La literatura reporta una incidencia anual de 5,900 casos de carcinoma anal en países desarrollados. Estos involucran a 3 zonas anatómicas distintas: carcinoma del canal anal; carcinoma perianal (antes denominado carcinoma del margen anal, ubicado a una distancia menor a 5 cm de este) y carcinoma de la piel perianal (a más de 5 cm de distancia del margen anal). El carcinoma basocelular de la región perianal es una neoplasia poco común (0.27% de todos los carcinomas basocelulares diagnosticados) cuyo tratamiento en la inmensa mayoría de las veces es la resección con márgenes libres de enfermedad; debe de diferenciarse de la variante basaloide epidermoide del carcinoma debido a su buen pronóstico y casi nulo potencial de diseminación.
The literature reports an annual incidence of 5,900 cases of anal cancer in the developed countries. These involve three different anatomic zones: carcinoma of the anal canal, perianal carcinoma (formerly known as carcinoma of the anal margin, located at a distance of less than 5 cm from the anal margin), and carcinoma of the perianal skin (at a distance greater than 5 cm from the anal margin). Basal cell carcinoma of the perianal region is an uncommon tumor (0.27% of all diagnosed basal cell carcinomas) that in the majority of cases is treated by resection with disease-free margins. It must be differentiated from the basaloid and epidermoid variants of carcinoma, given that it has good outcome and its spread potential is practically null.
Introduction
An incidence rate of 5300 cases of carcinoma of the anal canal was reported for the year 2009 in the United States.1 This represents an over-diagnosis phenomenon due to the fact that various specialists (colon and rectal surgeons, gastroenterologists, oncologists, internists, radiotherapists, dermatologists, general surgeons, and infectologists, among others) participate in treating this disease. Currently carcinoma in 3 anatomic zones is described: carcinoma of the anal canal (covering the area up to the level of the puborectalis portion of the levator ani muscle), perianal carcinoma (formerly known as carcinoma of the anal margin, located at a distance of less than 5 cm from the anal margin), and carcinoma of the perianal skin (located at a distance greater than 5 cm from the anal margin).1 The principal reported histology is squamous cell carcinoma (with its keratinizing large cell, non-keratinizing, cloacogenic, mucoepidermoid, basaloid, and transitional cell variants).2 There are also adenocarcinomas that originate in a) the transitional zone; b) the secretory glands of the dentate line; and c) chronic anorectal fistulous tracts.2 Perianal tumors are 5 times less common than those of the anal canal and anal canal tumors are 10 times less frequent than rectal tumors. Another histology is anal melanoma, which is the most common gastrointestinal location, but corresponds to 0.5-5% of all the causes of cancer in this location.2 Gastrointestinal stromal and small cell/neuroendocrine neoplasia are 2 extremely rare tumors.2 Patients with human immunodeficiency virus/AIDS can develop Kaposi sarcoma and lymphoma.2 Perianal basal cell carcinoma corresponds to 0.27% of all diagnosed basal cell cancers and is the subject of this study.3
Case presentation
The patient is a 58-year-old man with a perianal lesion of 1-year progression that reached 3 cm in diameter causing pruritus and intermittent bleeding. He had received topical treatment with no response and therefore underwent an incisional biopsy; the histopathologic report was basal cell carcinoma and so he was referred to us for his integral evaluation and management. Deep structure involvement was not apparent in the endoanal ultrasound. Physical examination did not reveal inguinal adenopathies or other dermal lesions. Paraclinical studies classified the disease as T2N0M0, with no treatment contraindications. The patient had no prior history of radiotherapy or previous trauma. Local wide resection was performed with an intraoperative margin evaluation and the defect was closed with a V¿Y flap. Follow-up is currently at 13 months and there has been no disease recurrence (Figs. 1-3).
Figure 1. Left anterolateral lesion at least 5 cm from the anal margin, showing changes after incisional biopsy.
Figure 2. Local resection with 1 cm margin and V-Y flap to cover the resultant defect.
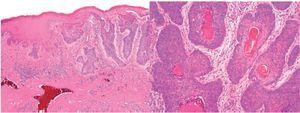
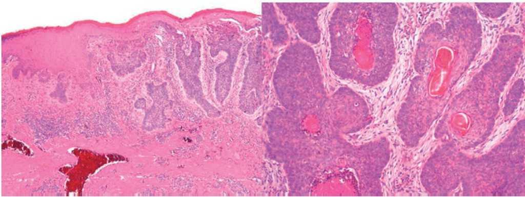
Figure 3. Malignant neoformation dependent on the basal layer of the epidermis with deep plane infiltration (limited to the subcutaneous cell tissue), multiple foci, and the phenomena of retraction and formation of attached structures consistent with solid, superficial, and multifocal basal cell carcinoma (with the palisade phenomenon, bland stroma, and peritumoral grooves).
Discussion
Perianal basal cell carcinoma incidence is 0.1%, compared with other skin zones.3 Less than 200 cases have been reported in the literature (the largest one of 15 cases was conducted by the Mayo Clinic).3 This pathology corresponds to 0.2% of all perianal tumors. Familial syndromes have been implicated in its development, such as nevoid basal cell carcinoma syndrome and xeroderma pigmentosum, along with immunodeficiencies, radiation (present in 9.5% of cases), infection, trauma, burns, and chronic irritation.3 It is predominant in men (80% of cases) and the mean age for presentation is 65-75 years.3 There is a history of basal cell carcinoma of the skin at some other location in 33% of these patients. Mean lesion size is ≤ 2 cm (0.5-5.2 cm).3 Ulceration is present in 29.4% of the cases. A symptom duration prior to treatment of 0 to 144 months, with a mean 3 months, has been reported. One third of the cases are incorrectly diagnosed and prognosis is controversial because of the indolent nature of the disease and the low spread potential. The former belief of poor disease prognosis at this location, due to its lack of differentiation from the basaloid variant of squamous cell carcinoma, is no longer held.4 Differentiation is based on the distinct localization (the basaloid anal canal vs. perianal basal cell)4 and in the immunohistochemistry patterns (base cell positive for BER-EP4; basaloid positive for cytokeratin 22, EA1, cytokeratin 19, cytokeratin 13, ACE, epithelial membrane antigen, and UEA1).4 There are reported cases of squamous cell carcinomas adjacent to basal cell ones. The reported histologic varieties are: nodular 66% (12% cystic degeneration and 9% infiltrative component), superficial 18%, infiltrative 8%, micronodular 4%, basal squamous cell 2%, and fibroepithelioma of Pinkus 2%.5 Treatment options are local resection with 1 cm margins for Tis or T1 lesions and those with minimal involvement of the sphincteric complex (employing cutaneous flaps or Mohs microsurgery); for T2 lesions in which resection involves a complication risk (stricture, incontinence), radiotherapy without inguinal lymph node field extension is preferred, resulting in similar control rates and lower morbidity.6,7 Radiotherapy with inguinal extension is indicated in T3 and T4 lesions (with less support than for squamous cell carcinomas and even more controversial with extension into the pelvic lymph nodes).6,7 Abdominoperineal resection is usually employed as rescue or first-line therapy in patients with poor sphincter function (extension proximal to the dentate line and involving the sphincters is rare).7 There are no reports of lymph node involvement.3 Overall survival rates are from 93-100% (not reporting deaths that are secondary to the disease) and recurrence rates are from 0-29%.7 Recurrences tend to be local and can be treated with repeat resections or radiotherapy.7
Conclusions
Perianal basal cell carcinoma is an uncommon tumor that is treated with disease-free margin resection. Because of its good outcome and almost complete lack of spread potential, it should be differentiated from the basaloid squamous cell carcinoma variant.
Financial disclosure
No financial support was received in relation to this article.
Conflict of interests
The authors declare that there is no conflict of interest.
Received 23 July 2012; accepted 24 September 2012
Available online 30 January 2013
qPlease cite this article as: Espino-Urbina LA, et al. Carcinoma basocelular de la región perianal: reporte de un caso y revisión de la literatura. Revista de Gastroenterología de México. 2013;78:52-4.
* Corresponding author at:
Vasco de Quiroga no. 15. Colonia Belisario Domínguez Sección XVI. CP 14000, México DF. Delegación Tlalpán, Mexico.
Email address: omarvergara74@hotmail.com (O. Vergara-Fernández).





