¿ Caso clínico
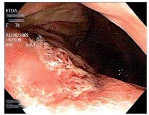
Mujer de 74 años de edad, residente del Distrito Federal, con antecedente de esclerodermia y cirrosis biliar primaria en tratamiento con ácido ursodeoxicólico. Inició ocho días previos a su ingreso con dolor abdominal epigástrico, náusea, distensión abdominal y melena. A la exploración física se encontró con signos vitales normales, mucosas pálidas, peristaltismo disminuido, sin otros hallazgos relevantes. Los exámenes de laboratorio mostraron hemoglobina 10.6 gr/dL, hematocrito 31%, leucocitos totales 8700 células/dL (4% de eosinófilos). Se le realizó endoscopia de tubo digestivo, que evidenció esofagitis erosiva grave, gastropatía eritematosa petequial, múltiples úlceras gástricas de 10 mm de diámetro con base de fibrina (Figura 1) y duodenitis erosiva (Figura 2). Se tomaron biopsias de los bordes de las ulceras y se envió en formol a estudio histopatológico que informó estrongiloidiasis gástrica, con inflamación crónica y aguda sin Helicobacter pylori (Figuras 3 y 4).
¿ Figura 1. Úlcera en cuerpo gástrico de 10 mm de diámetro con base de fibrina.
¿ Figura 2. Duodenitis erosiva.
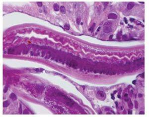
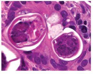
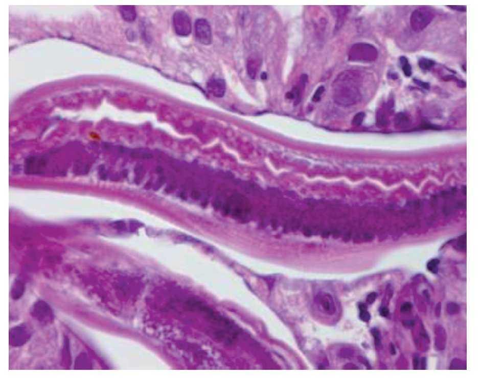
¿ Figura 3. Hematoxilina-eosina: Estrongiloidiasis gástrica.
¿ Figura 4. Hematoxilina-eosina: Estrongiloidiadis gástrica.
Strongyloides stercoralis es un nematodo intestinal que afecta a millones de personas en el mundo y es endémico en zonas tropicales y subtropicales. Su ciclo biológico es complejo. El ser humano adquiere el parásito cuando las larvas penetran la piel. Establecida la infección, el estrongiloides se replica en el huésped humano estableciendo un ciclo de autoinfección. La mayoría de personas infectadas, permanecen asintomáticas. El sitio más afectado es el tracto digestivo superior; las manifestaciones clínicas incluyen náusea, dolor abdominal, pérdida de peso, sangrado gastrointestinal y anemia. Todas estas manifestaciones las presentó el caso que describimos.
El diagnóstico es difícil y suele realizarse identificando las larvas en heces, en aspirado duodenal o bien mediante serología a través del método ELISA. Durante la endoscopia se puede observar edema importante, ulceraciones, incluso hipertrofia inflamatoria de la mucosa que puede obliterar la luz intestinal. El tratamiento es de acuerdo con la condición clínica del caso: en sujetos inmunocompetentes con albendazol 400 mg dos veces al día por siete días; en sujetos inmunocomprometidos se recomienda agregar a este esquema ivermectina 200 μg/kg, hasta confirmar erradicación del parásito. La estrongiloidiasis es una enfermedad curable, con baja tasa de mortalidad cuando se realiza un diagnóstico temprano y se prescribe el tratamiento adecuado. Nuestra paciente fue tratado con ivermectina a las dosis mencionadas, con lo que se resolvió el cuadro satisfactoriamente; en la actualidad se encuentra sin síntomas digestivos.
Correspondencia: Dr. Mario Peláez Luna.
Sur 136 N° 116, Colonia Las Américas, México, D. F.
Teléfono y Fax: 5272 49 19.
Correo electrónico: mariopel@hotmail.com
Recibido el 18 de noviembre de 2009;
aceptado el 9 de junio de 2010.






