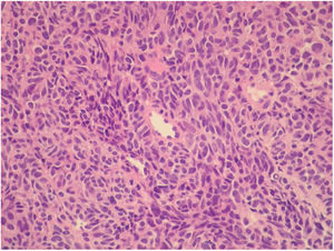
An 88-year-old female was admitted to the hospital due to rectal bleeding and a mass of hard consistency noted upon digital rectal examination. Diagnostic colonoscopy showed an eccentric and ulcerated lesion starting at the anal verge and extending into the lower rectum (Fig. 1). Immunohistochemical examination revealed positive results for melanoma-associated protein A and SOX-10 stains (Figs. 2 and 3). Radiologic examinations showed anal sphincter infiltration and enlarged local lymph nodes (T4aN1M0). Palliative radiotherapy was administered.
Anorectal malignant melanoma (AMM) is an extremely rare and aggressive form of melanoma, accounting for 1-2% of all melanomas and less than 1% of all colorectal malignancies.1 Prognosis is poor, with a 5-year survival rate of 10-15%. It is more common in White women, especially in the sixth to seventh decades of life.2 Main complaints include bleeding, tenesmus, or bowel habit change, and the incorrect diagnosis of hemorrhoids is often made. Surgery is considered the mainstay of treatment, with no differences in survival, and there is less perioperative morbidity with wide local excision, compared with abdominoperineal resection. Chemotherapy has a limited role. The major benefit of radiotherapy is seen in palliative cases.3
Ethical considerationsInformed consent to receive the treatment or to participate in the research described was requested from the patient.
This research complies with the current regulations on bioethical research and was authorized by the ethics committee of the institution.
The authors declare that this article contains no personal information that could identify the patient.
Financial disclosureNo financial support was received in relation to this article.
Conflict of interestThere is no financial or other type of conflict of interest regarding this article.
Please cite this article as: Arrubla-Gamboa A, Martínez-Acitores de la Mata D, Larrea-Ramírez A. Melanoma anorrectal primario maligno como causa infrecuente de hematoquecia. Revista de Gastroenterología de México. 2022;87:108–109.





