Los abscesos hepáticos piógenos pueden resultar de la perforación del aparato digestivo, por cuerpos extraños. Aunque poco frecuentes, se han informado casos de absceso hepático piógeno, usualmente único, sin ninguna otra etiología. Describimos aquí el caso de una mujer de 65 años de edad, con abscesos hepáticos piógenos múltiples a consecuencia de la perforación colónica, por un hueso de pollo identificado durante el estudio colonoscópico. El diagnóstico temprano permitió el tratamiento oportuno de la paciente, mediante la extracción endoscópica del cuerpo extraño y el uso de antibióticos de amplio espectro.
Hepatic abscesses can result from foreign body perforation of the gastrointestinal tract. Although uncommon, reported cases often involve solitary hepatic abscess with no obvious etiology. We describe the case of a 65-year- old female with multiple hepatic abscesses occurring secondary to chicken bone perforation of the sigmoid colon identified on colonoscopy. With prompt diagnosis, the patient was successfully treated with endoscopic removal of the foreign body and broad spectrum antibiotic treatment.
Introduction
Accidental ingestion of foreign bodies into the gastrointestinal (GI) tract is not uncommon.1 Most of these pass spontaneously without consequence, but rarely (1%) they result in penetration into the GI tract which can lead to perforation and development of hepatic abscess.2 In the majority of cases making an early diagnosis is difficult due to variability of presentation and lack of specificity of clinical and radiological examinations.3 In 2003, Bilimoria et al. reported the first colonoscopic identification of a foreign body causing hepatic abscess.4 Identifying foreign bodies in the GI tract via endoscopy may be considered for patients with unknown cause for liver abscess. We report a case of multiple hepatic abscesses that developed secondary to an ingested foreign body perforation of the sigmoid which was treated successfully by endoscopic retrieval and broad spectrum antibiotics.
Case presentation
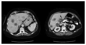
A 65-year-old woman with a remote history of breast cancer was admitted to the hospital with a three week history of weakness, fatigue, nausea, anorexia, and two episodes of fever up to 38.5°C. There was no history of GI bleeding, recent abdominal surgery, diverticulitis or recent travel outside the United States. On exam, temperature was 37.1°C, heart rate 102 beats/min, respiratory rate 20 breaths/min, blood pressure 128/82 mmHg. On palpation, the abdomen was soft with mild right upper quadrant tenderness. The liver edge was tender and palpable 5 cm below the costal margin. Laboratory tests revealed leukocytosis (26.4 x 109/L, 82% neutrophils), platelet count 592 x 109/L, C-reactive protein 250 mg/dL, serum albumin 2.5 g/dL, blood glucose 97 mg/dL, serum creatinine 0.9 mg/dL; liver biochemistries, including aspartate and alanine aminotransferases, bilirubin and alkaline phosphatase were all normal. Chest x-ray was unremarkable. Echocardiogram was unremarkable and negative for evidence of endocarditis. Contrast enhanced abdominal CT demonstrated multiple large low density lesions with irregular walls located in both hepatic lobes. There were at least 8 lesions, with the largest measuring 4 cm in diameter and located at the dome of the liver. These findings were suspicious for metastatic disease and less likely for hepatic abscesses (Figure 1). There were no abnormalities of the pancreas, spleen, kidneys, adrenals, small bowel or any segment of the colon. Indium leukocyte scan was subsequently done with no definite abnormal focal tracer uptake in the liver to suggest infection. MRI/MRCP of the liver revealed multiple hepatic lesions, measuring up to 4 cm in diameter with imaging appearance favoring abscess, however could not exclude necrotic or infected metastases. Ultimately, the patient underwent ultrasound-guided biopsy of the liver lesion with pathology findings of fragments of purulent exudates. The liver pathology showed non-specific changes and no malignancy was recognized. Multiple stains for microorganisms were negative, amoeba and parasites were not identified and blood cultures were negative. An attempt to leave a percutaneous drainage in the larger liver abscesses was unsuccessful due to the very thick nature of the pus within the lesion, and only one mL of pus was obtained and sent for culture. Further examination with colonoscopy revealed a penetrating foreign body at 25 cm from the anal verge. The foreign body was removed with a polypectomy snare and was confirmed to be a chicken bone (Figure 2).
Figure 1.Abdominal CT scan with contrast demonstrating multiple large, low density lesions with irregular walls localized in both hepatic lobes.
Figure 2. Colonoscopy revealed a foreign body in the sigmoid that was perforating the colonic wall. The foreign body was removed with a polypectomy snare and was ultimately identified as a chicken bone.
Upon initial presentation and suspicious of an infectious source for her clinical presentation, empiric IV levofloxacin was administered prior to blood cultures. Once imaging revealed the presence of multiple liver lesions suspicious for abscesses, antibiotic therapy was switched to IV piperacillin/ tazobactam and metronidazole before obtaining pus from the abscess for culture and staining. The patient's condition improved over seven days and she was discharged home on ertapenem IV daily and completed 90 days of antibiotic therapy. After three months, CT abdomen was done and showed considerable improvement of the hepatic abscesses. The patient was then converted to oral antibiotics with amoxicillin/clavulanic acid 875 mg twice daily for 12 weeks. Six months later an MRI of the abdomen showed nearly complete resolution of the liver abscesses. The patient's condition continued to improve and amoxicillin/clavulanic acid was decreased to once daily for a total of three months. Another MRI of the abdomen was performed after and showed complete resolution of the hepatic abscesses.
Discussion
The first reported case of a hepatic abscess from foreign body perforation of the gastrointestinal tract was published in 1898 and was discovered at time of autopsy. The lack of history of ingestion of a foreign body, non specific signs and symptoms and non specific imaging often result in delayed diagnosis of this potentially fatal disease.5 Multiple hepatic abscesses are not typical and to our knowledge, this is the first reported case of multiple abscesses from foreign body perforation of the colon.
The mortality rates from hepatic abscess are reduced from 40% to 2% with early diagnosis and imaging-guided percutaneous drainage, and at present surgery is rarely needed.6 The presenting symptoms of a liver abscess can be non-specific with fever, chills, abdominal pain, jaundice, anorexia, and nausea and/or vomiting.7 Laboratory abnormalities are also non-specific, including leukocytosis, elevated aminotransferases, total bilirubin or alkaline phosphatase, making it difficult to diagnose. The perforation is clinically silent and the patient usually becomes symptomatic once complications occur.8
Pyogenic liver abscesses are caused by bacterial invasion of the liver. The most common source of infection is the biliary tree. Infection may also spread hematogenously through the portal vein from an intraperitoneal source such as appendicitis, pancreatitis, and diverticulitis, perforated colonic or gastric ulcers, leaking anastomosis or infected hemorrhoids. Hematogenous seeding from conditions such as endocarditis may also cause hepatic abscess.8,9 There is a variety of microorganisms that can be recovered from pyogenic liver abscesses, but most frequent ones include Escherichia coli and Klebsiella pneumoniae, as well as anaerobic bacteria such as Bacteroides and Fusobacterium. Cultures from the abscess tend to be positive in greater than 80% of cases, although stains are positive less frequently and blood cultures are positive in only 35% to 70% of cases.10
The principles of management of patients with pyogenic liver abscesses include drainage, generally by the percutaneous route, together with parenteral broad-spectrum antibiotics and treatment of the underlying condition causing the abscess.10 In the present case, our inability to perform drainage of the abscess, together with the lack of a microbiologic diagnosis led us to use empiric IV antibiotics for a more prolonged period of time than usually recommended, especially since there was very slow resolution of the liver abscesses on cross-sectional imaging.
The current case illustrates the importance of considering endoscopic evaluation of patients presenting with a hepatic abscess of unknown etiology and the relevance of serial radiologic imaging when a patient's diagnosis is unclear. The initial CT of the abdomen showed multiple lesions involving both hepatic lobes which were suspicious for metastatic disease versus hepatic abscesses. The MRI/MRCP of the abdomen demonstrated numerous hepatic lesions with features consistent with hepatic abscesses, however; necrotic or infected metastases could not be completely excluded. Ultimately, ultrasound-guided biopsy of the liver lesion confirmed the infectious nature of the process. Suspicious of the possibility of a gastrointestinal source of the liver abscesses, a colonoscopy was performed that in fact revealed the source of infection, namely a foreign body, in this case, a chicken bone penetrating the sigmoid colon. The foreign body was successfully removed endocopically and the patient was treated with broad spectrum antibiotics for six months with complete clinical and imaging resolution of the multiple liver abscesses.
In conclusion, the presence of multiple liver abscesses without an identifiable source warrant further evaluation with imaging modalities to exclude biliary, pancreatic or gallbladder sources. Liver pathology to exclude any malignancies and prompt direct visualization of the colon should also be considered for early diagnosis and optimal treatment.
Sources of support. No financial support was provided to the authors for this work.
Disclosures. No conflicts of interest to disclose.
Correspondence author: Juan F. Gallegos-Orozco, MD.
Assistant Professor of Medicine, College of Medicine, Mayo Clinic. Division of Hepatology. Mayo Clinic in Arizona 5777 E Mayo Blvd, Phoenix, AZ. Z.P. 85054, United States of America.
Telephone: 480 342 1010. Fax: 480 342 2324.
E-mail: gallegos.juan@mayo.edu
Received October 18th, 2011;
accepted January 5th, 2012.




