Masson’s pseudoangiosarcoma, or intravascular papillary endothelial hyperplasia, is a rare non-neoplastic reactive endothelial proliferation. It is commonly located on the skin and subcutaneous tissues but has also been described at multiple sites of the human body.1
A 32-year-old man presented with a condition of 7-day progression that was characterized by the appearance of a tumor in the right posterior quadrant of the perianal region that bled easily upon contact with clothing. The proctologic examination confirmed the presence of a wine-colored perianal tumor in the right posterior quadrant, 2.5 cm from the anal opening, that bled easily (Fig. 1). The results of the laboratory work-up were within normal ranges.
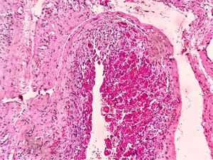
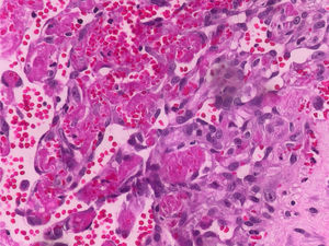
The lesion was completely extirpated, under local anesthesia. Postoperative progression was satisfactory, with symptom remission and healing of the surgical wound. The histopathologic study reported Masson’s tumor with intravascular papillary endothelial hyperplasia (Figs. 2 and 3).
Masson’s pseudoangiosarcoma accounts for just 2% of all vascular tumors of the skin and soft tissues.2 Only two cases with an anal location are reported in the literature,3 but no cases of perianal location have previously been described. The morphologic characteristics of the cases reported at other areas of the body are similar to those of the case presented herein.4 These tumors have an excellent prognosis but making the differential diagnosis with other entities, especially with angiosarcomas, is necessary.5 In contrast to malignant lesions, pseudoangiosarcomas do not present with necrosis, atypic elements, or mitotic figures.6
Ethical considerationsThe authors declare that no experiments were conducted on humans or animals for this research and that patient privacy was regarded at all times by not including patient data
Declaration of Generative AI and AI-assisted technologies in the writing processThe authors declare that no type of generative artificial intelligence was employed in the writing of the manuscript or in the creation of images, graphs, or their corresponding figure legends.
Financial disclosureNo financial support was received in relation to this article.
The authors declare that there is no conflict of interest.





