Paciente masculino de 75 años de edad. Ingresa a urgencias por presentar herida penetrante en abdomen, por objeto punzocortante. Se realiza laparotomía, en la cual se encuentra lesión hepática grado II, no sangrante, hemoperitoneo de 200 mL, ninguna otra lesión. Durante la revisión se encuentra tumor apendicular, de base ancha totalmente integrado al ciego, de aproximadamente ocho a 10 cm de longitud (Figuras 1 y 2). Se informa al paciente de dicho hallazgo y la necesidad de resección, aceptando y realizándose preparación para cirugía de colon.
¿ Figura 1. Mucocele apendicular.
¿ Figura 2.Se muestra íleon, ciego y mucocele.
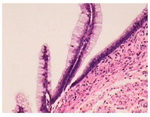
En una segunda intervención, se realiza hemicolectomía derecha con anastomosis ileocólica término-terminal sin complicaciones, egresa cuatro días después por mejoría. El estudio histológico reportó una neoplasia epitelial benigna del apéndice cecal, revestida con epitelio cilíndrico papilar de núcleos ovoides, sin atipias ni mitosis y citoplasma eosinófilo, productor de moco (Figuras 3 y 4).
¿ Figura 3.Corte longitudinal de pieza quirúrgica.
¿ Figura 4.Corte microscópico que muestra epitelio cilíndrico papilar. (Tinción hematoxilina-eosina, 40x).
El mucocele apendicular puede presentarse con una variedad de síntomas, o ser un hallazgo incidental. Su incidencia es del 0.2% al 0.4% de todos los especímenes de apendicectomías, con mayor frecuencia se presenta entre la 5ª y 6ª década de la vida. Histológicamente se clasifican como hiperplasia focal o difusa de la mucosa, como cistadenoma y cistadenocarcinoma. El mucocele siempre requiere tratamiento, por el potencial de malignidad y para la prevención de pseudomixoma peritoneal por ruptura del mismo, sobre todo aquellos mayores a 2 cm, los cuales requieren hemicolectomía derecha como en el presente caso.
Conflictos de Interés: Los autores no tienen conflicto de intereses, en relación con el artículo que se remite para publicación.
Financiamiento: No hubo financiamiento para la realización de este artículo.
Correspondencia: Dr. Juan Carlos Rivera Nava.
Canario 13-B, Residencial la Luz. C.P. 37747. San Miguel de Allende, Guanajuato.
Teléfono: 415 114 65 61.
Correos electrónicos: riversidercg@hotmail.com; jeansurgeon74@yahoo.com.mx
Recibido el 24 de octubre de 2011;
aceptado el 5 de diciembre de 2011.






