Introducción
Los melanomas malignos en las áreas perianal y rectal, son una entidad muy rara y representan menos del 1% de los tumores malignos colorrectales. La lesión aparece en cualquier sitio donde se encuentren melanocitos (piel perianal, zona de transición o mucosa rectal) y puede ser pigmentada (melanótica) o carente de pigmentación (amelanótica). El síntoma más común es el sangrado, sin embargo, pueden existir en algunos pacientes dolor leve, masa anal, prolapso y alteraciones en los hábitos defecatorios. Muchas de estas lesiones son confundidas con enfermedad hemorroidal o trombosis hemorroidal externa.
El objetivo de este reporte es presentar dos casos y realizar una revisión del tema, ya que debido a la poca frecuencia de presentación, estas lesiones son confundidas con otras patologías anorrectales, por lo que se debe tener la sospecha clínica al tener un paciente con una masa anal.
Presentación de casos
Caso 1.
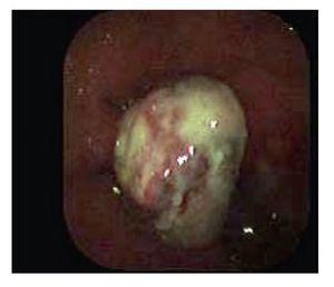
Paciente masculino de 78 años de edad sin antecedentes de importancia que refiere padecimiento de 3 meses de evolución con sensación de masa anal, que refiere prolapso al momento de la defecación. A la exploración se encuentra región perianal normal, no evidencia de lesiones, al realizar tacto rectal se palpa lesión de aproximadamente 2 cm de diámetro que se encuentra en el conducto anal y se evidencia al hacer anoscopia, la lesión protruye al momento de realizar maniobra de Valsalva (Foto 1), motivo por el cual se decide llevar a cabo rectosigmoidoscopia para evaluar la lesión y toma de biopsias (Foto 2) reportándose hallazgos histológicos con relación a melanoma maligno, se inicia estudio de extensión con TAC y radiografía de tórax libres de enfermedad metastásica. En decisión conjunta con los familiares y el deseo del paciente al no contar con un estoma definitivo, se decide hacer resección amplia de la lesión con adecuada evolución del paciente y control de los síntomas. En el estudio histopatológico de la pieza se corroboró el diagnóstico de melanoma anal, reportándose bordes quirúrgicos libres. Hasta su cita de control a la consulta 8 meses posteriores a la cirugía el paciente continúa libre de enfermedad.
Foto 1. Melanoma de conducto anal prolapsado al realizar maniobra de Valsalva.
Foto 2. Melanoma de conducto anal. Imagen endoscópica.
Caso 2.
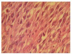
Paciente femenino de 92 años de edad portadora de diabetes mellitus controlada con hipoglucemiante oral y antecedente de caída desde su propia altura con golpe en región lumbosacra unos meses antes de su padecimiento actual, la cual acude a urgencias por presentar masa anal hemorrágica de aproximadamente 6 meses de evolución. Inicia su padecimiento con masa anal que fue incrementando progresivamente su tamaño, tratada inicialmente en su clínica familiar como trombosis hemorroidal externa, sin embargo, el crecimiento de la masa anal es tal, que alcanza un tamaño de 6 cm de diámetro, posteriormente comenzando con hemorragia masiva, motivo por el cual acude a nuestra unidad. La paciente refiere dolor al sentarse y estreñimiento posterior a la aparición de la masa. A la exploración física se encuentra tumoración que depende del margen anal, móvil y que no involucra el conducto anal, friable, de fácil sangrado, pero de consistencia sólida (Fotos 3 y 4). No hay evidencia de adenomegalias inguinales. Sus laboratorios con Hb tienen un resultado de 7.9 g/dL, por lo que se transfunden 3 paquetes globulares. La paciente no presenta desequilibrio hemodinámico. Se realiza biopsia de la lesión reportando melanoma maligno anal. En conjunto con los familiares debido a la edad de la paciente y por las características de la enfermedad, se decide llevar a cabo resección local amplia paliativa (Foto 5). La paciente evoluciona satisfactoriamente y es egresada con Hb de 12.5 g/dL, sin rectorragia y sin molestias al sentarse. Actualmente 15 meses posteriores a su egreso continúa con buena salud y sin datos de enfermedad sistémica. En la imagen de histopatología se aprecian células fusiformes con núcleos ovoides de cromatina vesicular, citoplasma eosinófilo y algunas con pigmento melánico en su interior, con presencia en borde quirúrgico de fibras de músculo liso infiltradas por tumor (Foto 6).
Foto 3. Melanoma del margen anal, con evidencia de hemorragia activa.
Foto 4. Melanoma del margen anal. Vista preoperatoria.
Foto 5. Vista posoperatoria de la región perianal.
Foto 6. Imagen histopatológica. Células con pigmento melánico en su interior.
Discusión
Los melanomas se originan por transformación maligna del melanocito, célula procedente de la cresta neural capaz de formar pigmento melánico. René Laenec en 1806 en una memoria no publicada, describió por primera vez el melanoma como entidad patológica. El melanoma afectando la región anorrectal fue descrito por primera vez en 1857.1
Este tipo de cáncer se desarrolla en la piel principalmente, pero también puede encontrarse en el tejido de la úvea, en aparato respiratorio, en conducto anal, recto y vagina. En el caso de la presentación perianal, la lesión se origina de melanocitos ubicados en la región dermoepidérmica del conducto anal y en los melanomas rectales se han identificado la presencia de melanocitos atípicos en la base de la mucosa en estudios realizados por Nicholson2 mediante microscopia electrónica y tinciones especiales, con lo que se desechó la teoría de extensión perianal. Verdin y cols., presentaron evidencia de que el melanoma maligno puede originarse de melanocitos en el epitelio columnar rectal.3
Los melanomas pueden ser lesiones pigmentadas (melanóticas) o sin pigmento (amelanóticas) lo que ocurre en 29% de los casos.4,5 El síntoma más frecuentemente referido es el sangrado, seguido de masa anal o dolor.6-9
El conducto anal representa el sitio más frecuente de presentación en el tubo digestivo,10-13 constituye 3% de todos los cánceres en Estados Unidos. Del tracto digestivo representa 0.2% de todos los melanomas y 0.5% de los tumores del anorrecto.6 Su máxima frecuencia de presentación es hacia la 5a. década de la vida y afecta más frecuentemente a pacientes mujeres.6 Su evolución es rápida con invasión local extensa y tienen una diseminación linfática rápida, pueden presentarse con adenopatías inguinales.1 Cooper en su estudio encontró que hasta 62% de los pacientes tenían metástasis al momento del diagnóstico.5 Su pronóstico es sombrío, ya que alcanza una mortalidad de casi 100% en uno o dos años.9,11 Varias series han reportado tasas de sobrevida a 5 años desde 0 al 12%.14-16 Los melanomas de origen mucoso tienen un pronóstico más sombrío que los localizados en piel.10,17,18
El diagnóstico diferencial de esta neoplasia incluye múltiples patologías anorrectales, entre ellas, algunas neoplásicas como enfermedad de Bowen o Paget, carcinoma epidermoide anal, carcinoma basocelular y benignas como trombosis hemorroidal externa con las que son frecuentemente confundidas.
Al contar con un paciente con una masa anal de crecimiento rápido, en forma de nido, pigmentada (aunque puede presentarse en forma amelanótica) y en ocasiones con adenomegalias inguinales, debe tenerse una alta sospecha de la presencia de melanoma anal. La evaluación debe incluir una biopsia de la lesión y la búsqueda de enfermedad metastásica sistémica (TAC de abdomen y pelvis, pruebas de función hepática, placa de tórax y rastreo óseo).7 La identificación de melanina dentro de las células tumorales permite el diagnóstico de la lesión, diferenciándola de un carcinoma pobremente diferenciado. La microscopia electrónica puede ser de valor para identificar melanomas amelanóticos, demostrando melanosomas dentro de las células tumorales.
Se ha evidenciado que la estadificación de acuerdo al tamaño del tumor no correlaciona bien con las tasas de sobrevida, pocos estudios utilizan el nivel de Breslow en melanoma anorrectal, sin embargo, la profundidad de invasión de la lesión parece ser más predictiva de sobrevida en algunas series.19,20 La clasificación de Clark no es de utilidad debido a la naturaleza avanzada del tumor y la ausencia de las capas clásicas de la dermis (ausencia de la dermis papilar) en la región.21
El tratamiento de estos raros tumores es controversial y generalmente gira alrededor de la extensión de la cirugía. Algunos investigadores recomiendan resecciones abdominoperineales (RAP) para lesiones de menos de 3 mm de espesor, ya que ellos creen que éstas son las únicas potencialmente curables.22 Wanebo y cols., observaron que pacientes con lesiones menores de 2 mm de espesor sobrevivían mientras que los mayores de 2 mm de espesor eventualmente morían de su enfermedad, sin embargo, a pesar de su observación su tasa de sobrevida a 5 años era aproximadamente del 10%.23 Otros autores recomiendan resecciones locales amplias, ya que incluso con RAP y linfadenectomía pélvica no se ha visto mejoría en la sobrevida y no brindan ningún beneficio la radioterapia ni la quimioterapia.1,7,24
En la experiencia del Memorial Sloan Kettering Cancer Center con 85 pacientes tratados de 1929 a 1993, sólo 10 pacientes sobrevivieron libres de enfermedad durante 5 o más años y 9 de esos 10 pacientes habían sido sometidos a RAP.6 Ninguna de las otras series publicadas ha demostrado una diferencia estadística significativa en la sobrevida de pacientes tratados con resección local vs. RAP.5,8 En este mismo estudio es de notarse que en 8% de los pacientes con melanoma, el diagnóstico se realizó durante el estudio histopatológico de especímenes de hemorroidectomía, lo cual indica la importancia de estudiar todos los especímenes quirúrgicos.
En un reporte de la Clínica Mayo en Rochester Minnesota, revisaron 47 pacientes de 1939 a 1993 y la sobrevida a 5 años del 25% y tasas de recurrencia del 80% fueron idénticas en ambos grupos (resección local vs. RAP), y los autores consideran que la resección local debe ser el tratamiento de elección para el control local de la enfermedad, pero debe considerarse paliativo.13
Cualquier evidencia de enfermedad sistémica contraindica un abordaje agresivo. La resección local está recomendada cuando es técnicamente realizable, debido a que el pronóstico no cambia aun con cirugía radical;13,22, 24-26 la RAP puede tener un papel en controlar mejor la recurrencia locorregional de la enfermedad.8
Conclusiones
El melanoma anal es una entidad rara, con un pobre pronóstico a causa de su comportamiento invasor. El tratamiento quirúrgico es controversial debido a la agresividad de la neoplasia, y la falta de mejoría en las tasas de sobrevida al realizar resecciones amplias. La extensión del tratamiento quirúrgico debe decidirse tomando en cuenta el curso agresivo de la enfermedad, la calidad de vida y la morbilidad y mortalidad del procedimiento. El tratamiento radical está indicado de acuerdo a algunos autores en pacientes con lesiones menores de 3 mm de espesor que son los potencialmente curables, si el tumor es mayor o hay evidencia de enfermedad metastásica, el tratamiento debe ser conservador y sólo para control de síntomas. La radioterapia y quimioterapia no brindan algún beneficio.
Correspondencia:
Dr. Paulino Martínez Hernández Magro.
Guadalupe 205, Consultorio 202, Col. Centro, C.P. 38000. Celaya, Guanajuato. México.
Teléfono: (461) 6162123.
Correo electrónico:paulinomhm@hotmail.com
Fecha de recibido: 06 agosto 2007
* Fecha aprobado: 27 febrero 2009








