La enterocolitis neutropénica (ECN) es considerada una entidad clínica potencialmente mortal y poco frecuente, aunque es probable que sea subdiagnosticada. Se ha descrito en 4.6% a 7.2% de los pacientes hospitalizados con enfermedades hematológicas malignas.1-5 Ha sido denominada por algunos autores como síndrome ileocecal, enteropatía neutropénica, tiflitis, lesión agranulocítica y colitis neutropénica.6 En niños existe conocimiento del padecimiento desde 1933.7 En 1970, Wagner describió la ECN en niños con leucemia bajo el término de "tiflitis".8 Se manifiesta clínicamente con fiebre, dolor e hipersensibilidad abdominal, presentándose más frecuentemente en pacientes con leucemia y neutropenia. Se presenta más frecuentemente en niños pero puede presentarse en cualquier edad. La necrosis de las células epiteliales de la mucosa inducida por agentes citotóxicos y la presencia de infiltrados neoplásicos en la mucosa juegan también un papel importante. La etiopatogenia se encuentra relacionada con la presencia de neutropenia < 1 000/mm3, daño a la mucosa intestinal y diseminación de microorganismos entéricos con respuesta inflamatoria sistémica mediada por citoquinas. El diagnóstico generalmente es clínico, pero la radiografía simple, la tomografía axial computada y la ultrasonografía abdominal son útiles.9-13 Sin embargo, el diagnóstico definitivo reside en los hallazgos histopatológicos. Se han informado prevalencias postmortem del 24% en pacientes con leucemia aguda,14 con mortalidad del 21 al 100%.2,5-18 El tratamiento de elección es médico, sin embargo, sigue siendo recomendada la intervención quirúrgica en aquellos pacientes con datos de irritación peritoneal, sospecha de perforación o con deterioro clínico,19-20 siendo un factor de riesgo la presencia de divertículos para el desarrollo de perforación.20
El objetivo del presente estudio es conocer la prevalencia de ECN en adultos con enfermedades hematológicas que cursaban con neutropenia < 1 000/mm3 así como la mortalidad asociada en este padecimiento.
Material y métodos
En el estudio se incluyeron a todos los pacientes adultos con alguna enfermedad hematológica tratados en el Departamento de Hematología del Hospital de Especialidades del Centro Médico Nacional Siglo XXI, durante el periodo del 1º de junio de 2006 al 10 agosto de 2007. Se incluyeron en forma prospectiva todos aquellos que cursaban con neutropenia grave (<1 000 neutrófilos/mm3) y se investigó la presencia de ECN que para fines del estudio se definió como la patología intraabdominal caracterizada por fiebre, dolor abdominal, malestar general durante la quimioterapia así como neutropenia asociada a los hallazgos radiológicos, tomográficos o ultrasonográficos que indicaran compromiso intestinal caracterizado por distensión de asas intestinales, engrosamiento de la pared principalmente a nivel ileocecal. El diagnóstico de ECN fue realizado en forma conjunta por médicos del Servicio de Colon y Recto y del Departamento de Hematología, basándose en los datos clínicos y en los estudios de gabinete. Se excluyeron todos aquellos pacientes con neutrófilos > 1000 mm3 al momento del ingreso. Se eliminaron los enfermos que fallecieron por padecimientos no digestivos, como enfermedades pulmonares, cardiacas, renales o neurológicas.
En todos los casos de ECN se recabaron los datos demográficos, la enfermedad hematológica de base, el tratamiento médico empleado, los resultados de estudios de diagnóstico para ECN, los niveles de neutrófilos al momento del diagnóstico, la evolución, el tratamiento y el desenlace de esta complicación durante todo el internamiento y los 6 meses de seguimiento.
Los datos descriptivos fueron expresados mediante porcentajes, promedios y rangos.
Resultados
Se incluyeron en el estudio un total de 117 pacientes con enfermedades hematológicas que fueron internados por cursar con neutropenia grave. El grupo estuvo conformado por 69 hombres (59%) y 48 mujeres (41%). Las enfermedades hematológicas más frecuentes fueron la leucemia linfocítica aguda (LLA) en 50 pacientes (43.5%), seguida de leucemia mieloblástica aguda (LMA) en 38 pacientes (32.4%) y siete (5.8%) con síndrome mielodisplásico (SMD). Los padecimientos hematológicos y la proporción de cada uno en el grupo general de enfermos se muestran en detalle en la Tabla 1. El nivel promedio de neutrófilos al momento del ingreso fue de 127células/mm3 (rango de 0 a 900 mm3). El nivel promedio en cada padecimiento hematológico se muestra en la Tabla 1.
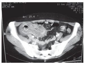
Ocho pacientes presentaron ECN (6.8%). La mitad de los casos fueron del sexo masculino con edad promedio de 25.8 años (rango 16 a 51 años). Las características generales se muestran en la Tabla 2. Se realizó radiografía simple del abdomen en 6 de los 8 pacientes que mostró distensión de asas intestinales en 2 pacientes y datos inespecíficos en el resto. Se realizó TC abdómino-pélvica a 7 de los 8 pacientes con presencia de engrosamiento de la pared en 6 pacientes y líquido pericólico en 2 (Figuras 1 y 2). El ultrasonido abdominal no se utilizó como estudio diagnóstico en esta serie de casos.
Figura 1. Radiografía simple de abdomen que muestra dilatación de colon y asas del intestino delgado
Figura 2. Tomografía axial computarizada de abdomen mostrando ciego y colon ascendente con engrosamiento importante de la pared y disminución de la luz
Todos los pacientes con ECN tenían leucemia aguda, que representó 9.1% (8/88) de los pacientes con esa patología: cuatro presentaron LLA (8.0%) y cuatro presentaron LMA (10.5%), con promedio de 3.8 meses desde la fecha del diagnóstico. El promedio de la concentración de neutrófilos en los pacientes con ECN fue 187.5/mm3 (rango 0 a 600 mm3). Todos los pacientes con ECN fueron tratados con citarabina y recibieron metronidazol en combinación con otros antimicrobianos para el manejo de la ECN. Los esquemas terapéuticos empleados para la enfermedad hematológica y para el tratamiento de la complicación intestinal se presentan detalladamente en la Tabla 3. Tres de los ocho pacientes con ECN fallecieron (37.5%). Todos los pacientes fallecidos fueron del sexo masculino, dos de ellos con un tiempo de diagnóstico menor de un mes. Ningún paciente fue sometido a intervención quirúrgica.
Discusión
El estudio demuestra que la prevalencia de ECN en pacientes con enfermedades hematológicas internados en este Hospital por neutropenia grave, es de 6.8% y que la mortalidad asociada a esta complicación es de 37.5%.
La frecuencia de ECN que encontramos en nuestra serie es similar a lo informado en la mayoría de otros estudios.1-3 Sin embargo, la frecuencia de ECN en pacientes con LMA fue mayor a lo informado por Buyukasik y colaboradores2 quienes encontraron esta complicación en 6.5% de sus pacientes en contraste con 10.5% encontrado en nuestra serie.
Los informes publicados previamente en la literatura establecen que la detección de menos de 1000 mm3 neutrófilos es factor de riesgo para presentar ECN. En nuestro estudio, el promedio de la concentración de neutrófilos en los enfermos estudiados fue muy bajo (187.5/mm3 en promedio). Todos los pacientes de nuestra serie tuvieron cifras menores a 500 mm3 excepto un solo enfermo que tenía 600 neutrófilos mm3 al momento del ingreso. Sin embargo, no fue posible establecer una asociación entre los niveles de neutrófilos detectados al momento del ingreso y la evolución final de la enfermedad.
La mortalidad por ECN en nuestro estudio fue menor que lo informado en la mayor parte de los trabajos previamente publicados.3-6 Por ejemplo, Durán-Pérez informó una mortalidad de 62.5% de un total de ocho pacientes con ECN tratados con antineoplásicos y con menos de 1500 neutrófilos /mm3. Los tres pacientes fallecidos fueron varones, similar a lo encontrado en otro estudio en población mexicana,3 aunque también se ha informado mayor mortalidad en mujeres.8-15 El valor real del sexo como factor de riesgo para el desarrollo de ECN se desconoce.
En nuestra serie, el tratamiento fue similar al recomendado por diferentes autores, como el uso de antibióticos como ceftazidima, amikacina y metronidazol, así como de antimicóticos, el cual es recomendado principalmente en pacientes con candidiasis oral u otro dato que indique probabilidad de infecciones por hongos.21 La presencia de la leucemia y la terapia antineoplásica en todos los pacientes con ECN nos lleva a reflexionar sobre la importancia que tienen ambos como factores relacionados con la aparición de ECN, situación similar que han informado en otros estudios.1,2 Debido al pequeño número de casos detectado no fue posible establecer la presencia de otros factores de riesgo. Es recomendable determinar la concentración de neutrófilos de manera rutinaria y frecuente en los pacientes para la detección oportuna de neutropenia grave, así como un seguimiento clínico dirigido para el diagnóstico oportuno de ECN. En aquellos pacientes con enfermedad hematológica, sometidos a quimioterapia y recuento de neutrófilos menores a 500 (según nuestros hallazgos) se deben iniciar medidas como reposo intestinal, manejo antibiótico y posiblemente suspensión de la quimioterapia ante la más mínima sintomatología abdominal, apoyados en estudios de imagenología. Lo anterior con la finalidad de evitar la progresión de la enfermedad, que pone en peligro la vida.
Aunque se ha informado una menor mortalidad en pacientes sometidos a tratamiento quirúrgico2 la recomendación general sigue siendo el manejo médico no quirúrgico21 ya que, aunque la neutropenia no es una contraindicación para realizar una cirugía urgente, si se trata de pacientes generalmente deteriorados, con mal estado inmunológico, el tratamiento quirúrgico representa un riesgo elevado.
Hace falta una evaluación más detallada acerca de los factores de riesgo para desarrollar esta grave complicación, no solo de los pacientes con diagnóstico de ECN sino de todos aquellos con factores de riesgo para presentarla. Es necesario realizar a futuro estudios controlados, prospectivos con un mayor número de pacientes. Debido a la morbimortalidad elevada que se presenta, se deberán evaluar diferentes variables en grupos de pacientes con factores asociados sin la enfermedad y con la enfermedad, para identificar factores de riesgo así como para evaluar las ventajas del manejo médico comparado con el tratamiento quirúrgico.
Concluimos que la prevalencia de ECN en pacientes con enfermedades hematológicas internados por neutropenia grave es de 6.8% y que la mortalidad asociada a esta complicación es de 37.5%, en nuestra institución.
Agradecemos de manera sincera la colaboración y apoyo del Dr. Ramón García G., del Dr. José Luis Rocha Ramírez, del Dr. Moisés Rojas Ilanes y al Dr. Walter Parrado Montaño del Centro Médico Nacional Siglo XXI, del Instituto Mexicano del Seguro Social.
Correspondencia: Dr. Daniel Ernesto Dorantes Díaz.
Calle 92, número 567, Col. Residencial Pensiones VII etapa, Mérida, Yuc. CP: 97217, Teléfono:
(01999) 1 763-466, Celular: (999) 2 667-434. Correo electrónico: dr.danieldorantes@gmail.com
Fecha recibido: 11 febrero 2008 Fecha aprobado: 20 julio 2009







