Mujer de 39 años, portadora como única comorbilidad de obesidad, con un índice de masa corporal de 36kg/m2. La paciente acudió al servicio de urgencias al presentar, 2h previas a su ingreso, dolor epigástrico, transfictivo de intensidad 8/10, acompañado de náuseas y vómitos de contenido gastrobiliar, sin atenuantes ni exacerbantes. A su llegada se encontró con taquicardia, resto de los signos vitales dentro de los parámetros normales; a la exploración física alerta, orientada en sus 3 esferas, pares craneales íntegros, cardiopulmonar sin compromiso, abdomen distendido, peristalsis disminuida, dolor difuso a la palpación en hemiabdomen superior y extremidades sin alteraciones.
En los exámenes de laboratorio: hemoglobina 11.3g/dl; hematocrito 33.5%; leucocitos 13.77K/μl; glucosa 167mg/dl; colesterol 527mg/dl; triglicéridos 3,804mg/dl; función renal normal, pruebas de función hepática normal; amilasa 600U/l y lipasa mayor de 3,000U/l. Se solicitó una ecografía de abdomen superior, reportando páncreas normal, sin líquido libre, ni evidencia de litiasis vesicular. Se ingresa en la unidad de cuidados intermedios con el diagnóstico de pancreatitis aguda secundaria a hipertrigliceridemia, sin presencia de fallo orgánico por la escala de Marshall modificada.
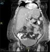
Se inició manejo con hidratación, analgesia y ayuno. Durante la primera semana, la paciente presentó dolor abdominal de difícil control con opiáceos, con síndrome de respuesta inflamatoria sistémica persistente, caracterizado por taquicardia y leucocitosis. Al quinto día, ante la falta de mejoría clínica se le realizó tomografía axial computarizada (TAC) simple de abdomen, donde se encontró páncreas sin presencia de necrosis, con colecciones líquidas peripancreáticas y en ambas goteras parietocólicas, además de engrosamiento a nivel de mesocolon. Continuó en ayuno hasta el séptimo día, cuando se decidió iniciar nutrición enteral por sonda nasogástrica, tolerándola adecuadamente. Durante la segunda semana presentó picos febriles, se realizaron hemocultivos resultando negativos; con mejoría del dolor y tolerancia de dieta enteral. Al día 14 de su estancia hospitalaria, presentó dolor en flanco derecho, además de distención abdominal importante, ausencia de peristalsis, vómito de contenido alimentario y datos francos de estado de choque. Por este motivo se trasladó a la unidad de cuidados intensivos, además de que se le realizó TAC de abdomen con contraste intravenoso (fig. 1), donde se documentó necrosis de grasa peripancreática y espacio pararrenal anterior izquierdo; el mesocolon mostró presencia de gas, además presentó cambios inflamatorios en colon transverso. Debido a la evolución tórpida y los datos encontrados en la TAC se realizó laparotomía exploradora en el día 14, donde se documentó líquido libre en cavidad abdominal, purulento, necrosis pancreática, así como del colon transverso (fig. 2), múltiples abscesos en mesocolon transverso; motivo por el cual se realizó colectomía total e ileostomía. Se trasladó a la paciente a la unidad de cuidados intermedios, al día 30. Al día 40 presentó fístula gastrocutánea, la cual se reparó quirúrgicamente. Presentó buena evolución clínica posterior, motivo por el cual el día 45 pasó a sala general hospitalaria y se dio de alta al día 60, completamente asintomática.
Las complicaciones locales que se presentan en la pancreatitis aguda son: colecciones agudas peripancreáticas, seudoquiste pancreático, colección necrótica aguda y necrosis pancreática organizada/encapsulada (walled-off necrosis)1. La pancreatitis necrosante se presenta en el 10-20% de los casos, con una alta mortalidad que va del 15-20%2.
Dentro de las complicaciones locales, una poco frecuente que se presenta en el 1% de los pacientes que desarrollan pancreatitis aguda, son las complicaciones colónicas, las cuales van desde hemorragia, fístulas, necrosis o perforación3–6.
Se ha reportado que hasta en el 15%7,8 de los pacientes con pancreatitis grave puede verse afectado el colon, y está asociado a una mortalidad del 54%7. Se diagnostica en promedio al día 25 de iniciado el cuadro clínico7. Se cree que la fisiopatología del involucro del colon es por la extensión de las enzimas pancreáticas y la necrosis como causas principales9.
El diagnóstico de involucro del colon en los pacientes con pancreatitis aguda es generalmente un reto clínico; se sospecha por la falta de mejoría clínica, estudios de imagen que demuestren enfermedad del colon; pero principalmente se diagnostican en el perioperatorio. El tratamiento de elección continúa siendo la resección quirúrgica del tejido necrótico10.
El involucro enteral en una pancreatitis aguda no diagnosticada o con retraso en el manejo, conlleva una gran mortalidad. Por ello es necesario el reconocimiento temprano y tratamiento quirúrgico precoz de manera enfática.
FinanciaciónNo se recibió patrocinio de ningún tipo para llevar a cabo este artículo.
Conflicto de interesesLos autores declaran no tener ningún conflicto de intereses.




