Un modelo animal experimental bien establecido para producir colestasis y fibrosis hepática, es la ligadura de los conductos biliares extrahepáticos en ratones. La colestasis resulta en la acumulación de ácidos biliares hidrofóbicos, que puede ser responsable de apoptosis hepatocelular y necrosis he-pática.1 Como consecuencia de este daño inicial, se desarrolla inflamación hepática, involucrando la activación de las células de Kupffer, la secreción de citocinas y reclutamiento de neutrófilos en el hígado. Se ha descrito ampliamente a la ligadura de la vía biliar en ratones como el prototipo experimental para inducir hiperplasia ductal.2
De acuerdo con estudios previos, se sabe que la obstrucción de las vías biliares extrahepáticas altera la morfología hepática, produciendo lesiones que varían según el tipo y tiempo de duración de la obstrucción éstas pueden ser de tipo colestasis centrolobulillar o cirrosis hepática. No se ha estudiado ampliamente la relación entre el tiempo de obstrucción y la severidad del daño hepático y si ante la posibilidad de “retirar” el agente que ocasiona el proceso obstructivo, poder caracterizar morfológicamente la evolución temporal de la reversibilidad (recuperabilidad) de las zonas afectadas.
El propósito de este estudio es evaluar las lesiones hepáticas ocasionadas en un modelo animal basado en la obstrucción temporal de la vía biliar extrahepática y establecer la relación entre obstrucción y severidad del daño a través del tiempo.
Materiales y métodosAnimalesSe usaron 20 ratones machos, adultos con peso de 25-35 g, obtenidos de bioterio. Se mantuvieron en grupos de cinco, en cajas de acrílico de 36 x 26 x 16 cm en un cuarto cerrado con condiciones ambientales de temperatura de 21 ± 3 °C, humedad relativa de 55 ± 10%, y un promedio de 10-12 intercambios de aire por hora, con ciclos de luz/oscu-ridad de 12/12 horas y con acceso libre de agua y comida.
Procedimiento experimentalEl estudio se condujo bajo un protocolo aprobado por el Comité Institucional de uso y cuidado de animales. Se formaron tres grupos de 6 ratones y un grupo de 2, como grupo control. Bajo anestesia general con fenobarbital sódico (5.5 mg/kg intraperitoneal) y bajo condiciones asépticas, a los 18 ratones se les realizó una incisión quirúrgica de 1.5 cm de longitud en el borde costal derecho, se incidió piel, tejido celular subcutáneo (TCS), aponeurosis superficial y profunda, músculos recto y transverso, y peritoneo. Se localizó la vía biliar extrahepática y se ató en su base, inmediatamente, la herida se cerró en dos capas, la primera con peritoneo, músculo y aponeurosis y la otra con TCS y piel. Se limpió la herida con jabón y agua estéril y el ratón se regreso inmediatamente a su caja y se mantuvo con una lámpara eléctrica. Los ratones fueron sacrificados en grupos los días 1, 7 y 15 posterior a la cirugía y el control el día 15. De cada ratón, se obtuvieron el hígado, corazón, cerebro, riñones y pulmones para su estudio histopatológico por microscopia óptica
Los animales se sacrificaron al mismo tiempo cada día. Cada órgano obtenido fue preparado por inmersiones en formalina por al menos 48 horas, después, incluidos en parafina, cortados en piezas de 6 a 8 micrómetros y teñidos con hematoxilina y eosina. Después, se hizo microfotografía a cada pieza. La interpretación histológica fue hecha independientemente por dos médicos patólogos y si las opiniones eran diferentes, se deliberaron para tener una en común.
ResultadosAl momento del sacrificio, la cavidad peritoneal de los ratones mostró adherencias en grados variables entre el hígado y la cavidad peritoneal, íleon y pared costal. Todos los ratones presentaron hepatomegalia por congestión y 25% de los ratones presentaron abscesos.
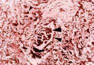
Histológicamente los cortes de los ratones sacrificados el día 1 (24 horas postobstrucción), mostraron congestión sinusoidal y vascular a nivel de los vasos portales con estasis biliar asociada en 20% de los cortes. Estas lesiones se consideraron como leves (figuras 1a, 1b). Los cortes obtenidos el día 7 mostraron acumulación de pigmento biliar en colangiolos y zona pericolangiolar, con proliferación portal de colágeno en 60% de los cortes. Estas lesiones sumadas a las consideradas leves, se refieren como lesiones moderadas (figuras 1c, 1d). En los cortes de los tejidos de los ratones sacrificados el día 15 postobstrucción, además de las lesiones observadas en los días 1 y 7, se encontró proliferación hamartomatosa de colangiolos y fibrosis portal en conductos biliares, placa limitante y lóbulos en 15% de los cortes. Estas lesiones se clasificaron como severas (figuras 2a, 2b, 2c, 2d). Las lesiones observadas a nivel de cerebro, corazón y pulmones se debieron a congestión vascular y dilatación en varios grados. Los riñones mostraron precipitación de pigmento biliar en los túbulos colectores al día 15 de sacrificio. El grupo control presentó morfología macroscópica y microscópica hepática normal.
Figura 1a. Morfología y organización del parénquima hepático bien conservado.
Figura 1b. Trombo biliar intracolangiolar (flecha grande) con proliferación conectiva concéntrica, repliegue de ducto epitelial (flecha mediana) y signos de esteatosis (flecha pequeña).
Figura 1c. Trombo biliar asociado con fibrosis periductal (flecha grande) mononucleares y fibroblastos (flecha pequeña).
Figura 1d. Proceso fibrótico en porción centrolobular que se extiende a todo el lóbulo.
Figura 2a. Trombosis biliar colangiolar (flecha grande) asociada con fibrosis irregular incrementada en área portal y que envuelve al lóbulo (flecha pequeña), principalmente en centro.
Figura 2b. Trombo biliar intracolangiolar (flecha grande) con fibrosis periductal (flecha mediana) y proliferación colangiolar (flecha pequeña).
Figura 2c. Fibrosis portal e invasión lobular (flecha pequeña) y proliferación colangiolar (flecha grande).
Figura 2d. Proliferación colangiolar seudohamartomatosa a nivel portal (zona de flechas).
DiscusiónLos resultados observados mostraron una relación entre las lesiones producidas y el tiempo transcurrido. Las lesiones incrementaron su severidad ante la permanencia del proceso obstructivo, apareciendo desde congestión sinusoidal en las etapas tempranas de la obstrucción, hasta fibrosis biliar con proliferación hamartomatosa de colangiolos en sus etapas prolongadas.
En este estudio, se encontraron una serie de ventajas del método descrito, como son disponibilidad, fácil de manejar, bajo costo y gran capacidad de adaptación al manejo experimental en otras especies,4 la capacidad de sobrevivencia de los ratones, posterior a la intervención quirúrgica, además muchos de los efectos coinciden con los previamente informados.5
El proceso obstructivo de la vía biliar extrahepática, determina el nivel de alteración intrahepática, así como el daño hepatocelular y colangiolar, si no se revierte el proceso obstructivo, las lesiones a nivel hepático son irreversibles. La biopsia hepática es necesaria para evaluar correctamente las modificaciones hepáticas derivadas de una obstrucción de la vía biliar extrahepática.
Las alteraciones hepáticas morfológicas derivadas de la obstrucción de la vía biliar extrahepática pueden clasificarse como a) tempranas, b) relativamente tempranas y c) tardías. También se encontraron lesiones en el encéfalo, en los ganglios basales, riñón y miocardio de intensidad e importancia variada y éstos deben investigarse en otros niveles del cuerpo.6
A nivel hepatocelular la necrosis centrolobular, debe considerarse como una manifestación temprana de la obstrucción de la vía biliar extrahepática. Otro tipo de alteraciones morfológicas en otros niveles como el espacio portal, que determinan edema pericolangiolar, colangitis y pericolangitis con proliferación de fibras de colágeno en grado severo, hay una secuencia de evolución y puede ser considerada como relativamente tardía.3 Alteraciones que inducen necrosis centrolobular en el hepatocito, también promueven un proceso reversible como depósito de fibras de colágeno con modificaciones a nivel portal que determina en pasos relativamente tardíos puentes fibrosos entre estas áreas. La obstrucción biliar extrahepática en tiempo relativamente tardío está asociada con proliferación seudohamartomatosa de conductos biliares pequeños, necrosis hepatocelular, depósito de fibras de colágeno a nivel centrolobular y portal, así como en la zona puente ocurrida la base anatómica del proceso de cirrosis biliar por obstrucción extrahepática. La reversibilidad o irreversibilidad de estas lesiones no se estableció en esta fase del estudio sólo se evaluó la relación entre el daño anatomopatológico y tiempo de establecimiento.
ConclusionesCuando fue desarrollado el método para determinar la instalación y magnitud del daño en este estudio, se estableció que si los animales permanecían ligados por 15 días o más, a ese tiempo se notaría el efecto lesivo máximo hepático, así como daños menores a periodos de obstrucción más cortos.
Con el método descrito se lograron inducir lesiones hepáticas que nos permitieran establecer una relación entre las lesiones anatomopatológicas hepáticas y el tiempo transcurrido después de establecerse la obstrucción biliar extrahepática. Estas lesiones fueron evidentes desde la primera muestra observada, es decir, 24 horas posteriores a la ligadura de la vía biliar extrahepática, las cuales aumentaron en severidad en relación con el tiempo, llegando a producir proliferación seudohamartomatosa de conductos biliares pequeños y el depósito de fibras de colágeno.
En estudios posteriores, se podrá analizar en qué estadio las lesiones hepáticas descritas pueden ser reversibles si se retira el proceso obstructivo de la vía biliar extrahepática.
Correspondencia y sobretiros: Hugo Juárez Olguín. Laboratorio de Farmacología, Instituto Nacional de Pediatría. Avenida Imán No. 1, 3er. piso,
Colonia Cuicuilco C.P. 04530, México. Tel. y fax: 521 084 3883. Correo electrónico: juarezol@yahoo.com.
Fecha recibido: 1 octubre 2007 • Fecha aprobado: 15 abril 2008










