicectomía sin eventualidades. Se corroboró en el quirófano, mediante radiografía de la pieza, la presencia de ambos cuerpos extraños dentro de la luz apendicular (fig. 2). El reporte histológico de la pieza fue de apendicitis aguda abscesada y la presencia de 2 alfileres en su lumen (fig. 3). El paciente evolucionó satisfactoriamente y se egresó por mejoría 48 h después de la cirugía.
The Impact Factor measures the average number of citations received in a particular year by papers published in the journal during the two preceding years.
© Clarivate Analytics, Journal Citation Reports 2025
SRJ is a prestige metric based on the idea that not all citations are the same. SJR uses a similar algorithm as the Google page rank; it provides a quantitative and qualitative measure of the journal's impact.
See moreSNIP measures contextual citation impact by wighting citations based on the total number of citations in a subject field.
See more





