¿ Introduction
Gastric adenomas are characterized by polypoid projections of dysplastic epithelium. They represent 7% to 10% of gastric polyps and are classified into foveolar and pyloric gland types.1,2 This neoplasm was first described by Elster in 1976.3 Later, Borchard et al.4 presented two cases of pyloric gland adenoma that showed a transition to a moderately differentiated adenocarcinoma. In 1990, Watanabe included these lesions in the World Health Organization Classification of Gastric Tumors.5 The most frequent location of these tumors is in the mucosa of the stomach corpus.6 However, pyloric gland-type adenomas (PGAs) have also been reported at other areas such as the duodenum, gallbladder and bile duct.7-12 A case of a 49-year-old woman with a pyloric gland adenoma in the fundic mucosa of the stomach is here presented.
¿ Case report
A 49-year-old woman presented at the gastroenterology service of the Medica Sur Clinic and Foundation in Mexico City for evaluation. She had a history of type 2 diabetes mellitus, hypothyroidism and an unspecified allergy treated with deflazacort, so as family history of autoimmune diseases. She had a history of elevated liver enzymes: AST 321 IU/L, ALT 387 IU/L, LDH 534 IU/L and GGT 179 IU/L. Hepatitis B and C virus infection and autoimmune hepatitis were also ruled out even when serum antinuclear antibodies were positive. After a series of liver biopsies the diagnosis of steatohepatitis (NASH) was established. In February of 2009, she presented again with symptoms of gastroesophageal reflux. Because of her dyspeptic symptoms, an upper GI endoscopy was performed where diffuse gastroduodenitis was found. Incidentally a few polyps from the gastric fundus were resected (Figure 1), and histopathology revealed a PGA (Figure 2). Immunohistochemistry showed the tissue to be positive to mucin core peptide 6 (MUC6) and MUC5AC, whereas it was negative for MUC2.
¿ Figure 1. A photograph of the pyloric gland adenoma serendipitously found during the endoscopy procedure.
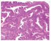
¿ Figure 2. Micrograph of the pyloric gland-type gastric adenoma, composed of packed glands with cells showing normal differentiation (hematoxylin and eosin staining).
¿ Discussion
PGA, also called an adenoma with gastric differentiation, is a very rare neoplasm of the gastric mucosa. Since it was first described, there have been cases reported of PGAs arising as gastric heterotopia in the gallbladder,6,7 duodenum,9 pancreatic main duct,11 rectum11 and Barrett's esophagus.12 These tumors are frequently associated with dysplasia, Michal et al.13 reported a PGA arising in normal esophageal epithelium; as in the patient here reported, they found no abnormalities in the epithelium other than the pyloric gland adenoma. There is scant clinical data on this type of tumors because they are frequently underdiagnosed and commonly reported as dysplasia.6,15 Pyloric gland adenomas are more common in the elderly (eighth decade of life).6 Further evidence was provided by Vieth et al.14 through an analysis of 90 cases that showed a predominant localization in the corpus mucosa; they also pointed out that PGAs are more frequent in women than in men. Here, we found the tumor in the fundic mucosa of a mature woman.
Regarding the relationship of PGAs with lesions of the gastric mucosa, Abraham et al.1 have associated intestinal metaplasia and mucosal atrophy with the development of gastric adenomas. In this context, associations of PGAs with autoimmune gastritis have been reported.14,15 However, these findings are not present in all cases, and the influence of autoimmune gastritis in the etiology of PGAs has not been confirmed. Our patient, as for other patients with NAFLD, showed ANA-positive serum which does not confirm an autoimmune component. However there may be an autoimmune contribuiting factor in the pathogenesis of these tumors although this is very controversial yet.
During endoscopy, a PGA is usually seen as a dome-like lesion.7 This unusual neoplasia is characterized by thickly packed pyloric gland-type tubules2 lined by an epithelium composed of cuboidal to low-columnar cells with a pale or eosinophilic cytoplasm. The nuclei of these cells tend to be round or oval with small or even absent nucleoli. These tumors have been strongly correlated with the expression of MUC6 and MUC2. MUC6, a pyloric gland marker, is more frequent in the deeper portion, while MUC5AC is most frequently found on the surface of the glands.6,12,15 There are some chromosomal abnormalities present in these tumors. Thus, Kushima et al.10 reported gains of 2p24-25.2, 2q14.1-ter and 5q31.3-32, among others. This neoplasm has been related to metaplasia and as mentioned above might have an autoimmune component. However, further research is needed on the pathophysiology of PGAs and their relationship with other diseases.
Supported by Medica Sur Clinic & Foundation, Mexico City, Mexico
Correspondence: Nahum Méndez-Sánchez MD, PhD.
Department of Biomedical Research and Liver Unit, Médica Sur Clinic & Foundation. Puente de Piedra 150, Col. Toriello Guerra, Mexico City, Mexico.
Telephone: (+52) 55606-6222. Ext. 4215, Fax: (+525) 55666-4031 y 55606-1651.
E-mail: nmendez@medicasur.org.mx
Recibido el 5 de marzo de 2010;
aceptado el 27 de mayo de 2010.




