Paciente de 40 años con antecedentes heredofamiliares de enfermedad de Von Hippel-Lindau (padre, dos hermanas, seis tíos, seis primos). Paciente con dolor abdominal en epigastrio, sin irradiación. Al examen físico: TA: 100/70 mmHg, IMC: 28 kg/m².
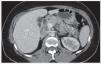
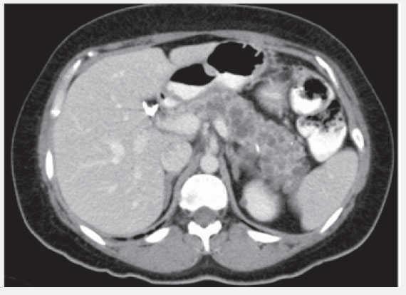
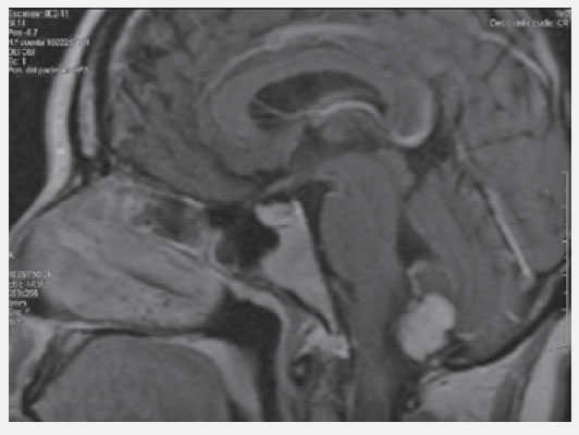
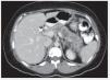
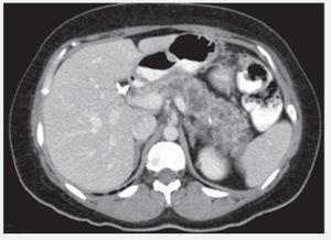
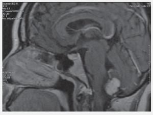
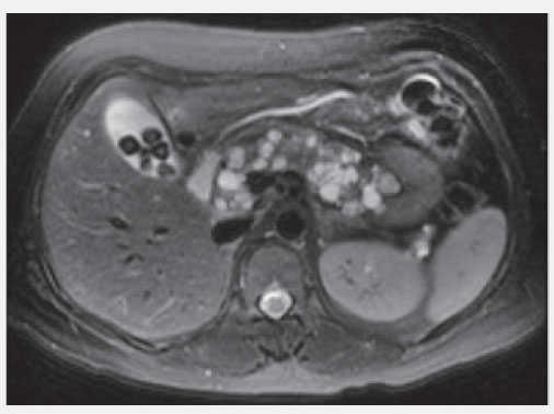
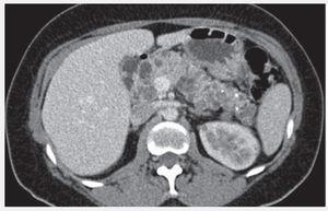
Abdomen globoso, a expensas de panículo adiposo, no adenomegalia, no se palpan masas, dolor a la palpación en epigastrio. Glucosa: 76 mg/dL, Creatinina: 0.87 mg/dL, amilasa y lipasa normales, TC abdomen: Lesiones quísticas de páncreas y ambos riñones. IRM Abdomen: Lesiones quísticas en páncreas y ambos riñones. IRM de cerebro: Hemangioblastoma en cerebelo.
Estudios de imagen:Figura 1. Quistes pancreáticos.
Figura 2. Quistes pancreáticos y renales.
Figura 3. IRM quistes pancreáticos.
Figura 4. IRM Hemangioblastoma cerebral.






