El estudio de cápsula endoscópica se realiza en México desde el 2001. Actualmente en más de 25 centros hospitalarios. Su principal indicación es la hemorragia digestiva de origen oscuro, un problema que se ve con cierta frecuencia en la práctica clínica.1,2 Se define a ésta como la pérdida recurrente, macro o microscópica, de sangre por el tubo digestivo, con estudios endoscópicos (endoscopia superior y colonoscopia) negativos. 3 En la actualidad se han ampliado las indicaciones para su realización, dentro de las cuales encontramos la diarrea crónica, el dolor abdominal crónico y la enfermedad inflamatoria intestinal. 4,5 La cápsula endoscópica es un dispositivo cilíndrico, que tiene un diámetro de 11 mm, longitud de 26 mm y un peso de 4 g. Construida con materiales que resisten la acción de los líquidos gastrointestinales. Las imágenes se captan a través de un chip de cámara de video en color, con una visión de 140°. Permitiendo visualizar lesiones de 0.1 mm a 3 cm de distancia. Se obtienen dos imágenes por segundo, un promedio de 50,000 imágenes durante el desarrollo del estudio (ocho horas).6 Tiene muchas ventajas para la evaluación del intestino delgado. No hay necesidad de sedación y el paciente puede mantener sus actividades regulares durante el transcurso del estudio.3 Se consideran contraindicaciones absolutas la obstrucción y la seudoobstrucción intestinales, y contraindicaciones relativas a la existencia de disfagia, acalasia, gastroparesia, divertículo de Zenker, así como la cirugía gástrica resectiva y derivativa. En algunos casos, para su introducción al intestino, se puede auxiliar de una panendoscopia. 7 Las complicaciones son raras, siendo las más importantes la retención de la cápsula en una estenosis o el paso a la vía respiratoria.7 La cápsula endoscópica constituye una herramienta efectiva para la evaluación y diagnóstico de patologías en el intestino delgado. Es un procedimiento sencillo y mínimamente invasivo para el paciente.8 Se espera a futuro, que pueda llegar a ser una cápsula terapéutica, es decir, que pueda tener la capacidad de ofrecer terapia dirigida a las lesiones encontradas.8
Material y métodosSe realizó un estudio en forma retrospectiva, transversal y observacional de una serie de casos. Evaluamos los expedientes de los pacientes ambulatorios que fueron referidos a nuestro servicio para realizar el estudio de cápsula endoscópica, abarcando el periodo comprendido entre enero 2003 y marzo 2008. Los pacientes se presentaron en ayuno de 12 horas, acompañados por uno o varios familiares. Se les explicó el procedimiento, haciéndoles conocer los beneficios, riesgos y posibles complicaciones del mismo, posterior a lo cual firmaron una hoja de consentimiento informado.
En todos los casos se administró la cápsula PillCam® de Given Imaging M2A. Se dio a deglutir con agua. Se utilizó un equipo de recuperación de imágenes que consta de nueve antenas receptoras, colocadas en todos los cuadrantes del abdomen, con un tiempo de grabación promedio de ocho horas. Al finalizar el estudio, se decodi- ficaron las imágenes en un programa diseñado para su lectura en computadora [Rapid Reader®] (figura 1). Los estudios fueron interpretados, cada uno en promedio de dos horas por los autores, que cuentan con experiencia en endoscopia, así como entrenamiento en la revisión de imágenes de cápsula endoscópica, apoyados por un atlas elaborado por expertos en estudios de cápsula endoscópica. Se registraron los hallazgos de todos y cada uno de los pacientes, emitiendo un reporte final por escrito, del cual se conservó una copia. Cabe mencionar que no hubo dificultades técnicas con el manejo de las imágenes. Para el estudio se realizó una hoja de captación de datos, donde quedaron registrados el número progresivo de estudio, iniciales del paciente, sexo, edad, motivo de envío y resultado del estudio de cápsula endoscópica. No se consignaron los recursos consumidos previamente por los pacientes (endoscopias, colonoscopias, internamientos, transfusiones, etc.), ya que en algunos casos acudían al estudio sin reportes previos.
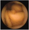
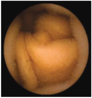
Figura 1. Imagen normal. Vellosidades intestinales.
Análisis estadísticoLos datos del estudio se analizaron mediante estadística descriptiva.
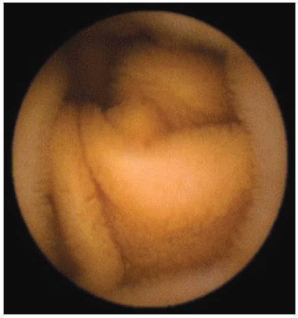
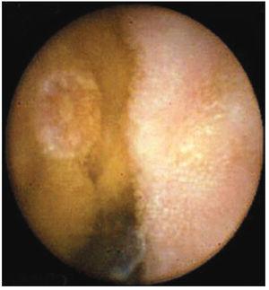
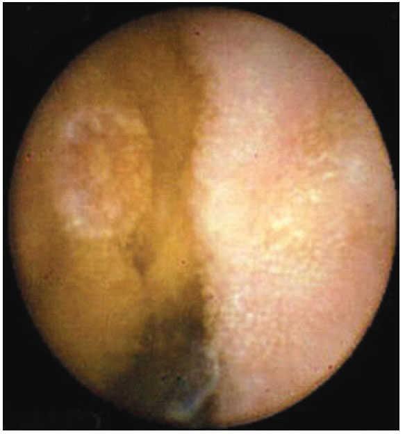
ResultadosEn el periodo comprendido entre enero 2003 a marzo 2008 se realizaron un total de 45 estudios. En 43 pacientes, la cápsula fue deglutida con agua, en dos de ellos tuvo que ser introducida con sobretubo, debido a la incapacidad de los pacientes para deglutirla; procedimientos que se realizaron sin complicaciones y con éxito. El sexo femenino predominó con 27 pacientes (60%) con una mediana de edad de 58.16 años, con intervalo entre los 18 y 84 años. El grupo etáreo más afectado fue el comprendido entre los 71 a 84 años de edad con 14 casos. El motivo de envío más frecuente fue el sangrado gastrointestinal de origen oscuro, con 32 casos (71.11%). Los siguientes fueron diarrea crónica con cinco casos (11.11%), dolor abdominal tres casos (6.67%) y melena tres casos (6.67%). Los hallazgos reportados incluyeron: Sin causa 18 casos (40%), erosiones en 10 casos, algunas de ellas relacionadas con AINE (22.20%) (figura 2). Alteraciones vasculares en ocho casos (17.76%), pólipos en seis casos (13.32%), gastropatía nodular con dos casos (4.44%), tumoraciones en dos casos (4.44%) (figuras 3 y 4), y con un caso (2.22%) cada una de las siguientes patologías: pseudopoliposis antral, diverticulosis y sangrado activo en el Treitz de causa no determinable. En general, el procedimiento fue bien tolerado. No se presentaron complicaciones durante ni posterior al procedimiento. No se reporta en ningún caso la retención de la cápsula en el tubo digestivo. Mención aparte, aunque no fue motivo del presente estudio, será importante contar con el número de pacientes que fueron sometidos a estudios complementarios (serologías, enteroscopias, laparotomías, etc.), ya que con ello se podrán tener más argumentos para definir el lugar que actualmente ocupa la videocápsula en nuestro país y tal vez con más investigación de este tipo, poder sugerir un algoritmo de estudio para pacientes con hemorragia de origen oscuro.
Figura 2. Erosión en yeyuno por AINE.
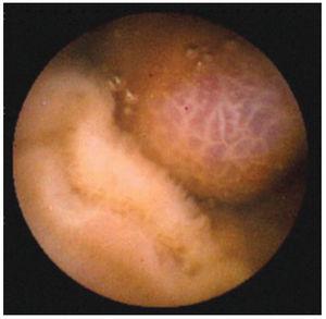
Figura 3. Pólipo adenomatoso de yeyuno.
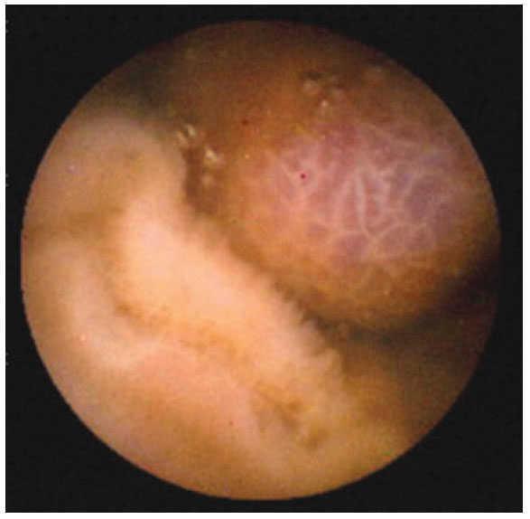
Figura 4. Causa de hemorragia gastrointestinal de origen oscuro e intususcepción.
DiscusiónEl advenimiento de la cápsula endoscópica significa uno de los avances médico-tecnológicos en el estudio de las diversas patologías a nivel del intestino delgado, que ha sido mundialmente aceptada y ha llegado a ser la prueba diagnóstica por excelencia, muy superior a otros estudios realizados antes de su advenimiento, como los estudios baritados.9-14 Las enfermedades del intestino delgado continúan ocupando un sitio importante en la práctica clínica diaria. Dentro de estos padecimientos la indicación más frecuente para la realizar el estudio de cápsula endoscópica es la hemorragia del tubo digestivo de origen oscuro, lo que se informa tanto en la literatura a nivel mundial, como en nuestros resultados.15-20 Otra de las indicaciones para realizar el estudio de cápsula endoscópica es la enfermedad inflamatoria intestinal, ya que el intestino delgado comúnmente se afecta y escapa al alcance de los métodos endoscópicos tradicionales. Además de confirmar la sospecha de la enfermedad y determinar su severidad y extensión, la cápsula endoscópica también se puede usar en la valoración de recurrencia posquirúrgica.21-24 Los pacientes con anemia por deficiencia de hierro y sospecha de pérdida de sangre de origen gastrointestinal, muy frecuentemente se han sometido a múltiples estudios, antes de llegar a un diagnóstico definitivo.25
La opinión actual en casos de hemorragia de origen oscuro es que después de realizar los estudios endoscópicos tradicionales (panendoscopia, colonoscopia), se utilice la cápsula endoscópica para determinar la posible localización de lesiones y posteriormente cumplir el tratamiento adecuado. 26-30 En nuestro estudio no fue posible determinar el impacto clínico de la cápsula endoscópica, ya que, al ser pacientes referidos, en muchos de los casos no fue posible saber el diagnóstico definitivo.
Enfatizamos que este estudio se enfocó únicamente en los motivos de envío y los resultados obtenidos del estudio de cápsula endoscópica. Destacamos que existe un gran porcentaje de estudios en los que no se encontraron anormalidades y en cambio en otros encontramos patología en estómago, la cual obviamente no se detectó por panendoscopia. Podrá ser motivo de futuras investigaciones el repetir el estudio de cápsula endoscópica en los pacientes que inicialmente se reportaron sin hallazgos.31 En nuestra serie de pacientes, no se observaron complicaciones. Acotamos que en dos pacientes se tuvo la necesidad de introducir la cápsula endoscópica auxiliados por un sobretubo, colocado mediante panendoscopia. Dichos procedimientos no tuvieron ninguna complicación durante ni posterior al desarrollo del estudio, tanto en los pacientes, como en la obtención de las imágenes de la cápsula.32 Hacemos mención que los resultados de nuestra investigación están acordes con lo obtenido en otros centros, donde se reportan hallazgos alrededor de 60% de los pacientes sometidos a cápsula endoscópica.33,34 En conclusión, consideramos que el estudio de cápsula endoscópica es inocuo, bien tolerado, seguro y de utilidad para la identificación de causas de hemorragia de origen oscuro y en diversas patologías que aquejan al intestino delgado.35-37






