Mujer de 29 años con diagnóstico conocido de endometriosis, la cual inició con historia de sangrado y dolor rectal importante, asociado al periodo menstrual. En el examen ano-rectal no se encontraron hemorroides u otras causas de sangrado. Se le realizó una colonoscopía y se evidenciaron dos lesiones a 4 cm del margen anal cuyas biopsias reportaron endometrioma (Figura 1). La resonancia magnética nuclear informó un importante engrosamiento del mesorrecto sin otra alteración. A pesar del tratamiento farmacológico, los síntomas persistieron, por lo que se decidió realizar una resección anterior baja laparoscópica con una colorecto-anastomosis, previo tatuaje endoscópico de las lesiones (Figuras 2 y 3). La paciente tuvo una evolución satisfactoria y sus síntomas desaparecieron.
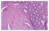
¿ Figura 1. Imagen microscópica del endometrioma.
¿ Figura 2. Lesiones mucosas tatuadas.
¿ Figura 3. Afectación del recto por la endometriosis.
La endometriosis intestinal ocurre en aproximadamente 5% a 12% de los casos, siendo la unión rectosigmoidea el lugar más común de afección (65%), seguido por la unión ileocecal (20%) y recto (15%). Los implantes endometriales infiltran la pared posterior de la vagina y la pared anterior del recto. La endometriosis intestinal puede presentarse como sangrado digestivo, obstrucción intestinal y raramente perforación o transformación maligna. La incidencia precisa de transformación maligna de la endometriosis se desconoce, pero se ha reportado en literatura un incidencia de 0.3% a 1%. La laparoscopia es una opción segura para las mujeres que requieren una resección colorrectal para la endometriosis, debido a los beneficios inmediatos como disminución del dolor y complicaciones posoperatorias. Por otra parte, luego de la laparoscopia hay una tasa de embarazo alta y una mejoría similar en los síntomas y la calidad de vida comparados con la cirugía abierta por lo que se sugiere que la laparoscopia se puede proponer a las mujeres jóvenes que desean concebir.
Correspondencia: Homero Rodríguez Zentner.
Complejo Hospitalario Metropolitano Dr. Arnulfo Arias Madrid. Vía Transísmica, Panamá, Ciudad de Panamá.
Correo electrónico: drhomerorodriguez@gmail.com.
Recibido el 27 de octubre de 2010;
aceptado el 5 de noviembre de 2010.





