Introducción
El adenocarcinoma de colon localmente avanzado se conserva como un reto terapéutico que se presenta en 5.5%-16.7% de los todos casos al momento del diagnóstico. Diversas series demuestran que la resección multivisceral con bordes negativos produce un impacto positivo en el pronóstico y la sobrevida de estos pacientes. Este tipo de intervenciones quirúrgicas sondemandantes, con una alta morbimortalidad y han sido reportadas por centros especializados en cirugía oncológica gastrointestinal.1-5
La invasión localmente avanzada se presenta sobre todo en tumores localizados en recto y sigmoide. Alrededor de 18% de los adenocarcinomas colorrectales localmente avanzados se presenta en el colon derecho y sólo 6% en el ángulo hepático.6
La localización proximal de tumores sólidos con márgenes no infiltrantes y linfocitos intratumorales se ha documentado en familias portadoras de mutaciones de la línea germinal.7 La baja incidencia de estos sitios de infiltración junto con la complejidad de la intervención quirúrgica determinan que las resecciones en bloque de colon, duodeno y páncreas se informen con poca frecuencia. No hay casos descritos en la literatura de pacientes con cáncer de colon hereditario no polipósico sometidos a este procedimiento.
La primera colectomía con pancreatoduodenectomía se describió en 1953.8 Desde entonces, se han publicado diferentes reportes aislados, la mayor parte de los cuales incluye una resección duodenal en cuña, y unos pocos casos de pancreatoduodenectomía concomitante.1-3,5 Conforme se fue adquiriendo mayor experiencia en la pancreatoduodenectomía, sus indicaciones se extendieron. El hospital donde laboran los autores es un centro de referencia para cáncer de páncreas y colon.9,10
El presente informe describe el caso de un paciente con cáncer de colon familiar no polipósico en el ángulo hepático con invasión a duodeno, páncreas y estómago que fue sometido a una resección en bloque de estos órganos.
Presentación del caso
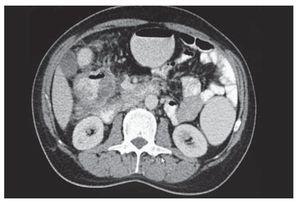
Se trata de un hombre de 54 años con antecedente de cáncer de colon en tres tíos maternos, cuatro primos y tres sobrinos, así como cáncer de páncreas en dos sobrinos. Todos ellos fueron diagnosticados entre los 35 y 55 años. El paciente tenía historia de hemorragia del tubo digestivo bajo de un mes de evolución. También presentaba dolor abdominal en mesogastrio tipo cólico e intermitente. A la exploración física se encontró hiperbaralgesia en el mesogastrio y dentro de sus exámenes de laboratorio presentó anemia ferropénica. Se le realizó una esófagogastroduodenoscopia y una colonoscopia que detectaron gastropatía no erosiva y una lesión de aspecto neoplásico en ángulo hepático del colon con patrón infiltrante y una zona de estrechez. Las biopsias de la mucosa obtenida de ese sitio demostraron un adenocarcinoma. Mediante una tomografía se observó un tumor colónico ulcerado en el ángulo hepático de 10 cm en su eje mayor con invasión al duodeno (Figura 1). El paciente recibió nutrición parenteral preoperatoria por una semana. El valor del antígeno carcinoembrionario fue de 17 mcg/L. En la laparotomía exploradora se demostró invasión del tumor al duodeno y al páncreas (Figura 2). Se le realizó una pancreatoduodenectomía clásica y hemicolectomía derecha en bloque, con resección lateral de la vena mesentérica superior (Figura 3). El estudio histopatológico definitivo demostró un carcinoma poco diferenciado con aspecto medular de colon derecho que invadió duodeno, páncreas y estómago, pero con bordes y ganglios linfáticos negativos, de entre 31 que se analizaron, por lo que se calificó como T4N0M0 (Figura 4). Se realizó estudio inmunohistoquímico de MSH-6 y MLH-1, en los que se demostró presencia de marca nuclear en la mucosa residual y en las células epiteliales neoplásicas, resultados sugerentes de estabilidad de las enzimas de reparación del ácido desoxirribonucleico (DNA) estudiadas. En el periodo posoperatorio, el paciente desarrolló una fístula pancreática y un cúmulo intraabdominal secundario; la fístula se trató con una punción guiada por tomografía, antibióticos y nutrición parenteral.
Figura 1. Tomografía que muestra una tumoración en el ángulo hepático del colon con probable invasión del duodeno.
Figura 2. Tumor de colon derecho con invasión al duodeno.
Figura 3. Fotografía del campo quirúrgico en la que se observa la antrectomía, pancreatectomía, resección del duodeno a la altura del ángulo de Treitz y un punto de sutura sobre la resección en cuña de la vena mesentérica superior.
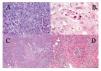
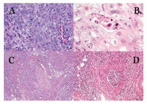
Figura 4. Fotomicrografías en las que se reconocen patrones de crecimiento sólido (A), tubular, trabecular y áreas epidermoides (B), con extensa invasión neural (C) y vascular (D). Grandes zonas presentan alternancia de las células neoplásicas con linfocitos maduros.
Discusión
Aunque el cáncer de colon derecho rara vez invade duodeno y páncreas, representa un reto para el cirujano y el equipo médico. En casi todos los casos, la invasión a órganos retroperitoneales se detecta en el transoperatorio, por lo que el cirujano debe decidir la realización de una intervención compleja en un paciente que no está preparado para un procedimiento de esa naturaleza.11
En casos de cáncer colorrectal, el hallazgo transoperatorio de órganos adheridos al tumor obliga a evaluar la posibilidad de resecar la lesión. Varias series retrospectivas han informado que en alrededor de 40% de los casos la fijación de los órganos vecinos al tumor se da por adherencias inflamatorias y no por invasión tumoral.12 Dado que la distinción transoperatoria de estas dos circunstancias es casi imposible, el objetivo de la intervención quirúrgica, después de establecer la posibilidad de resección, es la extracción en bloque de todos los órganos comprometidos con márgenes negativos.
No es recomendable intentar separar adherencias entre el tumor con los órganos vecinos, ya que esto conlleva a hemorragia y diseminación maligna e incrementa el riesgo de recurrencia local de 70% a 100%.11 La sobrevida a cinco años de pacientes con tumores adheridos y separados por medios quirúrgicos oscila de 0% a 23%, mientras que la de los pacientes sometidos a una resección en bloque se ha reportado hasta de 61% para el mismo periodo.2-4
Una característica particular de este caso es la presencia de cáncer de colon familiar no polipósico (CCFNP), que se manifestó morfológicamente por la presencia de carcinoma medular del colon derecho.13 El estudio inmunohistoquímico demostró que el paciente no es portador de inestabilidad de microsatélites asociada a mutaciones en MSH-6 y MLH-1, los dos genes que con más frecuencia se asocian con el síndrome de Lynch.
El diagnóstico del paciente se sustenta en los criterios del Consenso de Amsterdam,14 a saber: al menos tres familiares con tumores asociados a CCFNP, uno de ellos es un familiar directo y dos indirectos; tres generaciones están afectadas, varios familiares fueron diagnosticados antes de los 50 años y el estudio histopatológico que no demostró la presencia de lesiones polipósicas precursoras. En los casos en los que tanto el paciente como la familia reúnen estos criterios, se recomienda realizar el estudio genético directamente. Sin embargo, el elevado costo de esta evaluación y el bajo costo y fácil acceso al análisis inmunohistoquímico en el centro de los autores llevó a la búsqueda intencionada de genes portero asociados a inestabilidad microsatelital, la cual no demostró pérdida de su expresión, por lo que se requiere una evaluación ulterior en búsqueda de inestabilidad microsatelital asociada a mutaciones en otros genes, como MSH-2. En aquellos pacientes con características de síndrome de Lynch, pero en quienes no se identifica una mutación en los genes asociados, no se observa incremento en el riesgo de padecer otras neoplasias malignas asociadas como cáncer de endometrio, conocido como síndrome de cáncer de colon familiar X.15
En la actualidad, la colectomía total es la forma recomendada para tratar a pacientes con CCFNP, con un riesgo de 12% a 12 años de desarrollar adenocarcinoma rectal. Por este motivo algunos autores abogan por realizar un procedimiento más radical como la proctocolectomía. Debido a los resultados funcionales de la colectomía total y por motivos laborales del paciente, se decidió realizar una colectomía derecha con una vigilancia endoscópica anual en este caso.
Aunque se han logrado tasas de morbimortalidad bajas en sujetos sometidos a este tipo de procedimientos, existe la posibilidad de un sesgo de selección en los casos publicados. La mayoría de las series de casos disponibles en la literatura no describen las complicaciones secundarias o se refieren a ellas sólo como menores. Dentro de los autores que las informan, Berrospi y colaboradores describieron un caso de neumonía nosocomial en uno de sus tres pacientes,11 Kapoor y colaboradores reportaron una fístula pancreática y en otro una fístula pancreática y una fuga por la anastomosis ileocólica que ocasionó la muerte de esa paciente;16 Fuks y colaboradores describieron dos complicaciones mayores en tres pacientes, uno con fístula pancreática que respondió al tratamiento médico y otro que falleció por choque séptico secundario a un absceso intraabdominal.12 En el paciente de esta presentación se produjo una fístula pancreática que ocasionó una colección intraabdominal, la cual se resolvió con una punción guiada por tomografía y antibióticos.
La sobrevida de pacientes sometidos a resección en bloque de cáncer de colon derecho con invasión a duodeno y páncreas es variable. En particular, la invasión del páncreas se considera de mal pronóstico. En la Tabla 1 se muestran los resultados de diferentes series de casos con tres o más pacientes, en la que se presenta una sobrevida media de 14 a 54 meses, lo que coincide con las tasas de sobrevida después de resección en bloque de cáncer de colon en otras localizaciones.11,12,16-21
En el conocimiento de los autores, éste es el primer informe en la literatura nacional de una resección en bloque de un cáncer de colon con invasión al páncreas y al duodeno.
En conclusión, la pancreatoduodenectomía con colectomía por cáncer de colon con infiltración local es un procedimiento factible en México, con una tasa de morbimortalidad aceptable y debe realizarse en centros especializados con amplia experiencia en cirugía pancreática y colorrectal.
Correspondencia: Dr. Carlos Chan Núñez,
Departamento de Cirugía, Instituto Nacional de Ciencias Médicas y Nutrición Salvador Zubirán, Vasco de
Quiroga No. 15, Col. Sección XVI, Tlalpan, México, D. F., CP 14000. Teléfono: (525) 5487 0900, Ext. 2144.
Correo electrónico:carchan@prodigy.net.mx







