¿ Introducción
La osificación heterótopica fue por primera vez descrita en 1883 por Riedel y publicada por Askanazy en 1901; era un hallazgo frecuente en los soldados que sufrían traumatismo raquimedular durante la Primera Guerra Mundial.1,2 Hasta nuestros días, esta patología ha recibido varios sinónimos entre los que destacan miositis osificante intra-abdominal, osificación heterótopica del mesenterio y mesenteritis osificante, entre otros.
Es un fenómeno del tracto gastrointestinal bien documentado pero poco común,3 que se ha visto asociado con carcinomas en aproximadamente treinta casos descritos en la bibliografía, pólipos colónicos benignos, tumores carcinoides del estómago y mucocele apendicular.3-4 También se ha asociado al antecedente de incisiones abdominales por cirugías previas con una frecuencia menor.4 La relación existente entre las células epiteliales y el hueso metaplásico apoya la hipótesis de que existen sustancias no identificadas, probablemente secretadas por las células epiteliales con la capacidad de inducir osificación.4 Sin embargo, se han propuesto varios mecanismos para determinar la etiología de esta metaplasia, aún con limitadas pruebas que corroboren su etiología.5
A continuación presentaremos el caso de un hombre de 59 años tratado en el Instituto Nacional de Ciencias Médicas y Nutrición Salvador Zubirán en quien, posterior a varias cirugías abdominales, se documentó metaplasia ósea intestinal.
¿ Presentación del caso
Hombre de 59 años de edad, con antecedente quirúrgico de sigmoidectomía secundaria a enfermedad diverticular Hinchey II, quien presentó fuga a través de la anastomosis al tercer día posoperatorio, por lo que fue reintervenido quirúrgicamente. Se evidenció necrosis del colon descendente y transverso, por lo que requirió resección y colorecto anastomosis con ileostomía protectora en asa. Su evolución fue tórpida aún luego de esta reintervención, debido al desarrollo de colecciones intra-abdominales y síndrome compartamental, por lo que fue manejado con abdomen abierto y múltiples lavados quirúrgicos. Posterior a la resolución del cuadro agudo, se realizó cierre de la pared abdominal con separación de componentes y colocación de malla de Vicryl® (Ethicon, Inc, USA).
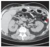
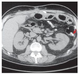
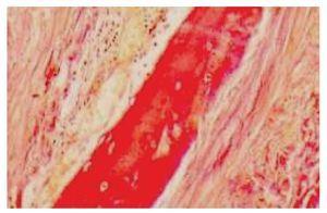
Dos meses después de su egreso, el paciente presentó dolor abdominal de predominio en hipocondrio derecho. Después de realizar ultrasonido de hígado y vías biliares y tomografía computarizada de abdomen, se estableció el diagnóstico de colecistitis aguda alitiásica y calcificación a nivel intestinal por lo que se realizó colecistectomía (Figura 1). Durante el procedimiento se identificó un proceso indurado a nivel intestinal, localizado a 10 cm de la ileostomía a nivel del borde mesentérico. No fue posible hacer el cierre de la ileostomía debido a las múltiples adherencias y al proceso óseo ya descrito. Seis meses después se realizó el cierre de la ileostomía y resección intestinal debido a este proceso óseo, de aproximadamente 10 cm de longitud (Figura 2), misma que se envió a estudio histopatológico que informó inflamación aguda y crónica en ileostomía, congestión vascular y área de metaplasia ósea distrófica asociada a inflamación crónica (Figura 3). El paciente evolucionó satisfactoriamente por lo que fue dado de alta al cuarto día de la cirugía.
¿ Figura 1. TC en la que se observa calcificación a nivel intestinal (señalada con la flecha), proximal a la boca de la ileostomía.
¿ Figura 2. Pieza resecada en la que se observa calcificación ósea en el borde mesentérico proximal a la ileostomía.
¿ Figura 3. Imagen microscópica en la que se observa proceso de osificación a nivel intestinal.
¿ Discusión
La metaplasia ósea del tracto gastrointestinal es muy rara, sobre todo en las neoplasias benignas.
El mayor número de los casos informados corresponde a varones.6 Por clínica, el hallazgo de hueso heterotópico se ha asociado con cuadros de obstrucción intestinal en algunos pacientes, mientras que algunos autores refieren que dicha patología no parece tener significado clínico ni trascendencia en el pronóstico.7,8
Aunque se han reconocido diferentes formas clínicas, hasta el momento el mecanismo fisiopatológico exacto de la neoformación ósea se desconoce. Siendo la forma adquirida la más frecuentemente diagnosticada, se presenta con mayor frecuencia luego de la realización de procedimientos ortopédicos como reducción de fracturas, artroplastía total de cadera y traumatismo de tejidos blandos.
Existen informes menos frecuentes de osificación de tejidos en heridas quirúrgicas, riñón y tracto gastrointestinal. Así como posterior a quemaduras, hemofilia y tétanos. En México, existen dos reportes de osificación heterotópica en heridas quirúrgicas abdominales,2 por lo que resultaría interesante realizar en un estudio posterior la revisión de dichos casos en busca de factores en común desencadenantes de la neoformación ósea heterotópica.
En el caso que aquí presentamos, el hecho de que al paciente se le hubiera colocado una malla de Vicryl® previamente, pudiera relacionarse con la presencia de esta neoformación ósea. Sin embargo, la osificación se encontraba muy cercana a la boca de la ileostomía y lejos de la malla como se observa en la imagen tomográfica, sin perder de vista que la malla fue colocada pre-peritoneal por arriba de la aponeurosis. Por esta razón, consideramos que el principal factor desencadenante de osificación heterotopica en nuestro paciente fue el número de reintervenciones quirúrgicas al que fue sometido debiéndose, principalmente al factor traumático, lo que pudiera apoyar la teoría de que existente sustancias no identificadas, probablemente secretadas por las células epiteliales con la capacidad de inducir osificación.4,6 Así mismo, se han postulado otras teorías, como el uso de nutrición parenteral, la presencia de una proteína hidrofóbica como agente causal activada por la propia inflamación local y la metaplasia osteoblástica de las células mesenquimatosas totipotenciales, inducida por la producción de mediadores de la inflamación en las células mesoteliales del peritoneo.2,9,10 No se ha esclarecido aún su intervención en el balance que debe existir entre los osteoblastos y osteoclastos para que se lleve a cabo la remodelación ósea.11 Recientemente en un estudio publicado por Sammour y colaboradores,12 partiendo del hecho de que el peritoneo es un órgano metabólicamente activo que interviene en las reacciones inflamatorias secundarias a estrés -como el quirúrgico- concluyeron que las intervenciones que disminuyen la respuesta peritoneal o bloquean la vía neuro-inmuno-humoral pueden ayudar a mejorar la recuperación posquirúrgica y reducir las complicaciones posoperatorias.
¿ Conclusión
La metaplasia ósea del tracto gastrointestinal es muy rara y consideramos que aún faltan estudios que corroboren el papel de los factores involucrados en la osificación heterotópica.
Correspondencia: Quintín Héctor González.
Vasco de Quiroga 15, Col. Sección XVI. Delegación Tlalpan, C.P. 14000. México D. F.
Teléfono: (55) 5487 0900, ext. 2142, fax: (55) 5573 9321.
Correo electrónico: quinhec@hotmail.com, jesusbahena10@hotmail.com.
Recibido el 30 de abril de 2010;
aceptado el 15 de junio de 2010.





