Los tumores del estroma gastrointestinal (GIST, del inglés Gastro-Intestinal Stromal Tumours), se definen como tumores mesenquimales del tracto gastrointestinal, compuestos por células ahusadas, epitelioides o pleomórficas que expresan la proteína KIT.1 El KIT (c-KIT o CD117), es un enzima con actividad tirosinkinasa relacionado con el desarrollo de las células intersticiales de Cajal. El KIT es el producto de un protooncogén (c-KIT).2 Se localizan mayoritariamente en el tubo digestivo (50% estómago y 25% intestino delgado), si bien hay un 10% que es extradigestivo. La diseminación suele ser hematógena (hepática o peritoneal). El 95% de los GIST son KIT positivos (+) y 60-70% son CD34 +. El imatinib es un fármaco que tiene actividad anti-KIT e inhibe el crecimiento in vitro de líneas celulares de GIST. Actualmente, se indica en caso de enfermedad recurrente o metastásica.3
Caso clínicoVarón de 45 años que acudió a Urgencias por melena y dolor abdominal difuso. No intervenciones quirúrgicas abdominales previas ni ingesta reciente de AINE. El tacto rectal fue positivo para heces melénicas. Como únicos valores patológicos, mostró una Hemoglobina 7.2 g/dl y Hematocrito 26.6%. El valor corpuscular medio estaba en el límite bajo de la normalidad. No refería alteraciones de la coagulación. La endoscopia digestiva alta fue normal. Se cursó ingreso para estudio y tratamiento.
La gammagrafía con hematíes marcados evidenció un aumento de la vascularización en cuadrante superior izquierdo, que en la tomografía computarizada abdominal se correspondió con una masa de 4 cm que parecía depender de yeyuno (foto 1A). Los marcadores tumorales fueron negativos. Se programó para laparotomía exploradora. Tras practicar una mini laparotomía media supraumbilical (5 cm), se pudo identificar a 2 metros del ángulo de Treitz, sobre el borde anti-mesentérico, una tumoración sólida con neovascularización en la serosa (foto 1B). No lesiones ocupantes de espacio hepáticas a la palpación ni líquido libre. El mesenterio no presentaba adenopatías. Se decidió resección segmentaria de 10 cm de yeyuno (incluyendo la tumoración) y anastomosis primaria. Al corte, la tumoración ulceraba la mucosa yeyunal. El informe anatomopatológico fue de tumor de células fusiformes, con escaso número de mitosis (3/50 HPF) y positividad intensa difusa para el CD 117. Compatibles con tumor del estroma intestinal (GIST) de riesgo bajo (fotos 2A y 2B). A los 18 meses de seguimiento, no presenta datos clínico- radiológicos que hagan sospechar recidiva. El Servicio de Oncología no indicó tratamiento con imatinib.
Foto 1. A. Imagen de corte de TC abdominal con contraste oral e intravenoso en el que se observa la presencia de una masa sólida de 4 cm de diámetro con realce periférico del contraste (flecha roja) que parece depender del intestino delgado (flecha azul). B. Pieza de resección segmentaria de 10 cm de yeyuno en la que se incluye una tumoración de consistencia elástica con neovascularización en la serosa. No se realizó linfadenectomía.
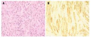
Foto 2. A. Imagen de microscopia óptica en la que se advierte la presencia de células de aspecto fusiforme con escasa actividad mitótica (H&E, x20). B. Positividad difusa al KIT, con tinción citoplasmática y perinuclear típica de los GIST (inmunohistoquímica, x20).
DiscusiónEl único tratamiento curativo de los GIST consiste en la extirpación quirúrgica con márgenes libres (resección R0), sin linfadenectomía dado el bajo índice de diseminación ganglionar. La resección R0 es posible en 85% de los casos, aunque recidivan la mitad.4 La reaparición de la enfermedad se relaciona con el tamaño tumoral, alto grado histológico, rotura del tumor y localización a nivel del intestino delgado.5 Suele manifestarse como metástasis hepáticas o peritoneales.
El 90% de los GIST esconden mutaciones que activan el KIT. Éstas favorecen la proliferación celular y deprimen la apoptosis en el tumor.3 El imatinib es un inhibidor del KIT. Estudios prospectivos han mostrado que 50% de los pacientes responden al imatinib y 80% mantienen la enfermedad estable, aunque la respuesta completa es infrecuente.4, 5 Estudios fase I y II indican que el imatinib es efectivo y seguro en terapia sistémica frente a la enfermedad metastásica o irresecable. Gracias a este inhibidor de la tirosinkinasa, se alcanzan supervivencias del 50% a los 2 años en casos con metástasis hepáticas por GIST.6-8 La respuesta al tratamiento varía en función de dónde se localice la mutación del KIT. De esta manera, las ubicadas en el exón 11 presentan una respuesta significativamente mejor que las que se encuentran en el exón 9. Los resultados son escasos si el tumor carece de mutaciones en el KIT.3
La dosis es objeto de controversia, ya que los 2 estudios fase III que se han llevado a cabo, no han obtenido resultados superponibles. La dosis de inicio es de 400 mg/24h, y puede incrementarse si se desarrolla resistencia. La toxicidad del fármaco es dosis dependiente.9, 10 No hay evidencia científica sobre su uso en neoadyuvancia ni sobre la duración óptima del tratamiento.2, 4
Cuando, a pesar del correcto tratamiento con imatinib, la enfermedad progresa, se dice que el tumor se ha hecho resistente (50% a los 2 años). El mecanismo puede ser secundario al desarrollo de nuevas mutaciones en el KIT, o a fenómenos de amplificación del KIT. El manejo de los tumores que no responden o se hacen resistentes al imatinib tampoco está claro. Se recomienda en estos casos, que se incluya en un estudio clínico. La ablación por radiofrecuencia como la quimioembolización se ha empleado como alternativa no quirúrgica en metástasis hepáticas de GIST resistentes a imatinib. Hay experiencias con quimioterapia intraperitoneal (mitoxantrona) que arrojan supervivencias a los 5 años del 46%. El uso de la radioterapia se reserva para el tratamiento de la hemorragia de origen tumoral, dada la relativa radioresistencia de esta neoplasia.5
Los casos de resistencia al tratamiento con imatinib están favoreciendo el desarrollo de nuevas moléculas. El SU 11244 (sunitinib), que además de ser un inhibidor de la tirosinkinasa, actúa contra el factor de crecimiento celular endotelial (VEGF). Los ensayos en fase III muestran resultados esperanzadores. Se ha propuesto el uso de inhibidores del VEGF como el bevacizumab, puesto que son tumores muy vascularizados.4
Correspondencia: Luis M. Marín Gómez. Calle: Serafín Álvarez Campana, s/n. Bloque 5-2ºA. El Puerto de Santa María (Cádiz). España.11500. Correo electrónico: marinlm@hotmail.com.
Fecha recibido: 17 mayo 2007. Fecha aprobado: 21 febrero 2008




